Suppr超能文献

具有形态和屏障功能验证的全三维生物打印皮肤等效物构建体。

Fully Three-Dimensional Bioprinted Skin Equivalent Constructs with Validated Morphology and Barrier Function.

机构信息

1 Department of Preclinical Innovation, National Center for Advancing Translational Sciences, National Institutes of Health, Rockville, Maryland.

2 Department of Electrical and Computer Engineering, Bethlehem, Pennsylvania.

出版信息

Tissue Eng Part C Methods. 2019 Jun;25(6):334-343. doi: 10.1089/ten.TEC.2018.0318.

Abstract

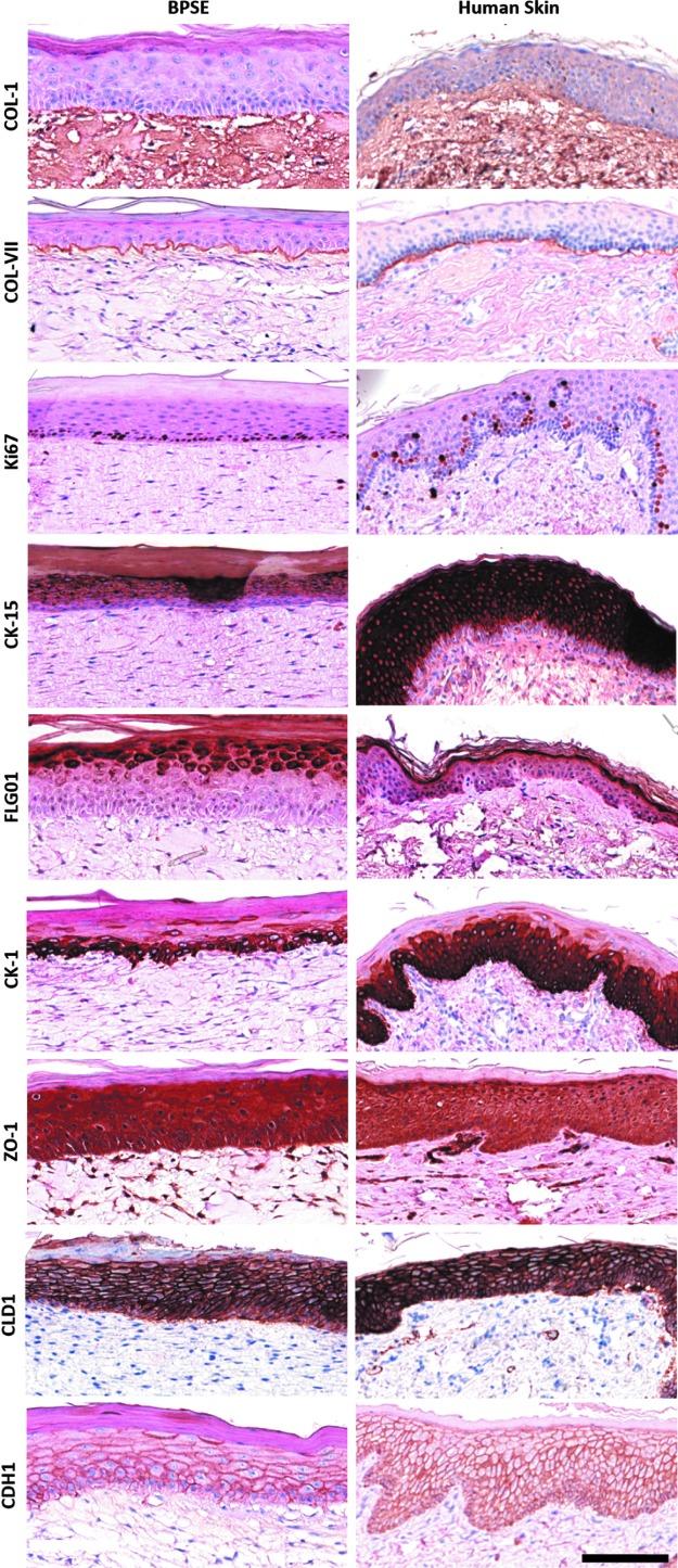
This article describes a method for the biofabrication of skin tissue equivalents in a multiwell plate format. The technique and results overcome shortcomings of previously published engineering methods, and show good architecture and barrier function from well to well; thus it may be used for compound functional testing and for the development of disease tissue models for screening.

摘要

本文描述了一种在多孔板中制造皮肤组织等效物的生物制造方法。该技术和结果克服了先前发表的工程方法的缺点,并且在孔与孔之间显示出良好的结构和屏障功能;因此,它可用于化合物功能测试和用于筛选的疾病组织模型的开发。

https://cdn.ncbi.nlm.nih.gov/pmc/blobs/545c/6589501/42a4f65ff327/fig-1.jpg

文献检索

告别复杂PubMed语法,用中文像聊天一样搜索,搜遍4000万医学文献。AI智能推荐,让科研检索更轻松。

立即免费搜索

文件翻译

保留排版,准确专业,支持PDF/Word/PPT等文件格式,支持 12+语言互译。

免费翻译文档

深度研究

AI帮你快速写综述,25分钟生成高质量综述,智能提取关键信息,辅助科研写作。

立即免费体验