Suppr超能文献

与肉牛犊中迁移的蛔虫幼虫相关的呼吸道疾病。

Respiratory disease associated with migrating Ascaris larvae in a beef calf.

作者信息

Jesudoss Chelladurai Jeba, Derscheid Rachel, Brewer Matthew T

机构信息

Department of Veterinary Pathology, College of Veterinary Medicine, Iowa State University, Ames, IA, USA.

Department of Veterinary Diagnostic and Production Animal Medicine, College of Veterinary Medicine, Iowa State University, Ames, IA, USA.

出版信息

Vet Parasitol Reg Stud Reports. 2018 May;12:9-12. doi: 10.1016/j.vprsr.2017.12.005. Epub 2017 Dec 27.

Abstract

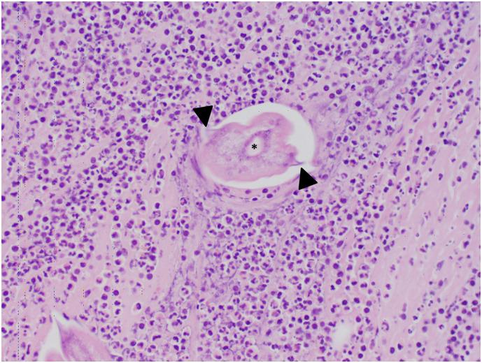
A group of 4-month-old beef calves were examined for clinical respiratory disease with labored breathing, coughing, and fevers of over 104°F. Necropsy of one of the calves revealed lungs that were not collapsed but had red mottled appearance on cut surface. Assessment of lung tissue by bacterial culture and PCR did not reveal bovine bacterial or viral respiratory pathogens. Histopathology of affected tissues and lymph nodes revealed larval ascarid nematodes. In combination with phylogenetic analysis, amplification and sequencing of ITS1 was used to identify the larvae as Ascaris.

摘要

对一群4月龄的肉用犊牛进行了检查,这些犊牛患有临床呼吸道疾病,表现为呼吸费力、咳嗽,体温超过104°F。对其中一头犊牛进行尸检,发现肺部未塌陷,但切开表面呈红色斑驳状。通过细菌培养和PCR对肺组织进行评估,未发现牛细菌性或病毒性呼吸道病原体。对受影响的组织和淋巴结进行组织病理学检查,发现了蛔虫幼虫。结合系统发育分析,利用ITS1的扩增和测序将幼虫鉴定为蛔虫。

https://cdn.ncbi.nlm.nih.gov/pmc/blobs/0869/7104329/514f15fb7a4e/gr1_lrg.jpg

文献AI研究员

20分钟写一篇综述,助力文献阅读效率提升50倍。

立即体验

用中文搜PubMed

大模型驱动的PubMed中文搜索引擎

马上搜索

文档翻译

学术文献翻译模型,支持多种主流文档格式。

立即体验