• 文献检索
  • 文档翻译
  • 深度研究
  • 学术资讯
  • Suppr Zotero 插件Zotero 插件
  • 邀请有礼
  • 套餐&价格
  • 历史记录
应用&插件
Suppr Zotero 插件Zotero 插件浏览器插件Mac 客户端Windows 客户端微信小程序
定价
高级版会员购买积分包购买API积分包
服务
文献检索文档翻译深度研究API 文档MCP 服务
关于我们
关于 Suppr公司介绍联系我们用户协议隐私条款
关注我们

Suppr 超能文献

核心技术专利:CN118964589B侵权必究
粤ICP备2023148730 号-1Suppr @ 2026

文献检索

告别复杂PubMed语法,用中文像聊天一样搜索,搜遍4000万医学文献。AI智能推荐,让科研检索更轻松。

立即免费搜索

文件翻译

保留排版,准确专业,支持PDF/Word/PPT等文件格式,支持 12+语言互译。

免费翻译文档

深度研究

AI帮你快速写综述,25分钟生成高质量综述,智能提取关键信息,辅助科研写作。

立即免费体验

超声空化改善兔VX2肝肿瘤模型中不完全射频消融后残留癌的抗肿瘤疗效。

Ultrasonic Cavitation Ameliorates Antitumor Efficacy of Residual Cancer After Incomplete Radiofrequency Ablation in Rabbit VX2 Liver Tumor Model.

作者信息

Li Shi-Yan, Huang Pin-Tong, Fang Yong, Wu Yao, Zhou Ling, Luo Jie-Li, Wang Xian-Chen, Chen Yun-Chong

机构信息

Department of Ultrasound, Sir Run Run Shaw Hospital, Zhejiang University, School of Medicine, Hangzhou, Zhejiang Province, China.

Department of Ultrasound, The Second Affiliated Hospital of Zhejiang University, School of Medicine, Hangzhou, Zhejiang Province, China.

出版信息

Transl Oncol. 2019 Aug;12(8):1113-1121. doi: 10.1016/j.tranon.2019.05.007. Epub 2019 Jun 5.

DOI:10.1016/j.tranon.2019.05.007
PMID:31176089
原文链接:https://pmc.ncbi.nlm.nih.gov/articles/PMC6556620/
Abstract

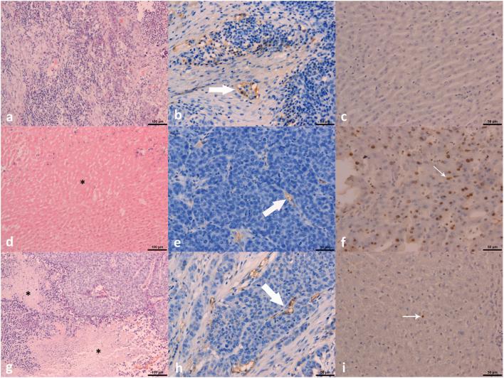
Residual cancer after incomplete ablation remains a major problem for radiofrequency ablation (RFA). We aimed to investigate the synergetic treatment efficacy of RFA combined with ultrasonic cavitation for liver tumor. Sixty rabbits with VX2 liver tumor were randomly divided into three groups. Group A was control group without any treatment. Combined ultrasonic cavitation with RFA was performed for group B1. Group B2 underwent RFA alone. The histopathological results were compared at the 5th, 11th, and 18th day of experiment, and the survival time and metastasis were assessed. The tumor volume growth rate, percentage of necrosis area, microvessel density, and apoptosis index showed significant differences among these groups at the 5th day, 11th day, and 18th day of experiment (P < .05). In contrast, the difference of metastatic score was not significant at the 5th and 11th day (P > .05). At the 18th day, the metastatic score of group A was significant higher than that of group B1 (P < .05), whereas the differences between group A and group B2, or group B1 and group B2 were not significant (P > .05). The median/range interquartile of survival time in groups A, B1, and B2 were 25/8 days, 50/19 days, and 48/20 days, respectively, and there was significant difference between groups A and B1 or B2 (P < .05). The difference between groups B1 and B2 was not significant (P > .05). Ultrasonic cavitation after incomplete RFA for liver tumor improved the antitumor effect, which could be considered as a potentially useful combined therapeutic strategy for liver malignancy.

摘要

不完全消融后残留癌仍是射频消融(RFA)的一个主要问题。我们旨在研究RFA联合超声空化对肝肿瘤的协同治疗效果。将60只患有VX2肝肿瘤的兔子随机分为三组。A组为未接受任何治疗的对照组。B1组进行超声空化联合RFA。B2组单独进行RFA。在实验的第5天、第11天和第18天比较组织病理学结果,并评估生存时间和转移情况。在实验的第5天、第11天和第18天,这些组之间的肿瘤体积生长率、坏死面积百分比、微血管密度和凋亡指数显示出显著差异(P < 0.05)。相比之下,在第5天和第11天转移评分的差异不显著(P > 0.05)。在第18天,A组的转移评分显著高于B1组(P < 0.05),而A组与B2组之间或B1组与B2组之间的差异不显著(P > 0.05)。A组、B1组和B2组的生存时间中位数/四分位间距分别为25/8天、50/19天和48/20天,A组与B1组或B2组之间存在显著差异(P < 0.05)。B1组和B2组之间的差异不显著(P > 0.05)。肝肿瘤RFA不完全后进行超声空化可提高抗肿瘤效果,这可被视为一种对肝脏恶性肿瘤潜在有用的联合治疗策略。

https://cdn.ncbi.nlm.nih.gov/pmc/blobs/9dba/6556620/82a03312cffd/gr5.jpg
https://cdn.ncbi.nlm.nih.gov/pmc/blobs/9dba/6556620/66ba1322db91/gr1.jpg
https://cdn.ncbi.nlm.nih.gov/pmc/blobs/9dba/6556620/8b0a4e1f1201/gr2.jpg
https://cdn.ncbi.nlm.nih.gov/pmc/blobs/9dba/6556620/4af9a48dc096/gr3.jpg
https://cdn.ncbi.nlm.nih.gov/pmc/blobs/9dba/6556620/c5b4fefdb469/gr4.jpg
https://cdn.ncbi.nlm.nih.gov/pmc/blobs/9dba/6556620/82a03312cffd/gr5.jpg
https://cdn.ncbi.nlm.nih.gov/pmc/blobs/9dba/6556620/66ba1322db91/gr1.jpg
https://cdn.ncbi.nlm.nih.gov/pmc/blobs/9dba/6556620/8b0a4e1f1201/gr2.jpg
https://cdn.ncbi.nlm.nih.gov/pmc/blobs/9dba/6556620/4af9a48dc096/gr3.jpg
https://cdn.ncbi.nlm.nih.gov/pmc/blobs/9dba/6556620/c5b4fefdb469/gr4.jpg
https://cdn.ncbi.nlm.nih.gov/pmc/blobs/9dba/6556620/82a03312cffd/gr5.jpg

相似文献

1
Ultrasonic Cavitation Ameliorates Antitumor Efficacy of Residual Cancer After Incomplete Radiofrequency Ablation in Rabbit VX2 Liver Tumor Model.超声空化改善兔VX2肝肿瘤模型中不完全射频消融后残留癌的抗肿瘤疗效。
Transl Oncol. 2019 Aug;12(8):1113-1121. doi: 10.1016/j.tranon.2019.05.007. Epub 2019 Jun 5.
2
Radiofrequency ablation combined with transcatheter therapy in rabbit VX2 liver tumors: effects and histopathological characteristics.射频消融联合经导管治疗兔VX2肝癌:疗效及组织病理学特征
Acta Radiol. 2015 Jan;56(1):87-96. doi: 10.1177/0284185113520266. Epub 2014 Jan 14.
3
Transcatheter arterial embolization combined with radiofrequency ablation activates CD8(+) T-cell infiltration surrounding residual tumors in the rabbit VX2 liver tumors.经导管动脉栓塞联合射频消融可激活兔VX2肝癌残余肿瘤周围的CD8(+) T细胞浸润。
Onco Targets Ther. 2016 May 17;9:2835-44. doi: 10.2147/OTT.S95973. eCollection 2016.
4
Survival Benefit of Radiofrequency Ablation with Intratumoral Cisplatin Administration in a Rabbit VX2 Lung Tumor Model.射频消融联合肿瘤内顺铂给药对兔 VX2 肺肿瘤模型的生存获益。
Cardiovasc Intervent Radiol. 2021 Mar;44(3):475-481. doi: 10.1007/s00270-020-02686-0. Epub 2020 Nov 9.
5
Inflammation and cancer: inhibiting the progression of residual hepatic VX2 carcinoma by anti-inflammatory drug after incomplete radiofrequency ablation.炎症与癌症:不完全射频消融术后使用抗炎药物抑制残留肝脏VX2癌的进展
Int J Clin Exp Pathol. 2015 Nov 1;8(11):13945-56. eCollection 2015.
6
In vivo experimental study on the effects of fluid in increasing the efficiency of radiofrequency ablation.液体对提高射频消融效率影响的体内实验研究
Asian Pac J Cancer Prev. 2014;15(14):5799-804. doi: 10.7314/apjcp.2014.15.14.5799.
7
Low-frequency and low-intensity ultrasound-mediated microvessel disruption enhance the effects of radiofrequency ablation on prostate cancer xenografts in nude mice.低频低强度超声介导的微血管破坏增强了射频消融对裸鼠前列腺癌异种移植瘤的作用。
Mol Med Rep. 2015 Nov;12(5):7517-25. doi: 10.3892/mmr.2015.4375. Epub 2015 Sep 28.
8
Hemocoagulase Combined with Microbubble-Enhanced Ultrasound Cavitation for Augmented Ablation of Microvasculature in Rabbit VX2 Liver Tumors.血凝酶联合微泡增强超声空化用于增强兔VX2肝肿瘤微血管消融
Ultrasound Med Biol. 2017 Aug;43(8):1658-1670. doi: 10.1016/j.ultrasmedbio.2017.03.013. Epub 2017 May 22.
9
[Changes of proliferation and angiogenesis of residual tumor in rabbit lung after radiofrequency ablation].[兔肺射频消融术后残留肿瘤增殖与血管生成的变化]
Zhonghua Yi Xue Za Zhi. 2014 Jun 3;94(21):1671-3.
10
High-intensity focused ultrasound combined with herpes simplex virus thymidine kinase gene-loaded ultrasound-targeted microbubbles improved the survival of rabbits with VX₂ liver tumor.高强度聚焦超声联合单纯疱疹病毒胸苷激酶基因转染的超声靶向微泡提高了 VX₂ 肝癌兔的生存率。
J Gene Med. 2012 Sep-Oct;14(9-10):570-9. doi: 10.1002/jgm.2668.

引用本文的文献

1
Advances in Ultrasound-Targeted Microbubble Destruction (UTMD) for Breast Cancer Therapy.超声靶向微泡破坏技术(UTMD)在乳腺癌治疗中的进展
Int J Nanomedicine. 2025 Feb 3;20:1425-1442. doi: 10.2147/IJN.S504363. eCollection 2025.
2
Influence of Phase Change Droplet Activation and Microbubble Cavitation on the Microenvironment of Hepatocellular Carcinoma.相变液滴激活和微泡空化对肝癌微环境的影响。
Ultrasound Med Biol. 2024 Sep;50(9):1387-1394. doi: 10.1016/j.ultrasmedbio.2024.05.015. Epub 2024 Jun 13.
3
A comparative study of establishing rabbit vertebral tumor model by two ways of CT-guided percutaneous puncture.

本文引用的文献

1
Global cancer statistics 2018: GLOBOCAN estimates of incidence and mortality worldwide for 36 cancers in 185 countries.全球癌症统计数据 2018:GLOBOCAN 对全球 185 个国家/地区 36 种癌症的发病率和死亡率的估计。
CA Cancer J Clin. 2018 Nov;68(6):394-424. doi: 10.3322/caac.21492. Epub 2018 Sep 12.
2
Comparison of radiofrequency ablation alone & in combination with percutaneous ethanol injection for management of hepatocellular carcinoma.射频消融单独及联合经皮乙醇注射治疗肝细胞癌的比较。
Indian J Med Res. 2017 Nov;146(Suppl):S30-S37. doi: 10.4103/ijmr.IJMR_1812_15.
3
Hepatocellular carcinoma.
两种CT引导下经皮穿刺法建立兔椎体肿瘤模型的对比研究
Heliyon. 2023 Jun 17;9(6):e17214. doi: 10.1016/j.heliyon.2023.e17214. eCollection 2023 Jun.
4
Ultrasound and Nanomedicine for Cancer-Targeted Drug Delivery: Screening, Cellular Mechanisms and Therapeutic Opportunities.用于癌症靶向给药的超声与纳米医学:筛选、细胞机制及治疗机遇
Pharmaceutics. 2022 Jun 16;14(6):1282. doi: 10.3390/pharmaceutics14061282.
5
Neuroendocrine neoplasia of the gastrointestinal tract revisited: towards precision medicine.胃肠道神经内分泌肿瘤再探讨:迈向精准医学。
Nat Rev Endocrinol. 2020 Oct;16(10):590-607. doi: 10.1038/s41574-020-0391-3. Epub 2020 Aug 24.
肝细胞癌。
Lancet. 2018 Mar 31;391(10127):1301-1314. doi: 10.1016/S0140-6736(18)30010-2. Epub 2018 Jan 5.
4
Localized microbubble cavitation-based antivascular therapy for improving HCC treatment response to radiotherapy.基于局部微泡空化的抗血管生成疗法改善肝癌放疗治疗反应
Cancer Lett. 2017 Dec 28;411:100-105. doi: 10.1016/j.canlet.2017.09.037. Epub 2017 Sep 29.
5
Dual-targeted and pH-sensitive Doxorubicin Prodrug-Microbubble Complex with Ultrasound for Tumor Treatment.具有超声功能的双靶点pH敏感阿霉素前药-微泡复合物用于肿瘤治疗
Theranostics. 2017 Jan 5;7(2):452-465. doi: 10.7150/thno.16677. eCollection 2017.
6
Effect of heat sink on the recurrence of small malignant hepatic tumors after radiofrequency ablation.散热器对小肝癌射频消融术后复发的影响。
J Cancer Res Ther. 2016 Dec;12(Supplement):C153-C158. doi: 10.4103/jcrt.JCRT_959_16.
7
Radiofrequency ablation combined with transarterial chemoembolization versus hepatectomy for patients with hepatocellular carcinoma within Milan criteria: a retrospective case-control study.米兰标准内肝细胞癌患者射频消融联合经动脉化疗栓塞术与肝切除术的比较:一项回顾性病例对照研究
Clin Transl Oncol. 2017 Jul;19(7):844-852. doi: 10.1007/s12094-016-1611-0. Epub 2017 Jan 9.
8
Advantage of sorafenib combined with radiofrequency ablation for treatment of hepatocellular carcinoma.索拉非尼联合射频消融治疗肝细胞癌的优势
Tumori. 2017 May 12;103(3):286-291. doi: 10.5301/tj.5000585. Epub 2016 Dec 26.
9
Cavitation enhances coagulated size during pulsed high-intensity focussed ultrasound ablation in an isolated liver perfusion system.在离体肝脏灌注系统中,脉冲高强度聚焦超声消融过程中,空化作用可增大凝固灶大小。
Int J Hyperthermia. 2017 May;33(3):343-353. doi: 10.1080/02656736.2016.1255918. Epub 2016 Nov 24.
10
Anti-tumor effect of ultrasound-induced Nordy-loaded microbubbles destruction.超声介导的诺帝载药微泡破坏的抗肿瘤作用
J Drug Target. 2016 Sep;24(8):703-8. doi: 10.3109/1061186X.2016.1144058. Epub 2016 Feb 23.