Suppr超能文献

大腿黏液纤维肉瘤开放活检后自发消退

Spontaneous Regression of Myxofibrosarcoma of the Thigh after Open Biopsy.

作者信息

Mizuno Tsukasa, Susa Michiro, Horiuchi Keisuke, Shimazaki Hideyuki, Nakanishi Kuniaki, Chiba Kazuhiro

机构信息

Department of Orthopedic Surgery, National Defense Medical College, Tokorozawa, Japan.

Department of Laboratory Medicine, National Defense Medical College Hospital, Tokorozawa, Japan.

出版信息

Case Rep Oncol. 2019 May 16;12(2):364-369. doi: 10.1159/000500504. eCollection 2019 May-Aug.

Abstract

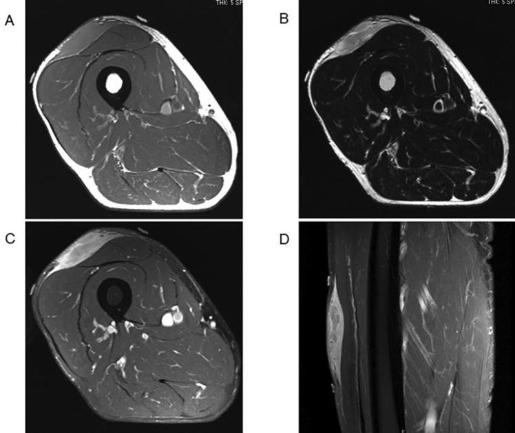
Spontaneous regression of sarcoma is exceedingly rare. A 62-year-old male presented with myxofibrosarcoma of the thigh which regressed after open biopsy. Treatment strategy for this condition is not well-documented in the literature. In this report, we describe the case of a spontaneously regressed myxofibrosarcoma successfully treated by resection where the extent of the tumor was determined from the initial MRI. This case demonstrates that myxofibrosarcoma has the potential to regress spontaneously, and astute awareness of this phenomenon is necessary for appropriate management of this condition.

摘要

肉瘤的自发消退极为罕见。一名62岁男性因大腿黏液纤维肉瘤就诊,该肿瘤在开放活检后消退。文献中对这种情况的治疗策略记载不多。在本报告中,我们描述了一例经切除成功治疗的自发消退黏液纤维肉瘤病例,其肿瘤范围根据最初的磁共振成像(MRI)确定。该病例表明黏液纤维肉瘤有自发消退的可能,对这一现象保持敏锐认知对于妥善处理这种情况很有必要。

https://cdn.ncbi.nlm.nih.gov/pmc/blobs/9c20/6547297/2e0e116fccb1/cro-0012-0364-g01.jpg

相似文献

1
Spontaneous Regression of Myxofibrosarcoma of the Thigh after Open Biopsy.
Case Rep Oncol. 2019 May 16;12(2):364-369. doi: 10.1159/000500504. eCollection 2019 May-Aug.
2
Mesenteric Myxofibrosarcoma: A Case Report.
J Anus Rectum Colon. 2020 Jul 30;4(3):151-155. doi: 10.23922/jarc.2020-002. eCollection 2020.
3
A Case of Malignant Myxofibrosarcoma With Hypoglycemia Attacks.
Cureus. 2023 May 1;15(5):e38387. doi: 10.7759/cureus.38387. eCollection 2023 May.
4
Giant myxofibrosarcoma of the orbit: a rare case and a review of the literature.
BMJ Case Rep. 2016 Jun 13;2016:bcr2015214107. doi: 10.1136/bcr-2015-214107.
5
Acute Trauma Precipitating the Onset of Chest Wall Myxofibrosarcoma.
Indian J Surg Oncol. 2018 Sep;9(3):411-413. doi: 10.1007/s13193-018-0768-0. Epub 2018 Jun 20.
6
Myxofibrosarcoma of the thyroid gland.
Eur Ann Otorhinolaryngol Head Neck Dis. 2014 Dec;131(6):385-387. doi: 10.1016/j.anorl.2013.09.004. Epub 2014 Apr 1.
7
The cytologic diagnosis of epithelioid myxofibrosarcoma: a case report.
Diagn Cytopathol. 2012 Aug;40 Suppl 2:E140-3. doi: 10.1002/dc.21556. Epub 2010 Nov 2.
8
A rare presentation of myxofibrosarcoma as a Pancoast tumor: a case report.
J Med Case Rep. 2017 Mar 7;11(1):61. doi: 10.1186/s13256-017-1223-5.
9
Head and neck myxofibrosarcoma: a case report and review of the literature.
J Med Case Rep. 2014 Dec 29;8:468. doi: 10.1186/1752-1947-8-468.
10
Fine needle aspiration biopsy of primary breast myxofibrosarcoma: a case report.
Acta Cytol. 2009 Jan-Feb;53(1):109-12. doi: 10.1159/000325095.

引用本文的文献

1
Pancreatic enzyme autodigestion of an unresectable retroperitoneal liposarcoma.
BMJ Case Rep. 2021 Aug 23;14(8):e243194. doi: 10.1136/bcr-2021-243194.
2
Complete Spontaneous Regression of Lung Metastases after Resection of CIC-Rearranged Sarcoma: A Case Report.
Case Rep Oncol. 2021 Mar 1;14(1):152-159. doi: 10.1159/000512276. eCollection 2021 Jan-Apr.

本文引用的文献

1
Spontaneous Regression of Primary Pulmonary Synovial Sarcoma.
Ann Thorac Surg. 2018 Mar;105(3):e129-e131. doi: 10.1016/j.athoracsur.2017.09.008.
2
Spontaneous Regression in a Patient With Infantile Fibrosarcoma.
J Pediatr Hematol Oncol. 2018 May;40(4):e253-e255. doi: 10.1097/MPH.0000000000001013.
3
Spontaneous Regression of Epithelioid Angiosarcoma in a Young Woman.
Intern Med. 2017 Dec 15;56(24):3333-3339. doi: 10.2169/internalmedicine.6754-15. Epub 2017 Oct 11.
4
Spontaneous regression of chemotherapy-resistant metastases from a scalp angiosarcoma.
Fukushima J Med Sci. 2017 Aug 9;63(2):106-111. doi: 10.5387/fms.2016-20. Epub 2017 Jul 5.
5
Spontaneous Regression of Metastatic Extraskeletal Myxoid Chondrosarcoma.
Ann Thorac Surg. 2015 Oct;100(4):1465-7. doi: 10.1016/j.athoracsur.2014.12.107.
6
Short-term spontaneous regression of myxofibrosarcoma in the scapular region.
Skeletal Radiol. 2014 Oct;43(10):1487-90. doi: 10.1007/s00256-014-1914-6. Epub 2014 Jun 10.
7
Prognostic and survival factors in myxofibrosarcomas.
Sarcoma. 2012;2012:830879. doi: 10.1155/2012/830879. Epub 2012 Jun 11.
8
Immunity over inability: The spontaneous regression of cancer.
J Nat Sci Biol Med. 2011 Jan;2(1):43-9. doi: 10.4103/0976-9668.82318.
9
10
Spontaneous regression in alveolar soft part sarcoma: case report and literature review.
World J Surg Oncol. 2009 Jun 10;7:53. doi: 10.1186/1477-7819-7-53.

文献AI研究员

20分钟写一篇综述,助力文献阅读效率提升50倍。

立即体验

用中文搜PubMed

大模型驱动的PubMed中文搜索引擎

马上搜索

文档翻译

学术文献翻译模型,支持多种主流文档格式。

立即体验