Institute of Burn Research, State Key Laboratory of Trauma, Burn and Combined Injury, Southwest Hospital, Third Military Medical University (Army Medical University), Chongqing 400038, People's Republic of China.
State Key Laboratory of Polymer Materials Engineering, Polymer Research Institute of Sichuan University, Chengdu, 610065, People's Republic of China.
Int J Nanomedicine. 2019 May 7;14:3345-3360. doi: 10.2147/IJN.S199618. eCollection 2019.
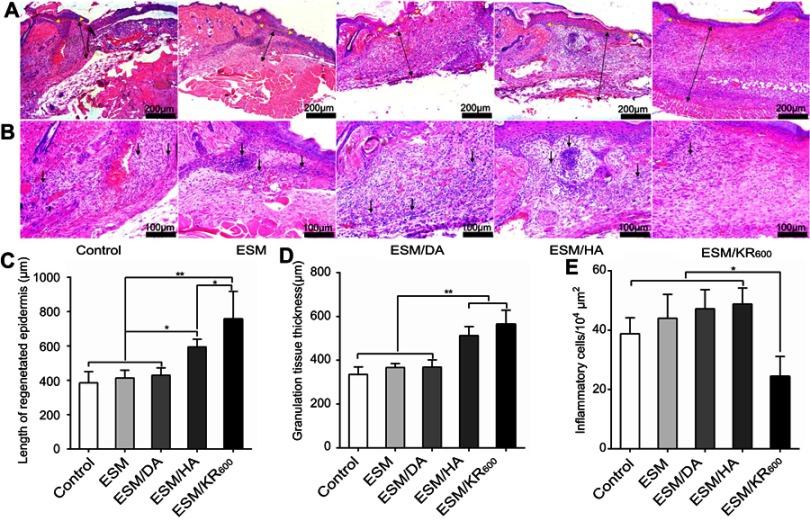
Designing a wound dressing that effectively prevents multi-drug-resistant bacterial infection and promotes angiogenesis and re-epithelialization is of great significance for wound management. In this study, a biocompatible composite membrane comprising biomimetic polydopamine-modified eggshell membrane nano/microfibres coated with KR-12 antimicrobial peptide and hyaluronic acid (HA) was developed in an eco-friendly manner. The physicochemical properties of the composite membrane were thoroughly characterized, and the results showed that the surface hydrophilicity and water absorption ability of the composite membrane were improved after the successive conjugation of the HA and the KR-12 peptide. Furthermore, the in vitrobiological results revealed that the composite membrane had excellent antibacterial activity against Gram-positive , methicillin-resistant (MRSA) and Gram-negative , and it could prevent MRSA biofilm formation on its surface. Additionally, it promoted the proliferation of keratinocytes and human umbilical vein endothelial cells and increased the secretion of VEGF. Finally, an in vivo animal study indicated that the composite membrane could promote wound healing via accelerating angiogenesis and re-epithelialization, which were demonstrated by the enhanced expression of angiogenetic markers (CD31 and VEGF) and keratinocyte proliferation marker (PCNA), respectively. These results indicated that the composite membrane is a potential candidate of wound dressings.
设计一种能够有效预防多重耐药菌感染并促进血管生成和再上皮化的伤口敷料,对于伤口管理具有重要意义。在本研究中,以环保的方式开发了一种由仿生聚多巴胺修饰的蛋壳膜纳米/微纤维组成的生物相容性复合膜,该纤维表面涂覆有 KR-12 抗菌肽和透明质酸(HA)。对复合膜的理化性质进行了全面表征,结果表明,HA 和 KR-12 肽的连续接枝后,复合膜的表面亲水性和吸水性得到了提高。此外,体外生物学结果表明,该复合膜对革兰氏阳性菌(MRSA)和革兰氏阴性菌均具有优异的抗菌活性,能够防止 MRSA 在其表面形成生物膜。此外,它还能促进角质形成细胞和人脐静脉内皮细胞的增殖,并增加 VEGF 的分泌。最后,体内动物研究表明,复合膜能够通过促进血管生成和再上皮化来加速伤口愈合,这分别通过增强血管生成标志物(CD31 和 VEGF)和角质形成细胞增殖标志物(PCNA)的表达来证明。这些结果表明,该复合膜是一种有潜力的伤口敷料候选材料。