Suppr超能文献

树皮水提取物可保护细胞免受电子束辐射引起的氧化应激:方法。

Aqueous extract from bark protects cells from oxidative stress caused by electron beam radiation: approach.

作者信息

Vinutha K, Pavan Gollapalli, Pattar Sharath, Kumari N Suchetha, Vidya S M

机构信息

Department of Biotechnology, NMAM Institute of Technology, 574110, Udupi (Dist), Nitte, Karnataka, India.

Department of Biotechnology Vignan's Foundation for Science, Technology and Research (Deemed to be University), Vadlamudi, Guntur (Dt), Andhra Pradesh, 522203, India.

出版信息

Heliyon. 2019 May 30;5(5):e01749. doi: 10.1016/j.heliyon.2019.e01749. eCollection 2019 May.

Abstract

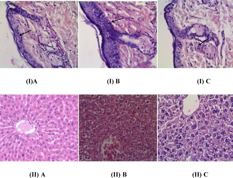
In an endeavor to find the novel natural radioprotector to secure normal cells surrounding cancerous cell during radiation exposure, () aqueous stem bark extract was evaluated for radioprotective activity using , and models. extract exhibited concentration dependent protective effect on electron beam radiation (EBR) induced damage to pBR322 DNA; the highest protection was achieved at 150 μg concentrations. Similarly, extract (400 mg/kg) administrated to mice prior to irradiation protected DNA from the radiation damage, which was confirmed by inhibiting comet parameters. The study showed a significant increase in the levels of glutathione and superoxide dismutase levels. The study also revealed that administration of at the different dose to mice significantly reduced EBR induced MDA, sialic acid and nitric acid levels. Further extract prevented histophatological changes of skin and liver. In contrast, protein-protein interaction studies were performed to find the hub protein, involved in radiation-induced DNA damage. Among 437 proteins that are found expressed during radiation, p53 was found to be a master protein regulating the whole pathway. Molecular interaction between p53 and extract was predicted by quantitative structure-activity relationship and ADMET properties. Biomolecules such as quercetin, myricetin, and 7-hydroxyflavone were found to be promising inhibitors of p53 protein and may help in the protection of EBR induced DNA damage during cancer treatment.

摘要

为了寻找新型天然辐射防护剂,以在辐射暴露期间保护癌细胞周围的正常细胞,使用[具体模型]对[植物名称]茎皮水提取物的辐射防护活性进行了评估。[植物名称]提取物对电子束辐射(EBR)诱导的pBR322 DNA损伤表现出浓度依赖性保护作用;在150μg浓度时达到最高保护效果。同样,在照射前给小鼠施用[植物名称]提取物(400mg/kg)可保护DNA免受辐射损伤,这通过抑制彗星参数得到证实。研究表明谷胱甘肽水平和超氧化物歧化酶水平显著增加。该研究还表明,给小鼠施用不同剂量的[植物名称]提取物可显著降低EBR诱导的丙二醛、唾液酸和硝酸水平。此外,[植物名称]提取物可防止皮肤和肝脏的组织病理学变化。相反,进行了蛋白质-蛋白质相互作用研究以寻找参与辐射诱导DNA损伤的枢纽蛋白。在辐射期间发现表达的437种蛋白质中,p53被发现是调节整个途径的主要蛋白质。通过定量构效关系和ADMET性质预测了p53与[植物名称]提取物之间的分子相互作用。发现生物分子如槲皮素、杨梅素和7-羟基黄酮是p53蛋白的有前景的抑制剂,可能有助于在癌症治疗期间保护EBR诱导的DNA损伤。

https://cdn.ncbi.nlm.nih.gov/pmc/blobs/55a6/6543085/e5b5c68382a3/gr1.jpg

文献AI研究员

20分钟写一篇综述,助力文献阅读效率提升50倍。

立即体验

用中文搜PubMed

大模型驱动的PubMed中文搜索引擎

马上搜索

文档翻译

学术文献翻译模型,支持多种主流文档格式。

立即体验