Suppr超能文献

儿科人群中的孤立性圆形肺病变:影像学综述

Solitary round pulmonary lesions in the pediatric population: a pictorial review.

作者信息

Arkoudis Nikolaos-Achilleas, Pastroma Angeliki, Velonakis Georgios, Tsochatzis Athanasios, Mazioti Argyro, Vakaki Marina, Alexopoulou Efthymia

机构信息

Second Department of Radiology, University General Hospital of Athens "Attikon," Medical School, National and Kapodistrian University of Athens, Athens, Greece.

Radiology and Medical Imaging Research Unit, Second Department of Radiology, Medical School, National & Kapodistrian University of Athens, Athens, Greece.

出版信息

Acta Radiol Open. 2019 May 31;8(5):2058460119851998. doi: 10.1177/2058460119851998. eCollection 2019 May.

Abstract

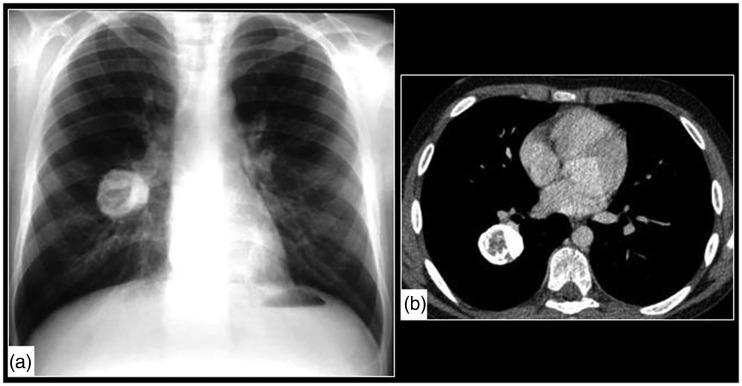
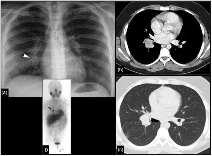
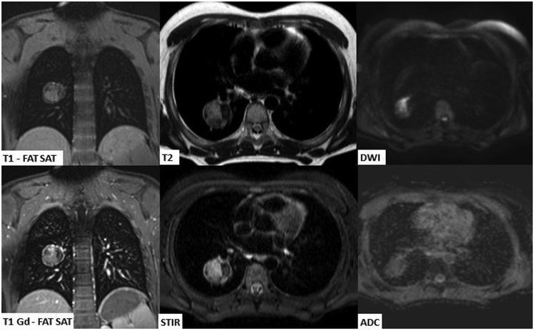
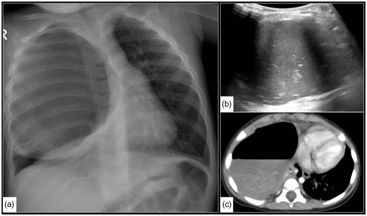
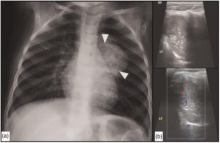
The purpose of this current pictorial review is to define the solitary round pulmonary lesion (SRPL), to familiarize with its prevalence in the pediatric population, and, moreover, to educate radiologists on its vast differential diagnosis and imaging manifestations. Furthermore, by highlighting valuable clues, it intends to assist radiologists efficiently partake in its diagnosis, work-up, and follow-up in order to narrow down the differential diagnosis by working alongside the clinician and combining clinical information, lab results, and radiological findings.

摘要

本次影像综述的目的是明确孤立性圆形肺病变(SRPL),使其在儿科人群中的患病率,此外,使放射科医生熟悉其广泛的鉴别诊断和影像学表现。此外,通过强调有价值的线索,旨在帮助放射科医生有效地参与其诊断、检查和随访,以便通过与临床医生合作并结合临床信息、实验室结果和影像学发现来缩小鉴别诊断范围。

https://cdn.ncbi.nlm.nih.gov/pmc/blobs/6403/6545655/3c938cb9d7c9/10.1177_2058460119851998-fig1.jpg

文献AI研究员

20分钟写一篇综述,助力文献阅读效率提升50倍。

立即体验

用中文搜PubMed

大模型驱动的PubMed中文搜索引擎

马上搜索

文档翻译

学术文献翻译模型,支持多种主流文档格式。

立即体验