Suppr超能文献

经胸超声心动图改良对比法诊断卵圆孔未闭。

Modified Method of Contrast Transthoracic Echocardiography for the Diagnosis of Patent Foramen Ovale.

机构信息

Department of Structural Heart Disease, the First Affiliated Hospital of Xi'an Jiaotong University, Xi'an 710061, China.

出版信息

Biomed Res Int. 2019 May 9;2019:9828539. doi: 10.1155/2019/9828539. eCollection 2019.

Abstract

PURPOSE

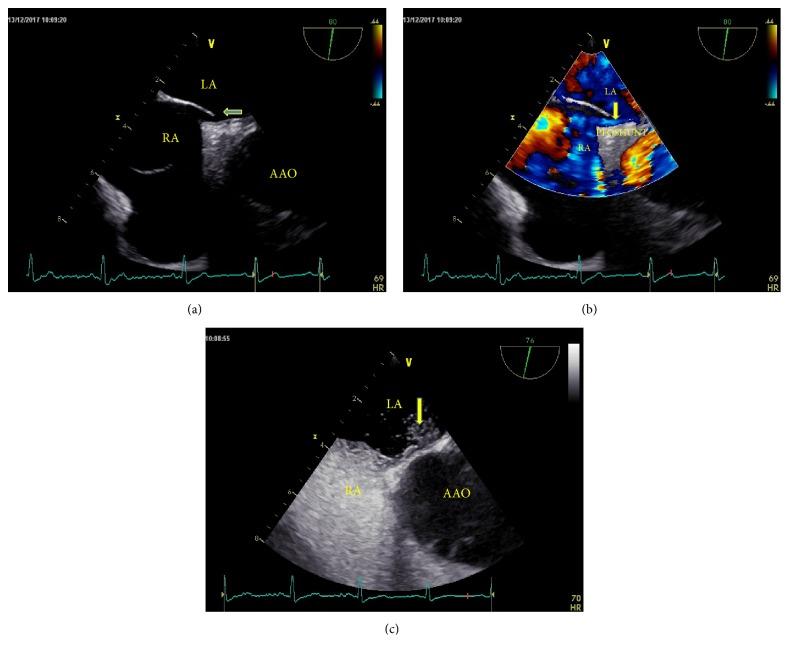
To compare the sensitivity and specificity of modified and traditional methods of contrast echocardiography of the right portion of the heart in patients with a suspicion of patent foramen ovale (PFO).

METHODS

The study population consisted of 506 patients with high clinical suspicion of PFO. The traditional Valsalva maneuver consists of expiration against a closed glottis after a full inspiration. A modified Valsalva maneuver was performed with a handmade pressure monitoring device, which measured pressure during performance of the Valsalva maneuver. Modified and traditional methods of contrast echocardiography were performed among all patients. Contrast transesophageal echocardiography (TEE) was regarded as the gold standard.

RESULTS

A total of 279 patients with PFO were confirmed by TEE. 259 cases (sensitivity: 92.83%) were detected by a modified method of contrast echocardiography of the right portion of the heart, while 234 cases were detected using the traditional method (sensitivity: 83.87%). The sensitivity of modified contrast echocardiography of the right portion of the heart was significantly higher than that of the traditional method (92.83% vs. 83.87%, =0.001). However, there was no significant difference in the specificity of the two methods for the diagnosis of PFO (97.35% vs. 96.03%, =0.431). Additionally, the results of semiquantitative evaluation of PFO using modified method failed to show a more positive rate than shown by the traditional method (Z=-1.782, =0.075).

CONCLUSIONS

Modified contrast echocardiography of the right portion of the heart yielded a higher sensitivity than the traditional method, which contributed to the diagnosis of cardiac PFO. The research was a part of a register study (https://register.clinicaltrials.gov/ ClinicalTrials ID: NCT02777359).

摘要

目的

比较改良与传统右心声学造影法对卵圆孔未闭(PFO)疑似患者的敏感性和特异性。

方法

研究人群为 506 例临床高度疑似 PFO 的患者。传统的瓦尔萨尔瓦动作是在充分吸气后,通过紧闭声门进行呼气。改良的瓦尔萨尔瓦动作是使用手工压力监测装置进行的,该装置在进行瓦尔萨尔瓦动作时测量压力。所有患者均进行改良和传统的右心声学造影检查。对比经食管超声心动图(TEE)被视为金标准。

结果

TEE 共确诊 279 例 PFO。改良右心声学造影法检测到 259 例(敏感性:92.83%),传统方法检测到 234 例(敏感性:83.87%)。改良右心声学造影法的敏感性明显高于传统方法(92.83%比 83.87%,=0.001)。然而,两种方法诊断 PFO 的特异性无显著差异(97.35%比 96.03%,=0.431)。此外,改良法对 PFO 的半定量评估结果未能显示出比传统方法更高的阳性率(Z=-1.782,=0.075)。

结论

改良右心声学造影法的敏感性高于传统方法,有助于诊断心脏 PFO。本研究是注册研究的一部分(https://register.clinicaltrials.gov/ClinicalTrials ID:NCT02777359)。

https://cdn.ncbi.nlm.nih.gov/pmc/blobs/9bd9/6532309/15dd2af52ac8/BMRI2019-9828539.001.jpg

文献AI研究员

20分钟写一篇综述,助力文献阅读效率提升50倍。

立即体验

用中文搜PubMed

大模型驱动的PubMed中文搜索引擎

马上搜索

文档翻译

学术文献翻译模型,支持多种主流文档格式。

立即体验