Suppr超能文献

腹部包虫病:北印度人群中的罕见与常见发病部位

Abdominal Hydatidosis: Unusual and Usual Locations in a North Indian Population.

作者信息

Jain Shreshtha, Khanduri Sachin, Sagar Umar F, Yadav Poonam, Husain Mushahid, Imam Tariq

机构信息

Radiology, Era's Lucknow Medical College and Hospital, Lucknow, IND.

出版信息

Cureus. 2019 Apr 3;11(4):e4380. doi: 10.7759/cureus.4380.

Abstract

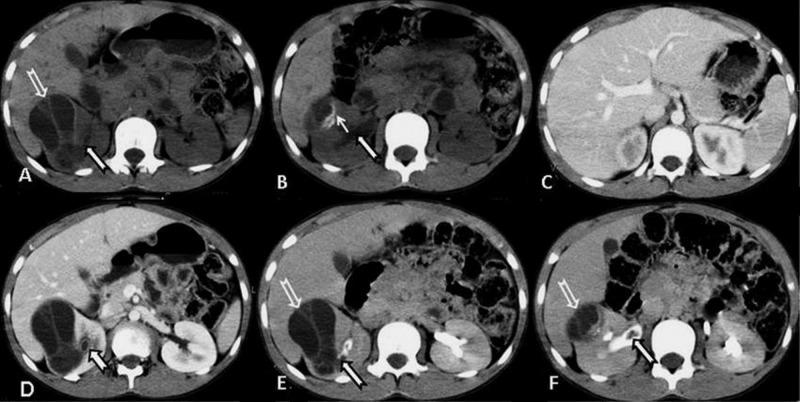
Objective The objective of this study was to assess various locations in the abdomen wherein hydatid cysts can occur in an Indian population. Materials and methods A retrospective study was conducted on 38 patients of 20-55 years of age in an Indian population, who were diagnosed with hydatidosis on ultrasound and computed tomography. The measurement and location of the cysts were taken by the double operator method. Patients were followed up until post-surgical and histopathological diagnosis. Results Among the observed patients, the most common age group was 30-40 years (36.85%), with male predominance (76%). The most commonly involved organ was liver (71.1%) followed by the kidney (10.5%) and peritoneum (8%), pancreas (2.6%), spleen (2.6%), common bile duct (2.6%) and adnexa (2.6%). Conclusion In spite of the usual presenting features, the locations of the cysts were unusual, thus warranting the importance of making the diagnosis before rupture of the cysts and thereby preventing life-threatening complications such as anaphylactic shock.

摘要

目的 本研究的目的是评估印度人群中可能发生包虫囊肿的腹部各个部位。材料与方法 对印度人群中38例年龄在20至55岁之间、经超声和计算机断层扫描诊断为包虫病的患者进行了回顾性研究。囊肿的测量和定位采用双人操作法。对患者进行随访直至术后及组织病理学诊断。结果 在观察的患者中,最常见的年龄组为30至40岁(36.85%),男性占优势(76%)。最常受累的器官是肝脏(71.1%),其次是肾脏(10.5%)、腹膜(8%)、胰腺(2.6%)、脾脏(2.6%)、胆总管(2.6%)和附件(2.6%)。结论 尽管有常见的表现特征,但囊肿的位置不寻常,因此有必要在囊肿破裂前进行诊断,从而预防诸如过敏性休克等危及生命的并发症。

https://cdn.ncbi.nlm.nih.gov/pmc/blobs/8a06/6553669/9fc432d59af3/cureus-0011-00000004380-i01.jpg

文献AI研究员

20分钟写一篇综述,助力文献阅读效率提升50倍。

立即体验

用中文搜PubMed

大模型驱动的PubMed中文搜索引擎

马上搜索

文档翻译

学术文献翻译模型,支持多种主流文档格式。

立即体验