Department of Biological Sciences, University of Notre Dame, Notre Dame, IN, USA.
Nat Cell Biol. 2019 Jul;21(7):856-866. doi: 10.1038/s41556-019-0345-y. Epub 2019 Jun 24.
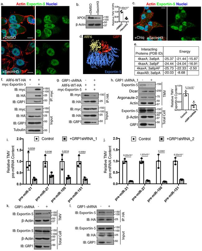
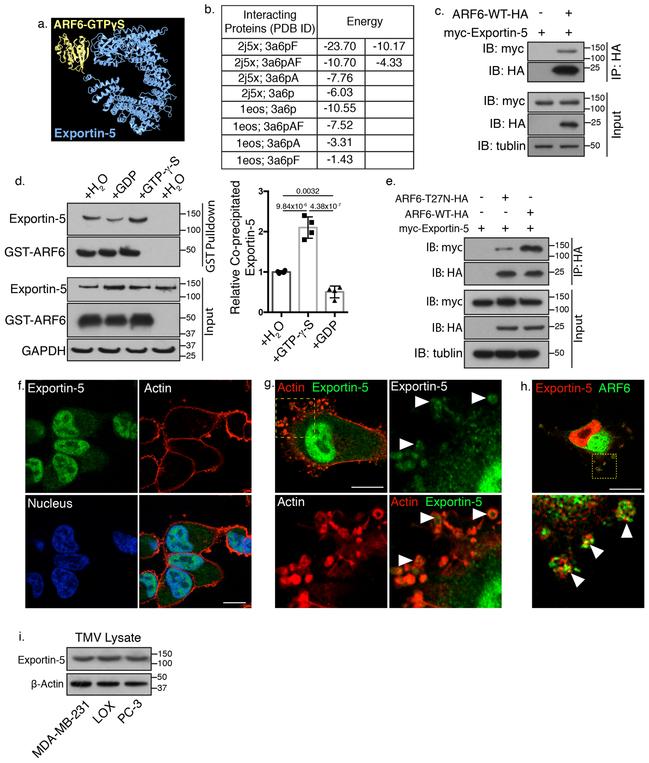
Tumour-derived microvesicles (TMVs) comprise a class of extracellular vesicles released from tumour cells that are now understood to facilitate communication between the tumour and the surrounding microenvironment. Despite their significance, the regulatory mechanisms governing the trafficking of bioactive cargos to TMVs at the cell surface remain poorly defined. Here we describe a molecular pathway for the delivery of microRNA (miRNA) cargo to nascent TMVs involving the dissociation of a pre-miRNA/Exportin-5 complex from Ran-GTP following nuclear export and its subsequent transfer to a cytoplasmic shuttle comprised of ARF6-GTP and GRP1. As such, ARF6 activation increases the pre-miRNA cargo contained within TMVs through a process that requires the casein kinase 2-mediated phosphorylation of RanGAP1. Furthermore, TMVs were found to contain pre-miRNA processing machinery including Dicer and Argonaute-2, which allow for cell-free pre-miRNA processing within shed vesicles. These findings offer cellular targets to block the loading and processing of pre-miRNAs within TMVs.
肿瘤来源的微囊泡(TMVs)是一类从肿瘤细胞释放的细胞外囊泡,现已证实其有助于肿瘤与周围微环境之间的通讯。尽管它们具有重要意义,但目前仍不清楚控制细胞表面生物活性货物向 TMVs 运输的调节机制。在这里,我们描述了一种将 microRNA(miRNA)货物递送至新形成的 TMVs 的分子途径,该途径涉及核输出后 pre-miRNA/Exportin-5 复合物与 Ran-GTP 的解离,随后转移到由 ARF6-GTP 和 GRP1 组成的细胞质穿梭体。因此,ARF6 的激活通过一种需要酪蛋白激酶 2 介导的 RanGAP1 磷酸化的过程增加了 TMVs 中包含的 pre-miRNA 货物。此外,还发现 TMVs 中含有 pre-miRNA 加工机制,包括 Dicer 和 Argonaute-2,这使得在脱落的囊泡中可以进行无细胞 pre-miRNA 加工。这些发现为阻断 TMVs 内 pre-miRNA 的加载和加工提供了细胞靶标。