Suppr超能文献

深度学习方法识别外周白细胞。

Deep learning approach to peripheral leukocyte recognition.

机构信息

School of Mechanical Engineering & Automation, Beihang University, Beijing, China.

Department of Technology Research, Beijing iCELL Medical Co. Ltd., Beijing, China.

出版信息

PLoS One. 2019 Jun 25;14(6):e0218808. doi: 10.1371/journal.pone.0218808. eCollection 2019.

Abstract

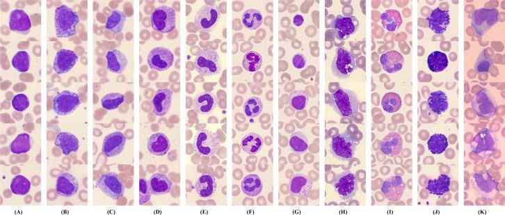
Microscopic examination of peripheral blood plays an important role in the field of diagnosis and control of major diseases. Peripheral leukocyte recognition by manual requires medical technicians to observe blood smears through light microscopy, using their experience and expertise to discriminate and analyze different cells, which is time-consuming, labor-intensive and subjective. The traditional systems based on feature engineering often need to ensure successful segmentation and then manually extract certain quantitative and qualitative features for recognition but still remaining a limitation of poor robustness. The classification pipeline based on convolutional neural network is of automatic feature extraction and free of segmentation but hard to deal with multiple object recognition. In this paper, we take leukocyte recognition as object detection task and apply two remarkable object detection approaches, Single Shot Multibox Detector and An Incremental Improvement Version of You Only Look Once. To improve recognition performance, some key factors involving these object detection approaches are explored and the detection models are generated using the train set of 14,700 annotated images. Finally, we evaluate these detection models on test sets consisting of 1,120 annotated images and 7,868 labeled single object images corresponding to 11 categories of peripheral leukocytes, respectively. A best mean average precision of 93.10% and mean accuracy of 90.09% are achieved while the inference time is 53 ms per image on a NVIDIA GTX1080Ti GPU.

摘要

外周血的显微镜检查在重大疾病的诊断和控制领域发挥着重要作用。手动识别外周白细胞需要医学技术人员通过光学显微镜观察血涂片,利用他们的经验和专业知识来区分和分析不同的细胞,这既耗时又费力,而且具有主观性。基于特征工程的传统系统通常需要确保成功分割,然后手动提取某些定量和定性特征进行识别,但仍然存在鲁棒性差的局限性。基于卷积神经网络的分类管道具有自动特征提取功能,无需分割,但难以处理多个目标识别。在本文中,我们将白细胞识别作为目标检测任务,并应用两种显著的目标检测方法,单发多框检测器和一增一减版本的只看一次。为了提高识别性能,我们探讨了涉及这些目标检测方法的一些关键因素,并使用 14700 张带注释图像的训练集生成检测模型。最后,我们在包含 1120 张带注释图像和 7868 张对应于外周白细胞 11 类的标记单个对象图像的测试集上评估这些检测模型。在 NVIDIA GTX1080Ti GPU 上,每个图像的推理时间为 53ms,最佳平均精度为 93.10%,平均精度为 90.09%。

https://cdn.ncbi.nlm.nih.gov/pmc/blobs/77ff/6592546/ec402e5c29e0/pone.0218808.g001.jpg

文献AI研究员

20分钟写一篇综述,助力文献阅读效率提升50倍。

立即体验

用中文搜PubMed

大模型驱动的PubMed中文搜索引擎

马上搜索

文档翻译

学术文献翻译模型,支持多种主流文档格式。

立即体验