• 文献检索
  • 文档翻译
  • 深度研究
  • 学术资讯
  • Suppr Zotero 插件Zotero 插件
  • 邀请有礼
  • 套餐&价格
  • 历史记录
应用&插件
Suppr Zotero 插件Zotero 插件浏览器插件Mac 客户端Windows 客户端微信小程序
定价
高级版会员购买积分包购买API积分包
服务
文献检索文档翻译深度研究API 文档MCP 服务
关于我们
关于 Suppr公司介绍联系我们用户协议隐私条款
关注我们

Suppr 超能文献

核心技术专利:CN118964589B侵权必究
粤ICP备2023148730 号-1Suppr @ 2026

文献检索

告别复杂PubMed语法,用中文像聊天一样搜索,搜遍4000万医学文献。AI智能推荐,让科研检索更轻松。

立即免费搜索

文件翻译

保留排版,准确专业,支持PDF/Word/PPT等文件格式,支持 12+语言互译。

免费翻译文档

深度研究

AI帮你快速写综述,25分钟生成高质量综述,智能提取关键信息,辅助科研写作。

立即免费体验

结节性多动脉炎伴显著嗜酸性粒细胞增多,合并严重胃肠道受累及复发性静脉血栓形成。

Polyarteritis Nodosa with Marked Eosinophilia, Associated with Severe Gastrointestinal Tract Involvement and Recurrent Venous Thrombosis.

作者信息

Oiwa Hiroshi, Taniguchi Kohei, Miyoshi Natsuki, Sasaki Keiko, Ichimura Kouichi, Kubota Tetsushi, Sato Daisuke

机构信息

Department of Rheumatology, Hiroshima City Hiroshima Citizens Hospital, Japan.

Department of Pathology, Hiroshima City Hiroshima Citizens Hospital, Japan.

出版信息

Intern Med. 2019 Oct 15;58(20):3051-3055. doi: 10.2169/internalmedicine.2802-19. Epub 2019 Jun 27.

DOI:10.2169/internalmedicine.2802-19
PMID:31243218
原文链接:https://pmc.ncbi.nlm.nih.gov/articles/PMC6859400/
Abstract

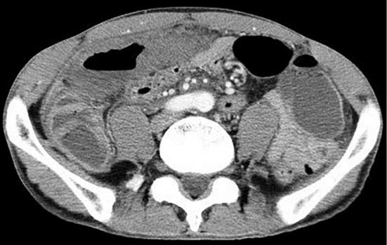
A 45-year-old man was admitted with acute abdominal pain and eosinophilia. Abdominal computed tomography revealed thickness of the ascending and transverse colon with decreased contrast enhancement and a small amount of ascites. In an emergency operation, the necrotic colon was resected. Histopathology showed subserous medium-sized arteritis with abundant eosinophil infiltrates and thrombosis in the portal vein branches. He was diagnosed with polyarteritis nodosa (PAN), and immunosuppressive therapy improved his condition. Two years later, the disease recurred with ischemic cutaneous lesions and marked eosinophilia. Our experience suggests that marked eosinophilia in PAN may imply severe organ involvement, including gastrointestinal necrosis, as well as the association of venous thrombosis.

摘要

一名45岁男性因急性腹痛和嗜酸性粒细胞增多症入院。腹部计算机断层扫描显示升结肠和横结肠增厚,增强扫描强化减弱,并有少量腹水。在急诊手术中,切除了坏死的结肠。组织病理学显示浆膜下中型动脉炎,伴有大量嗜酸性粒细胞浸润和门静脉分支血栓形成。他被诊断为结节性多动脉炎(PAN),免疫抑制治疗使病情得到改善。两年后,疾病复发,出现缺血性皮肤病变和明显的嗜酸性粒细胞增多。我们的经验表明,PAN中明显的嗜酸性粒细胞增多可能意味着严重的器官受累,包括胃肠道坏死,以及静脉血栓形成的关联。

https://cdn.ncbi.nlm.nih.gov/pmc/blobs/5bcc/6859400/b5b062f79723/1349-7235-58-3051-g005.jpg
https://cdn.ncbi.nlm.nih.gov/pmc/blobs/5bcc/6859400/cd51dced2cc4/1349-7235-58-3051-g001.jpg
https://cdn.ncbi.nlm.nih.gov/pmc/blobs/5bcc/6859400/9315c9057960/1349-7235-58-3051-g002.jpg
https://cdn.ncbi.nlm.nih.gov/pmc/blobs/5bcc/6859400/fb64581f2411/1349-7235-58-3051-g003.jpg
https://cdn.ncbi.nlm.nih.gov/pmc/blobs/5bcc/6859400/19b1cf24096d/1349-7235-58-3051-g004.jpg
https://cdn.ncbi.nlm.nih.gov/pmc/blobs/5bcc/6859400/b5b062f79723/1349-7235-58-3051-g005.jpg
https://cdn.ncbi.nlm.nih.gov/pmc/blobs/5bcc/6859400/cd51dced2cc4/1349-7235-58-3051-g001.jpg
https://cdn.ncbi.nlm.nih.gov/pmc/blobs/5bcc/6859400/9315c9057960/1349-7235-58-3051-g002.jpg
https://cdn.ncbi.nlm.nih.gov/pmc/blobs/5bcc/6859400/fb64581f2411/1349-7235-58-3051-g003.jpg
https://cdn.ncbi.nlm.nih.gov/pmc/blobs/5bcc/6859400/19b1cf24096d/1349-7235-58-3051-g004.jpg
https://cdn.ncbi.nlm.nih.gov/pmc/blobs/5bcc/6859400/b5b062f79723/1349-7235-58-3051-g005.jpg

相似文献

1
Polyarteritis Nodosa with Marked Eosinophilia, Associated with Severe Gastrointestinal Tract Involvement and Recurrent Venous Thrombosis.结节性多动脉炎伴显著嗜酸性粒细胞增多,合并严重胃肠道受累及复发性静脉血栓形成。
Intern Med. 2019 Oct 15;58(20):3051-3055. doi: 10.2169/internalmedicine.2802-19. Epub 2019 Jun 27.
2
Gastrointestinal involvement in polyarteritis nodosa.结节性多动脉炎的胃肠道受累情况。
Clin Gastroenterol Hepatol. 2008 Sep;6(9):960-6. doi: 10.1016/j.cgh.2008.04.004. Epub 2008 Jun 27.
3
[Systemic necrotizing vasculitis with bronchial asthma and eosinophilia: Churg-Strauss syndrome].[伴有支气管哮喘和嗜酸性粒细胞增多的系统性坏死性血管炎:变应性肉芽肿性血管炎]
Dtsch Med Wochenschr. 1988 Feb 12;113(6):212-7. doi: 10.1055/s-2008-1067621.
4
Gastrointestinal involvement in polyarteritis nodosa (1986-2000): presentation and outcomes in 24 patients.结节性多动脉炎的胃肠道受累情况(1986 - 2000年):24例患者的临床表现及预后
Am J Med. 2002 Apr 1;112(5):386-91. doi: 10.1016/s0002-9343(01)01131-7.
5
Necrosis of the small intestine leading to a diagnosis of polyarteritis nodosa: a case report.小肠坏死导致结节性多动脉炎的诊断:一例报告
J Med Case Rep. 2019 Mar 9;13(1):55. doi: 10.1186/s13256-019-2017-8.
6
Polyarteritis nodosa complicated by antiphospholipid syndrome.结节性多动脉炎合并抗磷脂综合征。
South Med J. 2008 Apr;101(4):419-21. doi: 10.1097/SMJ.0b013e318167d963.
7
Classical polyarteritis nodosa and microscopic polyarteritis with medium vessel involvement--a comparison of the clinical and laboratory features.结节性多动脉炎和累及中等血管的显微镜下多血管炎——临床和实验室特征比较
Clin Nephrol. 1997 Mar;47(3):176-80.
8
Polyarteritis Nodosa with Cytomegalovirus Enteritis and Jejunoileal Perforation: Report of a Case with a Literature Review.巨细胞病毒性肠炎并节段性回肠炎穿孔导致结节性多动脉炎 1 例报告并文献复习
Vasc Health Risk Manag. 2022 Jul 28;18:595-601. doi: 10.2147/VHRM.S354548. eCollection 2022.
9
Polyarteritis nodosa presenting as a bladder outlet obstruction.以膀胱出口梗阻为表现的结节性多动脉炎。
S Afr Med J. 2016 Nov 2;106(11):1086-1087. doi: 10.7196/SAMJ.2016.v106i11.11083.
10
Papillophlebitis as manifestation of polyarteritis nodosa.乳头静脉炎作为结节性多动脉炎的一种表现形式。
Arch Soc Esp Oftalmol (Engl Ed). 2019 Jun;94(6):300-303. doi: 10.1016/j.oftal.2018.12.007. Epub 2019 Feb 4.

引用本文的文献

1
Development of Eosinophilic Temporal Arteritis and Digital Ischemia in a Patient with Hypereosinophilic Syndrome.一名高嗜酸性粒细胞综合征患者发生嗜酸性粒细胞性颞动脉炎和指端缺血
Intern Med. 2020 May 15;59(10):1323-1330. doi: 10.2169/internalmedicine.3707-19. Epub 2020 Feb 26.

本文引用的文献

1
Acute pulmonary embolism and deep vein thrombosis secondary to idiopathic hypereosinophilic syndrome.特发性嗜酸性粒细胞增多综合征继发急性肺栓塞和深静脉血栓形成。
Respir Med Case Rep. 2018 Sep 10;25:213-215. doi: 10.1016/j.rmcr.2018.09.006. eCollection 2018.
2
World Health Organization-defined eosinophilic disorders: 2017 update on diagnosis, risk stratification, and management.世界卫生组织定义的嗜酸性粒细胞疾病:2017 年诊断、风险分层和管理更新。
Am J Hematol. 2017 Nov;92(11):1243-1259. doi: 10.1002/ajh.24880.
3
Pulmonary embolism, deep vein thrombosis and recurrent bone cysts in a patient with hypereosinophilic syndrome.
一名患有嗜酸性粒细胞增多综合征的患者出现肺栓塞、深静脉血栓形成和复发性骨囊肿。
Blood Coagul Fibrinolysis. 2016 Oct;27(7):831-834. doi: 10.1097/MBC.0000000000000501.
4
Hypereosinophilic syndrome as a cause of fatal thrombosis: two case reports with histological study.嗜酸性粒细胞增多综合征作为致命性血栓形成的原因:两例病例报告及组织学研究
J Thromb Thrombolysis. 2015 Aug;40(2):255-9. doi: 10.1007/s11239-014-1151-9.
5
2012 revised International Chapel Hill Consensus Conference Nomenclature of Vasculitides.2012年修订的国际 Chapel Hill 共识会议血管炎命名法
Arthritis Rheum. 2013 Jan;65(1):1-11. doi: 10.1002/art.37715.
6
The Five-Factor Score revisited: assessment of prognoses of systemic necrotizing vasculitides based on the French Vasculitis Study Group (FVSG) cohort.再谈五因素评分:基于法国血管炎研究组(FVSG)队列对系统性坏死性血管炎预后的评估
Medicine (Baltimore). 2011 Jan;90(1):19-27. doi: 10.1097/MD.0b013e318205a4c6.
7
Vasculitis of the temporal arteries in the young.年轻人颞动脉的血管炎
Semin Arthritis Rheum. 2009 Oct;39(2):96-107. doi: 10.1016/j.semarthrit.2008.03.001. Epub 2008 Jun 9.
8
Cardiovascular manifestations of hypereosinophilic syndromes.嗜酸性粒细胞增多综合征的心血管表现。
Immunol Allergy Clin North Am. 2007 Aug;27(3):457-75. doi: 10.1016/j.iac.2007.07.001.
9
Superficial venous thrombophlebitis as the initial manifestation of hypereosinophilic syndrome: study of the first 3 cases.
Arch Dermatol. 2006 Dec;142(12):1606-10. doi: 10.1001/archderm.142.12.1606.
10
Hypereosinophilia with systemic thrombophlebitis.伴有系统性血栓性静脉炎的嗜酸性粒细胞增多症。
Hum Pathol. 2005 May;36(5):585-9. doi: 10.1016/j.humpath.2005.03.017.