Suppr超能文献

肛周颗粒细胞瘤的磁共振成像(MRI):病例报告及文献复习

Magnetic resonance imaging (MRI) of perianal granular cell tumor: A case report and literature review.

作者信息

Yuan Jie, Han Zhihong, Wang Ziyuan, Wang Minyan, Zhan Songhua

机构信息

Department of Radiology, Shuguang Hospital, Shanfghai University of Traditional Chinese Medicine, No. 528, Zhangheng Road, Pudong district, Shanghai, China.

Department of Pathology, Shuguang Hospital, Shanghai University of Traditional Chinese Medicine, No. 528, Zhangheng Road, Pudong district, Shanghai, China.

出版信息

Radiol Case Rep. 2019 Jun 17;14(8):1047-1051. doi: 10.1016/j.radcr.2019.05.010. eCollection 2019 Aug.

Abstract

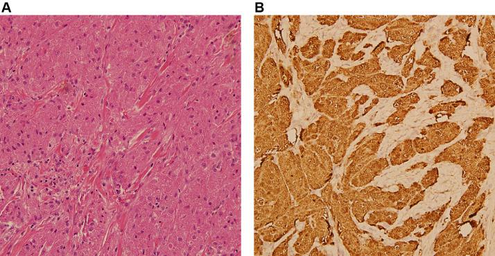
Granular cell tumor (GCT) is a rare soft tissue neoplasm. At present, there is limited information available on the incidence, diagnosis, and treatment of GCTs. Therefore, we perform magnetic resonance imaging (MRI) of a perianal GCT case and review the literature of other reported cases to obtain a more comprehensive understanding of the disease. Here, we describe a rare case of perianal GCT in a 53-year-old female who presented with recurrent abdominal pain. Contrast-enhanced MRI demonstrated a well-defined perianal GCT mass, and the diagnosis was confirmed by immunostaining after mass excision. During a 10-month follow-up, there had been no evidence of recurrence. In addition, we discussed the findings of other perianal GCT cases, with regard to their age, gender, MRI analysis results, pathologic features, and treatment outcomes.

摘要

颗粒细胞瘤(GCT)是一种罕见的软组织肿瘤。目前,关于颗粒细胞瘤的发病率、诊断和治疗的信息有限。因此,我们对一例肛周颗粒细胞瘤病例进行了磁共振成像(MRI)检查,并回顾了其他已报道病例的文献,以更全面地了解该疾病。在此,我们描述了一例53岁女性的罕见肛周颗粒细胞瘤病例,该患者表现为反复腹痛。增强MRI显示一个边界清晰的肛周颗粒细胞瘤肿块,肿块切除后经免疫染色确诊。在10个月的随访中,没有复发的迹象。此外,我们还讨论了其他肛周颗粒细胞瘤病例的研究结果,包括其年龄、性别、MRI分析结果、病理特征和治疗效果。

https://cdn.ncbi.nlm.nih.gov/pmc/blobs/8c85/6584453/b3dd72fd3358/gr1.jpg

相似文献

1
Magnetic resonance imaging (MRI) of perianal granular cell tumor: A case report and literature review.
Radiol Case Rep. 2019 Jun 17;14(8):1047-1051. doi: 10.1016/j.radcr.2019.05.010. eCollection 2019 Aug.
2
A rare case of perianal granular cell tumor: case report and literature review.
J Surg Case Rep. 2017 Jun 6;2017(6):rjw186. doi: 10.1093/jscr/rjw186. eCollection 2017 Jun.
3
Rare case of granular cell tumor of perianal region: a case report and literature review.
J Int Med Res. 2021 Jan;49(1):300060520982689. doi: 10.1177/0300060520982689.
4
Granular cell tumor on perianal region: a case report.
Acta Med Iran. 2013 Aug 7;51(7):509-11.
5
Pancreatic granular cell tumor diagnosed by endoscopic ultrasound-guided fine needle aspiration biopsy.
Clin J Gastroenterol. 2019 Aug;12(4):347-354. doi: 10.1007/s12328-019-00941-7. Epub 2019 Feb 6.
6
A rare case of malignant granular cell tumor of the cheek in a 16-year-old child: a case report.
Ann Med Surg (Lond). 2023 Jul 24;85(9):4581-4585. doi: 10.1097/MS9.0000000000001077. eCollection 2023 Sep.
7
Intramuscular granular cell tumor in the sternocleidomastoid muscle: A case report and literature review.
Ear Nose Throat J. 2025 Mar;104(1_suppl):307S-312S. doi: 10.1177/01455613221143357. Epub 2022 Dec 5.
9
A case report of a rare intramuscular granular cell tumor.
Diagn Pathol. 2015 Sep 17;10:162. doi: 10.1186/s13000-015-0390-1.
10
Imaging of perianal granular cell tumor with lung metastasis: A case report and literature review.
Radiol Case Rep. 2021 Nov 26;17(2):314-319. doi: 10.1016/j.radcr.2021.10.048. eCollection 2022 Feb.

引用本文的文献

1
Imaging of perianal granular cell tumor with lung metastasis: A case report and literature review.
Radiol Case Rep. 2021 Nov 26;17(2):314-319. doi: 10.1016/j.radcr.2021.10.048. eCollection 2022 Feb.

本文引用的文献

1
Unexpected Presentation of Perianal Granular Cell Tumor in a Young Woman.
Curr Probl Diagn Radiol. 2017 Nov-Dec;46(6):452-454. doi: 10.1067/j.cpradiol.2017.01.004. Epub 2017 Jan 14.
2
Recurrent granular cell tumor of the anal-perianal region: how much anal sphincter can be resected?
Tech Coloproctol. 2014 Jun;18(6):597-600. doi: 10.1007/s10151-013-1043-6. Epub 2013 Jul 16.
4
Case of multiple cutaneous granular cell tumors.
J Dermatol. 2009 Sep;36(9):504-7. doi: 10.1111/j.1346-8138.2009.00684.x.
5
Granular cell tumor of the tongue in a 6-year-old girl--a case report.
Med Oral Patol Oral Cir Bucal. 2006 Mar 1;11(2):E162-4.
7
Granular cell tumor of the rectum: a case report and review of the literature.
J Gastroenterol. 2000;35(8):631-4. doi: 10.1007/s005350070064.

文献AI研究员

20分钟写一篇综述,助力文献阅读效率提升50倍。

立即体验

用中文搜PubMed

大模型驱动的PubMed中文搜索引擎

马上搜索

文档翻译

学术文献翻译模型,支持多种主流文档格式。

立即体验