Department of Surgical Pathology, Changhua Christian Hospital, Changhua 50006, Taiwan.
Department of Urology, Chung Shan Medical University Hospital, Taichung 40201, Taiwan.
Medicina (Kaunas). 2019 Jul 5;55(7):343. doi: 10.3390/medicina55070343.
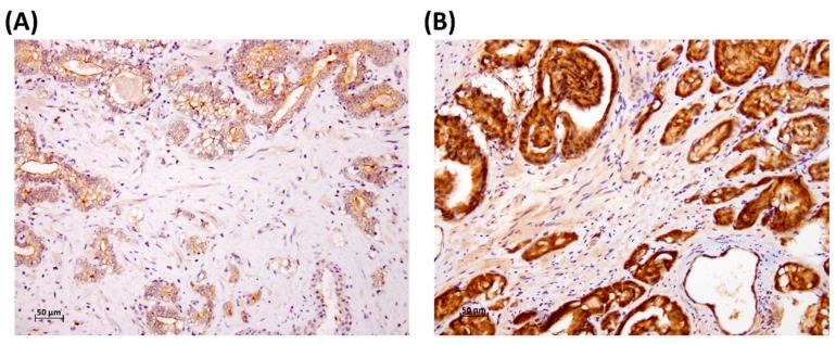
Prostate cancer (PCa) is a common malignancy in males and has a relatively slower progression than other cancers. Our goal was to evaluate the clinical role of SPARC (secreted protein acidic and cysteine rich, osteonectin), cwcv, and kazal-like domains' proteoglycan 1 (SPOCK1) in PCa. SPOCK1 expression was studied through the immunohistochemical staining of specimens from 71 patients with PCa. The correlation between SPOCK1 expression and clinicopathological features was quantitatively analyzed. We used Kaplan-Meier analysis and Cox proportional hazard models to analyze the prognostic value. Of 71 PCa patients, high SPOCK1 expression was more likely to be seen in those with an advanced stage ( = 0.018) of the disease and an advanced tumor (T) value ( = 0.014). Patients in Gleason grade groups 3 and 4 had significantly higher SPOCK1 expression ( = 0.044 and 0.003, respectively) compared to those of Gleason grade group 1. However, this trend was not observed in patients in Gleason grade group 5. For the survival analysis, although it was not statistically significant, patients with a high SPOCK1 expression had a shorter median overall survival (6.2 years) compared to those with low expression (7.8 years). High SPOCK1 expression may be related to advanced clinicopathological features and possibly a poor prognosis. Further analysis with a larger patient base would help clarify this issue.
前列腺癌(PCa)是男性常见的恶性肿瘤,其进展速度相对较慢。我们的目的是评估富含半胱氨酸的酸性分泌蛋白(SPARC)、卷曲相关五肽重复蛋白 1(cwcv)和 Kazal 样结构域蛋白聚糖 1(SPOCK1)在 PCa 中的临床作用。通过对 71 例 PCa 患者标本的免疫组织化学染色研究 SPOCK1 的表达。定量分析 SPOCK1 表达与临床病理特征的相关性。我们使用 Kaplan-Meier 分析和 Cox 比例风险模型来分析预后价值。在 71 例 PCa 患者中,疾病进展期(=0.018)和肿瘤进展期(T 值)(=0.014)的患者更可能表现出高 SPOCK1 表达。Gleason 分级组 3 和 4 的患者 SPOCK1 表达明显更高(=0.044 和 0.003),而 Gleason 分级组 1 的患者则不然。然而,在 Gleason 分级组 5 的患者中未观察到这种趋势。对于生存分析,尽管没有统计学意义,但高 SPOCK1 表达的患者中位总生存期(6.2 年)短于低表达的患者(7.8 年)。高 SPOCK1 表达可能与晚期临床病理特征有关,可能预示着预后不良。进一步分析更大的患者基础将有助于阐明这一问题。