• 文献检索
  • 文档翻译
  • 深度研究
  • 学术资讯
  • Suppr Zotero 插件Zotero 插件
  • 邀请有礼
  • 套餐&价格
  • 历史记录
应用&插件
Suppr Zotero 插件Zotero 插件浏览器插件Mac 客户端Windows 客户端微信小程序
定价
高级版会员购买积分包购买API积分包
服务
文献检索文档翻译深度研究API 文档MCP 服务
关于我们
关于 Suppr公司介绍联系我们用户协议隐私条款
关注我们

Suppr 超能文献

核心技术专利:CN118964589B侵权必究
粤ICP备2023148730 号-1Suppr @ 2026

文献检索

告别复杂PubMed语法,用中文像聊天一样搜索,搜遍4000万医学文献。AI智能推荐,让科研检索更轻松。

立即免费搜索

文件翻译

保留排版,准确专业,支持PDF/Word/PPT等文件格式,支持 12+语言互译。

免费翻译文档

深度研究

AI帮你快速写综述,25分钟生成高质量综述,智能提取关键信息,辅助科研写作。

立即免费体验

胆管黏液性囊腺瘤:文献综述

Biliary Mucinous Cystadenoma: A Review of the Literature.

作者信息

Averbukh Leon D, Wu David C, Cho Woo Cheal, Wu George Y

机构信息

Department of Medicine, Division of Gastroenterology-Hepatology, University of Connecticut Health Center, Farmington, CT, USA.

Department of Pathology, Hartford Hospital, Hartford, CT, USA.

出版信息

J Clin Transl Hepatol. 2019 Jun 28;7(2):149-153. doi: 10.14218/JCTH.2019.00017.

DOI:10.14218/JCTH.2019.00017
PMID:31293915
原文链接:https://pmc.ncbi.nlm.nih.gov/articles/PMC6609848/
Abstract

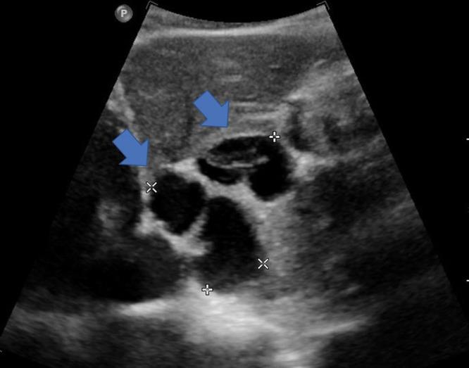
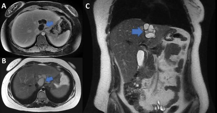
Biliary mucinous cystadenomas are cystic neoplasms commonly mistaken for simple cysts. They are rare and generally benign tumors, often incidentally found on imaging and during unrelated surgical interventions. They tend to be slow growing though may reach symptomatic dimensions. Misdiagnosis of biliary mucinous cystadenomas may have serious consequences secondary to their potential for malignant transformation into biliary mucinous cystadenocarcinomas. Here, we review the epidemiology, etiology, pathology, diagnostic modalities, histology, and available treatment methods for mucinous cystadenomas reported in current literature.

摘要

胆管黏液性囊腺瘤是一种囊性肿瘤,常被误诊为单纯囊肿。它们是罕见的肿瘤,通常为良性,常在影像学检查或无关手术中偶然发现。虽然生长缓慢,但可能会发展到出现症状的大小。胆管黏液性囊腺瘤的误诊可能会导致严重后果,因为它们有可能恶变为胆管黏液性囊腺癌。在此,我们综述了当前文献中报道的黏液性囊腺瘤的流行病学、病因、病理、诊断方法、组织学及可用的治疗方法。

https://cdn.ncbi.nlm.nih.gov/pmc/blobs/5b3b/6609848/591e9fee9abe/JCTH-7-149-g002.jpg
https://cdn.ncbi.nlm.nih.gov/pmc/blobs/5b3b/6609848/a97087aabbf0/JCTH-7-149-g001.jpg
https://cdn.ncbi.nlm.nih.gov/pmc/blobs/5b3b/6609848/591e9fee9abe/JCTH-7-149-g002.jpg
https://cdn.ncbi.nlm.nih.gov/pmc/blobs/5b3b/6609848/a97087aabbf0/JCTH-7-149-g001.jpg
https://cdn.ncbi.nlm.nih.gov/pmc/blobs/5b3b/6609848/591e9fee9abe/JCTH-7-149-g002.jpg

相似文献

1
Biliary Mucinous Cystadenoma: A Review of the Literature.胆管黏液性囊腺瘤:文献综述
J Clin Transl Hepatol. 2019 Jun 28;7(2):149-153. doi: 10.14218/JCTH.2019.00017.
2
Diagnostic and Therapeutic Challenges of Intrahepatic Biliary Cystadenoma and Cystadenocarcinoma: A Report of 10 Cases and Review of the Literature.肝内胆管囊腺瘤和囊腺癌的诊断与治疗挑战:10例报告及文献复习
Int Surg. 2015 Jul;100(7-8):1212-9. doi: 10.9738/INTSURG-D-15-00025.1.
3
Cyst fluid analysis in the differential diagnosis of pancreatic cysts. A comparison of pseudocysts, serous cystadenomas, mucinous cystic neoplasms, and mucinous cystadenocarcinoma.胰腺囊肿鉴别诊断中的囊液分析。假性囊肿、浆液性囊腺瘤、黏液性囊性肿瘤及黏液性囊腺癌的比较。
Ann Surg. 1993 Jan;217(1):41-7. doi: 10.1097/00000658-199301000-00008.
4
Cystadenoma and cystadenocarcinoma of the liver: a single center experience.肝脏囊腺瘤与囊腺癌:单中心经验
J Am Coll Surg. 2005 May;200(5):727-33. doi: 10.1016/j.jamcollsurg.2005.01.005.
5
Cystic tumors of the pancreas: dynamic CT studies.胰腺囊性肿瘤:动态CT研究
J Comput Assist Tomogr. 1994 May-Jun;18(3):420-6. doi: 10.1097/00004728-199405000-00015.
6
Intrahepatic biliary mucinous cystic neoplasms: clinicoradiological characteristics and surgical results.肝内胆管黏液性囊性肿瘤:临床放射学特征及手术结果
BMC Gastroenterol. 2015 Jun 10;15:67. doi: 10.1186/s12876-015-0293-3.
7
Clinical and pathologic correlation of 84 mucinous cystic neoplasms of the pancreas: can one reliably differentiate benign from malignant (or premalignant) neoplasms?84例胰腺黏液性囊性肿瘤的临床与病理相关性:能否可靠地区分良性与恶性(或癌前)肿瘤?
Ann Surg. 2000 Feb;231(2):205-12. doi: 10.1097/00000658-200002000-00009.
8
Hepatobiliary cystadenoma and cystadenocarcinoma. A light microscopic and immunohistochemical study of 70 patients.肝胆管囊腺瘤和囊腺癌。对70例患者的光镜和免疫组化研究
Am J Surg Pathol. 1994 Nov;18(11):1078-91.
9
Pancreatic cystadenoma and cystadenocarcinoma.胰腺囊腺瘤和囊腺癌。
Br J Surg. 1984 Jun;71(6):449-51. doi: 10.1002/bjs.1800710614.
10
Cystic neoplasms of the pancreas.胰腺囊性肿瘤
Gastroenterology. 1987 Jun;92(6):1934-43. doi: 10.1016/0016-5085(87)90627-5.

引用本文的文献

1
WFUMB Review Paper. Incidental Findings in Otherwise Healthy Subjects, How to Manage: Liver.世界超声医学与生物学联合会综述论文。健康受试者的偶然发现,如何处理:肝脏
Cancers (Basel). 2024 Aug 21;16(16):2908. doi: 10.3390/cancers16162908.
2
Biliary Cystadenoma with High Dysplasia Detected Incidentally in a Young Patient Admitted for Percutaneous Abscess Drainage.在一名因经皮脓肿引流入院的年轻患者中偶然发现的高度不典型增生性胆管囊腺瘤。
Sisli Etfal Hastan Tip Bul. 2024 Jun 28;58(2):249-253. doi: 10.14744/SEMB.2023.45578. eCollection 2024.
3
Biliary cystadenoma: Case report with MRI findings and surgical confirmation.

本文引用的文献

1
Differentiating Simple Hepatic Cysts from Mucinous Cystic Neoplasms: Radiological Features, Cyst Fluid Tumour Marker Analysis and Multidisciplinary Team Outcomes.鉴别单纯性肝囊肿与黏液性囊性肿瘤:放射学特征、囊液肿瘤标志物分析及多学科团队诊疗结果
Dig Surg. 2017;34(1):36-42. doi: 10.1159/000447308. Epub 2016 Jul 7.
2
CT differentiation of mucin-producing cystic neoplasms of the liver from solitary bile duct cysts.CT 鉴别肝脏黏液性囊腺瘤/囊腺癌与单纯性胆管囊肿。
AJR Am J Roentgenol. 2014 Jan;202(1):83-91. doi: 10.2214/AJR.12.9170.
3
Giant biliary mucinous cystadenoma of the liver.
胆管囊腺瘤:伴有MRI表现及手术证实的病例报告
Radiol Case Rep. 2022 Aug 16;17(10):3974-3978. doi: 10.1016/j.radcr.2022.07.042. eCollection 2022 Oct.
4
Cystic liver lesions: a pictorial review.肝脏囊性病变:影像学综述
Insights Imaging. 2022 Jul 15;13(1):116. doi: 10.1186/s13244-022-01242-3.
5
Intrahepatic Biliary Cystadenoma With Colonic Adenomatous Polyps in a Patient With Chronic Hepatitis B: A Case Report and Literature Review.慢性乙型肝炎患者合并肝内胆管囊腺瘤及结肠腺瘤性息肉:1例报告并文献复习
Front Med (Lausanne). 2021 Dec 16;8:760607. doi: 10.3389/fmed.2021.760607. eCollection 2021.
6
Mucinous cystic neoplasm of the liver mimicking a hydatid cyst.酷似包虫囊肿的肝脏黏液性囊性肿瘤。
Clin Case Rep. 2020 Nov 23;9(1):597-598. doi: 10.1002/ccr3.3575. eCollection 2021 Jan.
7
Cystic biliary tumors of the liver: diagnostic criteria and common pitfalls.肝囊性胆管肿瘤:诊断标准及常见误区。
Hum Pathol. 2021 Jun;112:70-83. doi: 10.1016/j.humpath.2020.12.010. Epub 2020 Dec 28.
8
Mucinous cystic neoplasm of the liver with biliary communication: case report and surgical therapeutic option.肝黏液性囊性肿瘤伴胆沟通:病例报告及手术治疗选择。
BMC Surg. 2020 Dec 11;20(1):328. doi: 10.1186/s12893-020-01003-3.
9
Extrahepatic Mucinous Biliary Cystadenoma: A Case Report.肝外黏液性胆管囊腺瘤:一例报告
Cureus. 2020 Sep 22;12(9):e10581. doi: 10.7759/cureus.10581.
肝巨大胆管黏液囊腺瘤。
Ann Hepatol. 2013 Nov-Dec;12(6):979-83.
4
Cystic neoplasms of the liver: biliary cystadenoma and cystadenocarcinoma.肝脏囊性肿瘤:胆管囊腺瘤和囊腺癌。
J Am Coll Surg. 2014 Jan;218(1):119-28. doi: 10.1016/j.jamcollsurg.2013.08.014. Epub 2013 Sep 14.
5
Evaluation of hepatic cystic lesions.肝脏囊性病变的评估。
World J Gastroenterol. 2013 Jun 21;19(23):3543-54. doi: 10.3748/wjg.v19.i23.3543.
6
Liver transplantation for symptomatic centrohepatic biliary cystadenoma.肝移植治疗症状性肝门部胆管囊腺瘤
Clin Res Hepatol Gastroenterol. 2011 May;35(5):408-13. doi: 10.1016/j.clinre.2011.03.014. Epub 2011 May 6.
7
Mucinous cystic neoplasms of the liver: a clinicopathological study and comparison with intraductal papillary neoplasms of the bile duct.肝黏液性囊性肿瘤:临床病理研究并与胆管内乳头状肿瘤比较。
Mod Pathol. 2011 Aug;24(8):1079-89. doi: 10.1038/modpathol.2011.71. Epub 2011 Apr 22.
8
Cystic lesions of the liver.肝脏囊性病变
AJR Am J Roentgenol. 2011 Apr;196(4):W355-66. doi: 10.2214/AJR.10.5292.
9
Mucinous cystadenomas in liver: management and origin.肝黏液性囊腺瘤:处理和起源。
Dig Surg. 2010;27(1):19-23. doi: 10.1159/000268110. Epub 2010 Apr 1.
10
Laparoscopic fenestration of multiple giant biliary mucinous cystadenomas of the liver.腹腔镜下肝脏多发巨大黏液性胆管囊腺瘤开窗术
World J Gastroenterol. 2008 Jul 14;14(26):4257-9. doi: 10.3748/wjg.14.4257.