Suppr超能文献

肝外黏液性胆管囊腺瘤:一例报告

Extrahepatic Mucinous Biliary Cystadenoma: A Case Report.

作者信息

Bakhurji Bandar R, Basager Shymaa A, Hakami Amani M, Bamashmoos Manar A, Alshammari Manal H

机构信息

Family and Community Medicine, Imam Abdulrahman Bin Faisal University, Dammam, SAU.

出版信息

Cureus. 2020 Sep 22;12(9):e10581. doi: 10.7759/cureus.10581.

Abstract

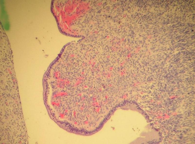
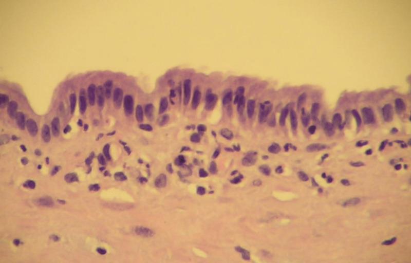
Biliary cysts refer to cystic dilatation in the biliary ductal system that may be congenital or acquired. Extrahepatic biliary cysts constitute less than 10% of biliary cysts. Extrahepatic mucinous cystadenoma represents an extremely rare clinical condition with less than 100 cases reported in the English medical literature. Herein, we report the case of a middle-aged woman who presented with a clinical picture of cholestatic jaundice. Laboratory findings revealed elevated bilirubin and alkaline phosphatase. After a thorough investigation, she was found to have a cystic lesion in the common bile duct near the cystic duction site. The patient underwent exploratory laparotomy, which revealed a 2.0 × 2.0 cm cystic lesion in the common bile duct that is exerting an obstructive effect on the biliary ducts. Complete en-block excision of the cystic lesion was performed with Roux-en-Y hepaticojejunostomy reconstruction. Histopathological examination revealed mucinous biliary cystadenoma. Although very rare, biliary cystadenoma should be kept in mind as a differential diagnosis of cholestatic jaundice particularly in patients with no history of biliary stones or cholecystectomy.

摘要

胆管囊肿是指胆管系统的囊性扩张,可能是先天性的或后天获得的。肝外胆管囊肿占胆管囊肿的比例不到10%。肝外黏液性囊腺瘤是一种极为罕见的临床病症,英文医学文献报道的病例不足100例。在此,我们报告一例中年女性,其临床表现为胆汁淤积性黄疸。实验室检查结果显示胆红素和碱性磷酸酶升高。经过全面检查,发现她在胆囊管开口处附近的胆总管有一个囊性病变。患者接受了剖腹探查术,术中发现胆总管有一个2.0×2.0 cm的囊性病变,对胆管产生阻塞作用。对囊性病变进行了完整的整块切除,并进行了Roux-en-Y肝空肠吻合术重建。组织病理学检查显示为黏液性胆管囊腺瘤。尽管非常罕见,但胆管囊腺瘤应作为胆汁淤积性黄疸的鉴别诊断之一,尤其是在没有胆结石或胆囊切除术病史的患者中。

https://cdn.ncbi.nlm.nih.gov/pmc/blobs/8015/7580493/badd8d9bddf7/cureus-0012-00000010581-i01.jpg

文献检索

告别复杂PubMed语法,用中文像聊天一样搜索,搜遍4000万医学文献。AI智能推荐,让科研检索更轻松。

立即免费搜索

文件翻译

保留排版,准确专业,支持PDF/Word/PPT等文件格式,支持 12+语言互译。

免费翻译文档

深度研究

AI帮你快速写综述,25分钟生成高质量综述,智能提取关键信息,辅助科研写作。

立即免费体验