McArdle Laboratory for Cancer Research, University of Wisconsin-Madison, United States.
Space Science and Engineering Center, University of Wisconsin-Madison, United States.
Mol Metab. 2019 Sep;27:47-61. doi: 10.1016/j.molmet.2019.06.023. Epub 2019 Jul 1.
Elimination of food calories as heat could help redress the excess accumulation of metabolic energy exhibited as obesity. Prior studies have focused on the induction of thermogenesis in beige and brown adipose tissues as the application of this principle, particularly because the β-adrenergic environment associated with thermogenic activation has been shown to have positive health implications. The counterpoint to this strategy is the regulation of heat loss; we propose that mammals with inefficient heat conservation will require more thermogenesis to maintain body temperature.
Surface temperature thermography and rates of trans-epidermal water loss were integrated to profile the total heat transfer of genetically-engineered and genetically variable mice.
These data were incorporated with energy expenditure data to generate a biophysical profile to test the significance of increased rates of evaporative cooling.
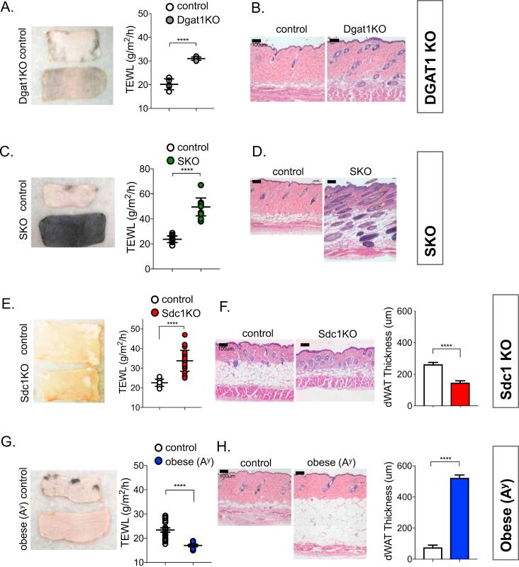
We show that mouse skins vary considerably in their heat retention properties, whether because of naturally occurring variation (SKH-1 mice), or genetic modification of the heat-retaining lipid lamellae (SCD1, DGAT1 or Agouti A obese mice). In particular, we turn attention to widely different rates of evaporative cooling as the result of trans-epidermal water loss; higher rates of heat loss by evaporative cooling leads to increased demand for thermogenesis. We speculate that this physiology could be harnessed to create an energy sink to assist with strategies aimed at treating metabolic diseases.
消除食物热量作为热量可以帮助纠正代谢能量的过度积累,表现为肥胖。先前的研究集中在诱导米色和棕色脂肪组织的产热作为该原理的应用,特别是因为与产热激活相关的β-肾上腺素能环境已被证明对健康有积极影响。这一策略的对立面是热量损失的调节;我们提出,热量保护效率低下的哺乳动物将需要更多的产热来维持体温。
表面温度热成像和经皮水分损失率相结合,对基因工程和基因变异小鼠的总热传递进行了分析。
这些数据与能量消耗数据结合起来,生成了一个生物物理图谱,以测试蒸发冷却率增加的意义。
我们表明,小鼠皮肤在其热量保持特性方面存在很大差异,无论是由于自然发生的变异(SKH-1 小鼠),还是对保持热量的脂质层的基因修饰(SCD1、DGAT1 或肥胖的 Agouti A 小鼠)。特别是,我们关注由于经皮水分损失而导致的不同蒸发冷却速率;通过蒸发冷却损失更多的热量会导致对产热的需求增加。我们推测,这种生理学可以被利用来创造一个能量汇,以帮助治疗代谢疾病的策略。