• 文献检索
  • 文档翻译
  • 深度研究
  • 学术资讯
  • Suppr Zotero 插件Zotero 插件
  • 邀请有礼
  • 套餐&价格
  • 历史记录
应用&插件
Suppr Zotero 插件Zotero 插件浏览器插件Mac 客户端Windows 客户端微信小程序
定价
高级版会员购买积分包购买API积分包
服务
文献检索文档翻译深度研究API 文档MCP 服务
关于我们
关于 Suppr公司介绍联系我们用户协议隐私条款
关注我们

Suppr 超能文献

核心技术专利:CN118964589B侵权必究
粤ICP备2023148730 号-1Suppr @ 2026

文献检索

告别复杂PubMed语法,用中文像聊天一样搜索,搜遍4000万医学文献。AI智能推荐,让科研检索更轻松。

立即免费搜索

文件翻译

保留排版,准确专业,支持PDF/Word/PPT等文件格式,支持 12+语言互译。

免费翻译文档

深度研究

AI帮你快速写综述,25分钟生成高质量综述,智能提取关键信息,辅助科研写作。

立即免费体验

涉及SERCA2b介导的钙循环的不依赖UCP1的信号传导调节米色脂肪产热和全身葡萄糖稳态。

UCP1-independent signaling involving SERCA2b-mediated calcium cycling regulates beige fat thermogenesis and systemic glucose homeostasis.

作者信息

Ikeda Kenji, Kang Qianqian, Yoneshiro Takeshi, Camporez Joao Paulo, Maki Hiroko, Homma Mayu, Shinoda Kosaku, Chen Yong, Lu Xiaodan, Maretich Pema, Tajima Kazuki, Ajuwon Kolapo M, Soga Tomoyoshi, Kajimura Shingo

机构信息

Diabetes Center, University of California, San Francisco, San Francisco, California, USA.

Eli and Edythe Broad Center of Regeneration Medicine and Stem Cell Research, University of California, San Francisco, San Francisco, California, USA.

出版信息

Nat Med. 2017 Dec;23(12):1454-1465. doi: 10.1038/nm.4429. Epub 2017 Nov 13.

DOI:10.1038/nm.4429
PMID:29131158
原文链接:https://pmc.ncbi.nlm.nih.gov/articles/PMC5727902/
Abstract

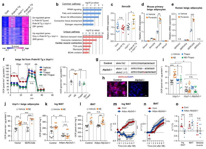
Uncoupling protein 1 (UCP1) plays a central role in nonshivering thermogenesis in brown fat; however, its role in beige fat remains unclear. Here we report a robust UCP1-independent thermogenic mechanism in beige fat that involves enhanced ATP-dependent Ca cycling by sarco/endoplasmic reticulum Ca-ATPase 2b (SERCA2b) and ryanodine receptor 2 (RyR2). Inhibition of SERCA2b impairs UCP1-independent beige fat thermogenesis in humans and mice as well as in pigs, a species that lacks a functional UCP1 protein. Conversely, enhanced Ca cycling by activation of α1- and/or β3-adrenergic receptors or the SERCA2b-RyR2 pathway stimulates UCP1-independent thermogenesis in beige adipocytes. In the absence of UCP1, beige fat dynamically expends glucose through enhanced glycolysis, tricarboxylic acid metabolism and pyruvate dehydrogenase activity for ATP-dependent thermogenesis through the SERCA2b pathway; beige fat thereby functions as a 'glucose sink' and improves glucose tolerance independently of body weight loss. Our study uncovers a noncanonical thermogenic mechanism through which beige fat controls whole-body energy homeostasis via Ca cycling.

摘要

解偶联蛋白1(UCP1)在棕色脂肪的非颤抖性产热中起核心作用;然而,其在米色脂肪中的作用仍不清楚。在此,我们报告了米色脂肪中一种强大的不依赖UCP1的产热机制,该机制涉及通过肌浆/内质网钙-ATP酶2b(SERCA2b)和兰尼碱受体2(RyR2)增强ATP依赖的钙循环。抑制SERCA2b会损害人类、小鼠以及缺乏功能性UCP1蛋白的猪的米色脂肪不依赖UCP1的产热。相反,通过激活α1-和/或β3-肾上腺素能受体或SERCA2b-RyR2途径增强钙循环,可刺激米色脂肪细胞中不依赖UCP1的产热。在缺乏UCP1的情况下,米色脂肪通过增强糖酵解、三羧酸代谢和丙酮酸脱氢酶活性,动态消耗葡萄糖,通过SERCA2b途径进行ATP依赖的产热;米色脂肪因此起到“葡萄糖汇”的作用,独立于体重减轻而改善葡萄糖耐量。我们的研究揭示了一种非经典的产热机制,米色脂肪通过该机制通过钙循环控制全身能量稳态。

https://cdn.ncbi.nlm.nih.gov/pmc/blobs/7371/5727902/590fda7bce8a/nihms908079f6.jpg
https://cdn.ncbi.nlm.nih.gov/pmc/blobs/7371/5727902/858dc7dde953/nihms908079f1.jpg
https://cdn.ncbi.nlm.nih.gov/pmc/blobs/7371/5727902/759f3ddcf8be/nihms908079f2.jpg
https://cdn.ncbi.nlm.nih.gov/pmc/blobs/7371/5727902/f84b529cb271/nihms908079f3.jpg
https://cdn.ncbi.nlm.nih.gov/pmc/blobs/7371/5727902/dffb3c5e511c/nihms908079f4.jpg
https://cdn.ncbi.nlm.nih.gov/pmc/blobs/7371/5727902/75c1a0071452/nihms908079f5.jpg
https://cdn.ncbi.nlm.nih.gov/pmc/blobs/7371/5727902/590fda7bce8a/nihms908079f6.jpg
https://cdn.ncbi.nlm.nih.gov/pmc/blobs/7371/5727902/858dc7dde953/nihms908079f1.jpg
https://cdn.ncbi.nlm.nih.gov/pmc/blobs/7371/5727902/759f3ddcf8be/nihms908079f2.jpg
https://cdn.ncbi.nlm.nih.gov/pmc/blobs/7371/5727902/f84b529cb271/nihms908079f3.jpg
https://cdn.ncbi.nlm.nih.gov/pmc/blobs/7371/5727902/dffb3c5e511c/nihms908079f4.jpg
https://cdn.ncbi.nlm.nih.gov/pmc/blobs/7371/5727902/75c1a0071452/nihms908079f5.jpg
https://cdn.ncbi.nlm.nih.gov/pmc/blobs/7371/5727902/590fda7bce8a/nihms908079f6.jpg

相似文献

1
UCP1-independent signaling involving SERCA2b-mediated calcium cycling regulates beige fat thermogenesis and systemic glucose homeostasis.涉及SERCA2b介导的钙循环的不依赖UCP1的信号传导调节米色脂肪产热和全身葡萄糖稳态。
Nat Med. 2017 Dec;23(12):1454-1465. doi: 10.1038/nm.4429. Epub 2017 Nov 13.
2
SERCA2b Cycles Its Way to UCP1-Independent Thermogenesis in Beige Fat.肌浆网钙 ATP 酶 2b 介导棕色脂肪产热的非解耦联蛋白 1 依赖性途径
Cell Metab. 2018 Jan 9;27(1):7-9. doi: 10.1016/j.cmet.2017.12.015.
3
β-Carotene induces UCP1-independent thermogenesis via ATP-consuming futile cycles in 3T3-L1 white adipocytes.β-胡萝卜素通过3T3-L1白色脂肪细胞中消耗ATP的无效循环诱导不依赖解偶联蛋白1(UCP1)的产热。
Arch Biochem Biophys. 2023 May 1;739:109581. doi: 10.1016/j.abb.2023.109581. Epub 2023 Mar 21.
4
UCP1 Dependent and Independent Thermogenesis in Brown and Beige Adipocytes.UCP1 依赖性和非依赖性棕色和米色脂肪细胞产热。
Front Endocrinol (Lausanne). 2020 Jul 28;11:498. doi: 10.3389/fendo.2020.00498. eCollection 2020.
5
Inducible UCP1 silencing: A lentiviral RNA-interference approach to quantify the contribution of beige fat to energy homeostasis.诱导型 UCP1 沉默:一种慢病毒 RNA 干扰方法,用于量化褐色脂肪对能量平衡的贡献。
PLoS One. 2019 Nov 21;14(11):e0223987. doi: 10.1371/journal.pone.0223987. eCollection 2019.
6
Temperature-Dependent Effects of Eicosapentaenoic Acid (EPA) on Browning of Subcutaneous Adipose Tissue in UCP1 Knockout Male Mice.二十碳五烯酸(EPA)对 UCP1 敲除雄性小鼠皮下脂肪组织棕色化的温度依赖性影响。
Int J Mol Sci. 2023 May 13;24(10):8708. doi: 10.3390/ijms24108708.
7
Prolonged β-adrenergic agonist treatment improves glucose homeostasis in diet-induced obese UCP1 mice.长期β-肾上腺素能激动剂治疗可改善 UCP1 肥胖小鼠的糖代谢稳态。
Am J Physiol Endocrinol Metab. 2021 Mar 1;320(3):E619-E628. doi: 10.1152/ajpendo.00324.2020. Epub 2021 Feb 1.
8
Molecular Regulation of Thermogenic Mechanisms in Beige Adipocytes.米色脂肪细胞产热机制的分子调控。
Int J Mol Sci. 2024 Jun 7;25(12):6303. doi: 10.3390/ijms25126303.
9
Adipose tissue thermogenesis by calcium futile cycling.钙无效循环引起的脂肪组织产热。
J Biochem. 2022 Sep 30;172(4):197-203. doi: 10.1093/jb/mvac055.
10
Overexpression of Adiponectin Receptor 1 Inhibits Brown and Beige Adipose Tissue Activity in Mice.脂联素受体 1 过表达抑制小鼠棕色和米色脂肪组织活性。
Int J Mol Sci. 2021 Jan 18;22(2):906. doi: 10.3390/ijms22020906.

引用本文的文献

1
Adipose Tissue, at the Core of the Action of Incretin and Glucagon-Based Anti-Obesity Drugs.脂肪组织,肠促胰岛素和基于胰高血糖素的抗肥胖药物作用的核心。
Curr Obes Rep. 2025 Sep 2;14(1):67. doi: 10.1007/s13679-025-00660-w.
2
Car4-positive adipocyte progenitor cells adapt to the aging environment and work as protection against ROS via glutathione metabolism.Car4阳性脂肪细胞祖细胞适应衰老环境,并通过谷胱甘肽代谢发挥抗活性氧的保护作用。
Sci Rep. 2025 Aug 29;15(1):31922. doi: 10.1038/s41598-025-17231-7.
3
Bidirectional shifts in Pm20d1 expression impact thermogenesis and metabolism.

本文引用的文献

1
Mitochondrial Patch Clamp of Beige Adipocytes Reveals UCP1-Positive and UCP1-Negative Cells Both Exhibiting Futile Creatine Cycling.米色脂肪细胞的线粒体膜片钳研究揭示UCP1阳性和UCP1阴性细胞均存在无效的肌酸循环。
Cell Metab. 2017 Apr 4;25(4):811-822.e4. doi: 10.1016/j.cmet.2017.03.002.
2
Meta- and Orthogonal Integration of Influenza "OMICs" Data Defines a Role for UBR4 in Virus Budding.流感“组学”数据的元整合与正交整合确定了UBR4在病毒出芽中的作用。
Cell Host Microbe. 2015 Dec 9;18(6):723-35. doi: 10.1016/j.chom.2015.11.002.
3
Phosphoproteomics Identifies CK2 as a Negative Regulator of Beige Adipocyte Thermogenesis and Energy Expenditure.
Pm20d1表达的双向变化影响产热和新陈代谢。
Mol Med. 2025 Aug 28;31(1):283. doi: 10.1186/s10020-025-01345-9.
4
The Influence of Irisin on Selected Organs-The Liver, Kidneys, and Lungs: The Role of Physical Exercise.鸢尾素对特定器官——肝脏、肾脏和肺的影响:体育锻炼的作用
Cells. 2025 Aug 8;14(16):1228. doi: 10.3390/cells14161228.
5
The impact of dietary factors on the function of brown and beige adipose tissues-implications on health and disease.饮食因素对棕色和米色脂肪组织功能的影响——对健康和疾病的启示
Front Nutr. 2025 Aug 4;12:1626068. doi: 10.3389/fnut.2025.1626068. eCollection 2025.
6
analysis of promoters predicts conserved and human specific regulators of adipocyte thermogenesis.启动子分析预测脂肪细胞产热的保守及人类特异性调节因子。
iScience. 2025 Jun 21;28(7):112969. doi: 10.1016/j.isci.2025.112969. eCollection 2025 Jul 18.
7
Nutritional Influences on Brown and Beige Adipocyte: Unraveling the Molecular Mechanisms and Metabolic Implications.营养对棕色和米色脂肪细胞的影响:揭示分子机制及代谢意义
Food Sci Nutr. 2025 Jul 15;13(7):e70613. doi: 10.1002/fsn3.70613. eCollection 2025 Jul.
8
Emerging Insights into Brown Adipose Tissue Crosstalk With Pancreatic β-Cells in Metabolic Regulation.棕色脂肪组织与胰腺β细胞在代谢调节中的相互作用的新见解
Endocrinology. 2025 Jul 8;166(9). doi: 10.1210/endocr/bqaf118.
9
Thermogenic Adipose ADH5 Counteracts Age-related Metabolic Decline.产热脂肪中的ADH5可对抗与年龄相关的代谢衰退。
bioRxiv. 2025 Jul 4:2025.07.01.662628. doi: 10.1101/2025.07.01.662628.
10
An epigenome atlas of mouse adipocytes.小鼠脂肪细胞的表观基因组图谱。
Mol Metab. 2025 Jun 27;99:102197. doi: 10.1016/j.molmet.2025.102197.
磷酸化蛋白质组学鉴定CK2为米色脂肪细胞产热和能量消耗的负调节因子。
Cell Metab. 2015 Dec 1;22(6):997-1008. doi: 10.1016/j.cmet.2015.09.029. Epub 2015 Nov 8.
4
A creatine-driven substrate cycle enhances energy expenditure and thermogenesis in beige fat.肌酸驱动的底物循环增强米色脂肪中的能量消耗和产热作用。
Cell. 2015 Oct 22;163(3):643-55. doi: 10.1016/j.cell.2015.09.035.
5
Brown and Beige Fat: Physiological Roles beyond Heat Generation.棕色脂肪和米色脂肪:产热之外的生理作用
Cell Metab. 2015 Oct 6;22(4):546-59. doi: 10.1016/j.cmet.2015.09.007.
6
Calcium release channel RyR2 regulates insulin release and glucose homeostasis.钙释放通道兰尼碱受体2(RyR2)调节胰岛素释放和葡萄糖稳态。
J Clin Invest. 2015 May;125(5):1968-78. doi: 10.1172/JCI79273. Epub 2015 Apr 6.
7
Uncoupling Protein 1 and Sarcolipin Are Required to Maintain Optimal Thermogenesis, and Loss of Both Systems Compromises Survival of Mice under Cold Stress.解偶联蛋白1和肌脂蛋白是维持最佳产热所必需的,两个系统的缺失会损害小鼠在冷应激下的生存能力。
J Biol Chem. 2015 May 8;290(19):12282-9. doi: 10.1074/jbc.M115.637603. Epub 2015 Mar 30.
8
Genetic and functional characterization of clonally derived adult human brown adipocytes.克隆衍生的成人人类棕色脂肪细胞的遗传与功能特征分析
Nat Med. 2015 Apr;21(4):389-94. doi: 10.1038/nm.3819. Epub 2015 Mar 16.
9
Myocardin-related transcription factor A regulates conversion of progenitors to beige adipocytes.心肌相关转录因子A调控祖细胞向米色脂肪细胞的转化。
Cell. 2015 Jan 15;160(1-2):105-18. doi: 10.1016/j.cell.2014.12.005. Epub 2015 Jan 8.
10
Chronic enrichment of hepatic endoplasmic reticulum-mitochondria contact leads to mitochondrial dysfunction in obesity.肝脏内质网与线粒体接触的长期富集导致肥胖中的线粒体功能障碍。
Nat Med. 2014 Dec;20(12):1427-35. doi: 10.1038/nm.3735. Epub 2014 Nov 24.