• 文献检索
  • 文档翻译
  • 深度研究
  • 学术资讯
  • Suppr Zotero 插件Zotero 插件
  • 邀请有礼
  • 套餐&价格
  • 历史记录
应用&插件
Suppr Zotero 插件Zotero 插件浏览器插件Mac 客户端Windows 客户端微信小程序
定价
高级版会员购买积分包购买API积分包
服务
文献检索文档翻译深度研究API 文档MCP 服务
关于我们
关于 Suppr公司介绍联系我们用户协议隐私条款
关注我们

Suppr 超能文献

核心技术专利:CN118964589B侵权必究
粤ICP备2023148730 号-1Suppr @ 2026

文献检索

告别复杂PubMed语法,用中文像聊天一样搜索,搜遍4000万医学文献。AI智能推荐,让科研检索更轻松。

立即免费搜索

文件翻译

保留排版,准确专业,支持PDF/Word/PPT等文件格式,支持 12+语言互译。

免费翻译文档

深度研究

AI帮你快速写综述,25分钟生成高质量综述,智能提取关键信息,辅助科研写作。

立即免费体验

犬肩部跛行:超声检查、征候及血液生化检查结果相关性的初步调查

Shoulder Lameness in Dogs: Preliminary Investigation on Ultrasonography, Signalment and Hemato-Biochemical Findings Correlation.

作者信息

Grassato Lisa, Drudi Dario, Pinna Stefania, Valentini Simona, Diana Alessia, Spinella Giuseppe

机构信息

Department of Veterinary Medical Sciences, University of Bologna, Bologna, Italy.

Clinica Veterinaria Nervianese, Nerviano, Italy.

出版信息

Front Vet Sci. 2019 Jul 9;6:229. doi: 10.3389/fvets.2019.00229. eCollection 2019.

DOI:10.3389/fvets.2019.00229
PMID:31338372
原文链接:https://pmc.ncbi.nlm.nih.gov/articles/PMC6629763/
Abstract

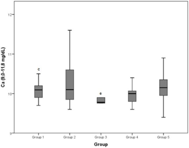
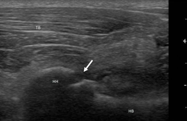
Forelimb lameness in medium and large breed dogs is frequently caused by traumatic or degenerative injuries of the shoulder. Patient history, physical examination, x-rays, blood, and chemical work are routinely used to achieve diagnosis, and may be associated with ultrasonography or magnetic resonance imaging. Ultrasonography is increasingly popular in small animal practice due to its low cost, ease of repetition, and the fact that it is non-invasive and can be performed in conscious patients. It is also widely accepted that muscular stress or injuries can induce detectable variations in blood and chemical work. The aim of this preliminary study is to search for correlation between measurements of selected hematobiochemical parameters and ultrasound diagnosis in dogs affected by shoulder injuries. A retrospective study was conducted on orthopedic clinical records of dogs presented to our Veterinary Teaching Hospital for lameness caused by shoulder problems over a period of 5 years. Dogs with both hematobiochemical and ultrasound examinations were selected. Patients were classified into 5 groups according to ultrasound diagnosis: (1) mild/moderate tendinopathy, (2) severe tendinopathy, (3) articular damage, (4) chronic myopathy, and (5) neoplastic injury. Statistical analysis was performed to detect possible correlations between group and hematobiochemical parameters. Forty-four dogs met the inclusion criteria and forty-nine shoulders were diagnosed as injured. Significant differences were found between the age, sex, body weight, neutrophil count, and AST levels. In particular, statistically significant increases were found for neutrophil count and AST concentration in case of ultrasonographically diagnosed severe tendinopathy, articular damage, and neoplastic pathology. Further and wider studies are suggested to determine whether these biomarkers can become a useful diagnostic aid.

摘要

中大型犬的前肢跛行通常由肩部的创伤性或退行性损伤引起。患者病史、体格检查、X光、血液和化学检查通常用于进行诊断,可能还会结合超声检查或磁共振成像。超声检查因其成本低、易于重复,且具有非侵入性且可在清醒患者身上进行的特点,在小动物临床实践中越来越受欢迎。人们也普遍认为,肌肉压力或损伤会在血液和化学检查中引起可检测到的变化。这项初步研究的目的是寻找受肩部损伤影响的犬只中选定血液生化参数测量值与超声诊断之间的相关性。对在5年期间因肩部问题导致跛行而被送到我们兽医教学医院的犬只的骨科临床记录进行了回顾性研究。选择了同时进行了血液生化和超声检查的犬只。根据超声诊断将患者分为5组:(1) 轻度/中度肌腱病,(2) 重度肌腱病,(3) 关节损伤,(4) 慢性肌病,(5) 肿瘤性损伤。进行了统计分析以检测组与血液生化参数之间可能的相关性。44只犬符合纳入标准,49个肩部被诊断为受伤。在年龄、性别、体重、中性粒细胞计数和AST水平之间发现了显著差异。特别是,在超声诊断为重度肌腱病、关节损伤和肿瘤性病变的情况下,中性粒细胞计数和AST浓度在统计学上有显著升高。建议进行进一步更广泛的研究,以确定这些生物标志物是否可以成为有用的诊断辅助手段。

https://cdn.ncbi.nlm.nih.gov/pmc/blobs/82ff/6629763/60a325142fcc/fvets-06-00229-g0008.jpg
https://cdn.ncbi.nlm.nih.gov/pmc/blobs/82ff/6629763/be023beb3728/fvets-06-00229-g0001.jpg
https://cdn.ncbi.nlm.nih.gov/pmc/blobs/82ff/6629763/6aca1bd421a3/fvets-06-00229-g0002.jpg
https://cdn.ncbi.nlm.nih.gov/pmc/blobs/82ff/6629763/9664ae5cd496/fvets-06-00229-g0003.jpg
https://cdn.ncbi.nlm.nih.gov/pmc/blobs/82ff/6629763/4ae5402f9315/fvets-06-00229-g0004.jpg
https://cdn.ncbi.nlm.nih.gov/pmc/blobs/82ff/6629763/da4fa0c6d9d8/fvets-06-00229-g0005.jpg
https://cdn.ncbi.nlm.nih.gov/pmc/blobs/82ff/6629763/589d6ed76f88/fvets-06-00229-g0006.jpg
https://cdn.ncbi.nlm.nih.gov/pmc/blobs/82ff/6629763/2c08e76fa212/fvets-06-00229-g0007.jpg
https://cdn.ncbi.nlm.nih.gov/pmc/blobs/82ff/6629763/60a325142fcc/fvets-06-00229-g0008.jpg
https://cdn.ncbi.nlm.nih.gov/pmc/blobs/82ff/6629763/be023beb3728/fvets-06-00229-g0001.jpg
https://cdn.ncbi.nlm.nih.gov/pmc/blobs/82ff/6629763/6aca1bd421a3/fvets-06-00229-g0002.jpg
https://cdn.ncbi.nlm.nih.gov/pmc/blobs/82ff/6629763/9664ae5cd496/fvets-06-00229-g0003.jpg
https://cdn.ncbi.nlm.nih.gov/pmc/blobs/82ff/6629763/4ae5402f9315/fvets-06-00229-g0004.jpg
https://cdn.ncbi.nlm.nih.gov/pmc/blobs/82ff/6629763/da4fa0c6d9d8/fvets-06-00229-g0005.jpg
https://cdn.ncbi.nlm.nih.gov/pmc/blobs/82ff/6629763/589d6ed76f88/fvets-06-00229-g0006.jpg
https://cdn.ncbi.nlm.nih.gov/pmc/blobs/82ff/6629763/2c08e76fa212/fvets-06-00229-g0007.jpg
https://cdn.ncbi.nlm.nih.gov/pmc/blobs/82ff/6629763/60a325142fcc/fvets-06-00229-g0008.jpg

相似文献

1
Shoulder Lameness in Dogs: Preliminary Investigation on Ultrasonography, Signalment and Hemato-Biochemical Findings Correlation.犬肩部跛行:超声检查、征候及血液生化检查结果相关性的初步调查
Front Vet Sci. 2019 Jul 9;6:229. doi: 10.3389/fvets.2019.00229. eCollection 2019.
2
Prospective evaluation of techniques for differentiating shoulder pathology as a source of forelimb lameness in medium and large breed dogs.对中大型犬前肢跛行的肩部病理作为病因的鉴别技术的前瞻性评估。
Vet Surg. 2008 Feb;37(2):132-41. doi: 10.1111/j.1532-950X.2007.00364.x.
3
Adhesive Capsulitis in Eight Dogs: Diagnosis and Management.八例犬黏连性囊炎:诊断与治疗。
Front Vet Sci. 2016 Jul 14;3:55. doi: 10.3389/fvets.2016.00055. eCollection 2016.
4
Surgical treatment of mineralized and nonmineralized supraspinatus tendinopathy in twenty-four dogs.24只犬矿化和非矿化冈上肌腱病的手术治疗
Vet Surg. 2009 Apr;38(3):380-7. doi: 10.1111/j.1532-950X.2009.00512.x.
5
Ultrasonographic findings of shoulder teno-muscular structures in symptomatic and asymptomatic dogs.有症状和无症状犬肩部肌腱肌肉结构的超声检查结果
J Ultrasound. 2018 Jun;21(2):145-152. doi: 10.1007/s40477-017-0271-4. Epub 2017 Nov 14.
6
Lameness in 46 horses associated with deep digital flexor tendonitis in the digit: diagnosis confirmed with magnetic resonance imaging.46匹马出现与指部深层屈肌腱炎相关的跛行:磁共振成像确诊
Equine Vet J. 2003 Nov;35(7):681-90. doi: 10.2746/042516403775696294.
7
Comparison between shoulder computed tomography and clinical findings in 89 dogs presented for thoracic limb lameness.89只因胸肢跛行就诊的犬只肩部计算机断层扫描与临床检查结果的比较。
Vet Radiol Ultrasound. 2013 Jul-Aug;54(4):358-364. doi: 10.1111/vru.12043. Epub 2013 Apr 18.
8
Diagnosis of shoulder instability in dogs and cats: a retrospective study.犬猫肩关节不稳定的诊断:一项回顾性研究。
J Am Anim Hosp Assoc. 1998 Jan-Feb;34(1):42-54. doi: 10.5326/15473317-34-1-42.
9
Diagnosis and treatment of hind limb muscle strain injuries in 22 dogs.22只犬后肢肌肉拉伤的诊断与治疗
Vet Comp Orthop Traumatol. 2005;18(4):247-53.
10
Supraspinatus tendinosis associated with biceps brachii tendon displacement in a dog.一只犬的冈上肌腱病伴肱二头肌肌腱移位
J Am Vet Med Assoc. 2005 Nov 1;227(9):1429-33, 1416. doi: 10.2460/javma.2005.227.1429.

引用本文的文献

1
Animal model for tendinopathy.肌腱病动物模型
J Orthop Translat. 2023 Aug 14;42:43-56. doi: 10.1016/j.jot.2023.06.005. eCollection 2023 Sep.
2
Use of acoustic myography to evaluate forelimb muscle function in retriever dogs carrying different mouth weights.使用肌声描记法评估携带不同口负重的寻回犬前肢肌肉功能。
Front Vet Sci. 2022 Nov 16;9:983386. doi: 10.3389/fvets.2022.983386. eCollection 2022.
3
Case study: Treating infraspinatus and supraspinatus trigger points and supraspinatus tendinopathy utilizing piezoelectric shockwave.

本文引用的文献

1
An Evidence-Based Approach for Choosing Post-exercise Recovery Techniques to Reduce Markers of Muscle Damage, Soreness, Fatigue, and Inflammation: A Systematic Review With Meta-Analysis.一种基于证据的选择运动后恢复技术以减少肌肉损伤、酸痛、疲劳和炎症标志物的方法:一项系统评价与荟萃分析
Front Physiol. 2018 Apr 26;9:403. doi: 10.3389/fphys.2018.00403. eCollection 2018.
2
Ultrasonographic findings of shoulder teno-muscular structures in symptomatic and asymptomatic dogs.有症状和无症状犬肩部肌腱肌肉结构的超声检查结果
J Ultrasound. 2018 Jun;21(2):145-152. doi: 10.1007/s40477-017-0271-4. Epub 2017 Nov 14.
3
Whole-Body Vibration Exercise on Hematology and Serum Biochemistry in Healthy Dogs.
案例研究:利用压电冲击波治疗冈下肌和冈上肌触发点及冈上肌腱病。
Front Vet Sci. 2022 Oct 26;9:943276. doi: 10.3389/fvets.2022.943276. eCollection 2022.
4
Military Working Dogs Operating in Afghanistan Theater: Comparison between Pre- and Post-Mission Blood Analyses to Monitor Physical Fitness and Training.在阿富汗战区执行任务的军犬:任务前后血液分析对比以监测体能和训练情况
Animals (Basel). 2022 Mar 1;12(5):617. doi: 10.3390/ani12050617.
全身振动运动对健康犬血液学和血清生化指标的影响
Top Companion Anim Med. 2017 Jun;32(2):86-90. doi: 10.1053/j.tcam.2017.07.006. Epub 2017 Jul 29.
4
Measurement of Creatine kinase and Aspartate aminotransferase in saliva of dogs: a pilot study.犬唾液中肌酸激酶和天冬氨酸转氨酶的测定:一项初步研究。
BMC Vet Res. 2017 Jun 9;13(1):168. doi: 10.1186/s12917-017-1080-x.
5
Muscle damage and inflammation during recovery from exercise.运动恢复过程中的肌肉损伤与炎症。
J Appl Physiol (1985). 2017 Mar 1;122(3):559-570. doi: 10.1152/japplphysiol.00971.2016. Epub 2016 Dec 29.
6
Ultrasound Imaging of the Musculoskeletal System.肌肉骨骼系统的超声成像
Vet Clin North Am Small Anim Pract. 2016 May;46(3):355-71, v. doi: 10.1016/j.cvsm.2015.12.001. Epub 2016 Feb 2.
7
Effect of exercise on serum markers of muscle inflammation in Spanish Greyhounds.运动对西班牙灵缇犬肌肉炎症血清标志物的影响。
Am J Vet Res. 2015 Jul;76(7):637-43. doi: 10.2460/ajvr.76.7.637.
8
Diagnostic sensitivity of radiography, ultrasonography, and magnetic resonance imaging for detecting shoulder osteochondrosis/osteochondritis dissecans in dogs.X线摄影、超声检查和磁共振成像对检测犬肩关节骨软骨病/剥脱性骨软骨炎的诊断敏感性
Vet Radiol Ultrasound. 2015 Jan-Feb;56(1):3-11. doi: 10.1111/vru.12179. Epub 2014 May 21.
9
Cross-sectional area and mean echogenicity of shoulder and elbow tendons in adult German Shepherd dogs.成年德国牧羊犬肩部和肘部肌腱的横截面积及平均回声性
Vet Comp Orthop Traumatol. 2013;26(5):366-71. doi: 10.3415/VCOT-12-11-0144. Epub 2013 Jun 26.
10
Comparison between cold water immersion therapy (CWIT) and light emitting diode therapy (LEDT) in short-term skeletal muscle recovery after high-intensity exercise in athletes--preliminary results.冷水浸泡疗法(CWIT)与发光二极管疗法(LEDT)对运动员高强度运动后短期骨骼肌恢复效果的比较——初步结果
Lasers Med Sci. 2011 Jul;26(4):493-501. doi: 10.1007/s10103-010-0866-x. Epub 2010 Nov 19.