Suppr超能文献

巨噬细胞移动抑制因子促进肿瘤、巨噬细胞和 T 细胞的相互作用,调节化学诱导的结肠炎相关结直肠癌的进展。

Macrophage Migration Inhibitory Factor Promotes the Interaction between the Tumor, Macrophages, and T Cells to Regulate the Progression of Chemically Induced Colitis-Associated Colorectal Cancer.

机构信息

Biomedicine Unit, Facultad de Estudios Superiores Iztacala, Universidad Nacional Autónoma de México (UNAM), Tlalnepantla C.P. 54090, Mexico.

Experimental Pathology Section, National Institute of Medical Sciences and Nutrition "Salvador Zubirán", Tlalpan, C.P. 14000 Mexico city, Mexico.

出版信息

Mediators Inflamm. 2019 Jul 10;2019:2056085. doi: 10.1155/2019/2056085. eCollection 2019.

Abstract

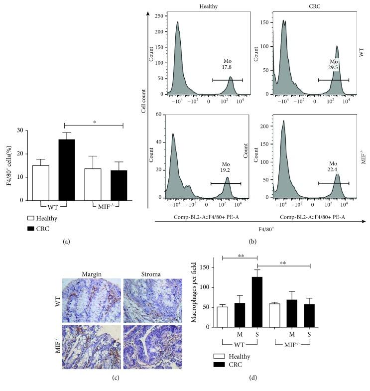
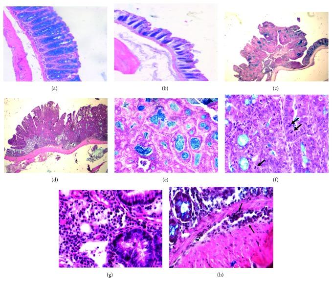
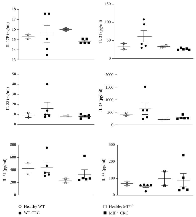
Colitis-associated colorectal cancer (CRC) development has been shown to be related to chronically enhanced inflammation. Macrophage migration inhibitory factor (MIF) is an inflammatory mediator that favors inflammatory cytokine production and has chemotactic properties for the recruitment of macrophages (Møs) and T cells. Here, we investigated the role of MIF in the inflammatory response and recruitment of immune cells in a murine model of chemical carcinogenesis to establish the impact of MIF on CRC genesis and malignancy. We used BALB/c MIF-knockout (MIF) and wild-type (WT) mice to develop CRC by administering intraperitoneal (i.p.) azoxymethane and dextran sodium sulfate in drinking water. Greater tumor burdens were observed in MIF mice than in WT mice. Tumors from MIF mice were histologically identified to be more aggressive than tumors from WT mice. The localization of MIF suggests that it is also involved in cell differentiation. The relative gene expression of , measured by real-time PCR, was higher in MIF CRC mice, compared to the WT CRC and healthy MIF mice. Importantly, compared to the WT intestinal epithelium, lower percentages of tumor-associated Møs were found in the MIF intestinal epithelium. These results suggest that MIF plays a role in controlling the initial development of CRC by attracting Møs to the tumor, which is a condition that favors the initial antitumor responses.

摘要

结肠炎相关结直肠癌(CRC)的发生与慢性炎症增强有关。巨噬细胞移动抑制因子(MIF)是一种炎症介质,有利于炎症细胞因子的产生,并具有招募巨噬细胞(Møs)和 T 细胞的趋化特性。在这里,我们研究了 MIF 在化学致癌发生的小鼠模型中的炎症反应和免疫细胞募集中的作用,以确定 MIF 对 CRC 发生和恶性程度的影响。我们使用 BALB/c MIF 敲除(MIF)和野生型(WT)小鼠通过腹腔内(i.p.)给予氧化偶氮甲烷和葡聚糖硫酸钠在饮用水中发展 CRC。在 MIF 小鼠中观察到更大的肿瘤负担比在 WT 小鼠中观察到的更大。MIF 小鼠的肿瘤在组织学上被鉴定为比 WT 小鼠的肿瘤更具侵袭性。通过实时 PCR 测量的相对基因表达在 MIF CRC 小鼠中高于 WT CRC 和健康 MIF 小鼠。重要的是,与 WT 肠上皮相比,在 MIF 肠上皮中发现肿瘤相关 Møs 的百分比较低。这些结果表明,MIF 通过吸引 Møs 到肿瘤中,在控制 CRC 的初始发展中发挥作用,这有利于初始的抗肿瘤反应。

https://cdn.ncbi.nlm.nih.gov/pmc/blobs/5e0a/6652048/205957bad062/MI2019-2056085.001.jpg

文献检索

告别复杂PubMed语法,用中文像聊天一样搜索,搜遍4000万医学文献。AI智能推荐,让科研检索更轻松。

立即免费搜索

文件翻译

保留排版,准确专业,支持PDF/Word/PPT等文件格式,支持 12+语言互译。

免费翻译文档

深度研究

AI帮你快速写综述,25分钟生成高质量综述,智能提取关键信息,辅助科研写作。

立即免费体验