• 文献检索
  • 文档翻译
  • 深度研究
  • 学术资讯
  • Suppr Zotero 插件Zotero 插件
  • 邀请有礼
  • 套餐&价格
  • 历史记录
应用&插件
Suppr Zotero 插件Zotero 插件浏览器插件Mac 客户端Windows 客户端微信小程序
定价
高级版会员购买积分包购买API积分包
服务
文献检索文档翻译深度研究API 文档MCP 服务
关于我们
关于 Suppr公司介绍联系我们用户协议隐私条款
关注我们

Suppr 超能文献

核心技术专利:CN118964589B侵权必究
粤ICP备2023148730 号-1Suppr @ 2026

文献检索

告别复杂PubMed语法,用中文像聊天一样搜索,搜遍4000万医学文献。AI智能推荐,让科研检索更轻松。

立即免费搜索

文件翻译

保留排版,准确专业,支持PDF/Word/PPT等文件格式,支持 12+语言互译。

免费翻译文档

深度研究

AI帮你快速写综述,25分钟生成高质量综述,智能提取关键信息,辅助科研写作。

立即免费体验

毛囊黏蛋白沉积症:一例报告

Follicular Mucinosis: A Case Report.

作者信息

Akinsanya Adeyinka O, Tschen Jaime A

机构信息

Pathology, St. Joseph Dermatopathology, Houston, USA.

Dermatology, St. Joseph Dermatopathology, Houston, USA.

出版信息

Cureus. 2019 May 24;11(5):e4746. doi: 10.7759/cureus.4746.

DOI:10.7759/cureus.4746
PMID:31363428
原文链接:https://pmc.ncbi.nlm.nih.gov/articles/PMC6663277/
Abstract

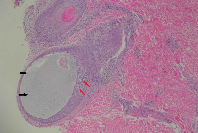
Follicular mucinosis (FM) is a rare disorder of the skin characterized by follicular degeneration due to the accumulation of mucin within the pilosebaceous unit, with associated inflammatory changes. We report a case of an 11-year-old female with widespread lesions showing distinct clinical and histological features of FM with a brief review of the literature.

摘要

毛囊黏蛋白沉积症(FM)是一种罕见的皮肤疾病,其特征为由于黏蛋白在毛囊皮脂腺单位内积聚导致毛囊变性,并伴有相关炎症变化。我们报告一例11岁女性患者,其广泛病变表现出FM独特的临床和组织学特征,并对文献进行简要回顾。

https://cdn.ncbi.nlm.nih.gov/pmc/blobs/f9dc/6663277/bb8caba1e10f/cureus-0011-00000004746-i05.jpg
https://cdn.ncbi.nlm.nih.gov/pmc/blobs/f9dc/6663277/4273176a1ad9/cureus-0011-00000004746-i01.jpg
https://cdn.ncbi.nlm.nih.gov/pmc/blobs/f9dc/6663277/7519c5a609e8/cureus-0011-00000004746-i02.jpg
https://cdn.ncbi.nlm.nih.gov/pmc/blobs/f9dc/6663277/dbfa7de5b37c/cureus-0011-00000004746-i03.jpg
https://cdn.ncbi.nlm.nih.gov/pmc/blobs/f9dc/6663277/4a5c16838a49/cureus-0011-00000004746-i04.jpg
https://cdn.ncbi.nlm.nih.gov/pmc/blobs/f9dc/6663277/bb8caba1e10f/cureus-0011-00000004746-i05.jpg
https://cdn.ncbi.nlm.nih.gov/pmc/blobs/f9dc/6663277/4273176a1ad9/cureus-0011-00000004746-i01.jpg
https://cdn.ncbi.nlm.nih.gov/pmc/blobs/f9dc/6663277/7519c5a609e8/cureus-0011-00000004746-i02.jpg
https://cdn.ncbi.nlm.nih.gov/pmc/blobs/f9dc/6663277/dbfa7de5b37c/cureus-0011-00000004746-i03.jpg
https://cdn.ncbi.nlm.nih.gov/pmc/blobs/f9dc/6663277/4a5c16838a49/cureus-0011-00000004746-i04.jpg
https://cdn.ncbi.nlm.nih.gov/pmc/blobs/f9dc/6663277/bb8caba1e10f/cureus-0011-00000004746-i05.jpg

相似文献

1
Follicular Mucinosis: A Case Report.毛囊黏蛋白沉积症:一例报告
Cureus. 2019 May 24;11(5):e4746. doi: 10.7759/cureus.4746.
2
Follicular mucinosis - case report.毛囊黏蛋白沉积症——病例报告。
An Bras Dermatol. 2014 Mar-Apr;89(2):337-9. doi: 10.1590/abd1806-4841.20142968.
3
Alopecia mucinosa is mycosis fungoides.
Am J Dermatopathol. 2004 Feb;26(1):33-52. doi: 10.1097/00000372-200402000-00006.
4
[Generalized follicular mucinosis].
Hautarzt. 1990 Nov;41(11):625-7.
5
Follicular mucinosis. A reaction pattern in follicular epithelium.
Am J Dermatopathol. 1985 Jun;7(3):245-57.
6
Follicular mucinosis and follicular mycosis fungoides: clinicopathological evaluation of seven cases.毛囊黏蛋白病和毛囊蕈样肉芽肿:7例临床病理评估
Turk Patoloji Derg. 2013;29(2):108-16. doi: 10.5146/tjpath.2013.01160.
7
Follicular mucinosis.毛囊黏蛋白病
Indian Dermatol Online J. 2013 Oct;4(4):333-5. doi: 10.4103/2229-5178.120667.
8
Follicular mucinosis: histopathologic review of 33 cases.
Mayo Clin Proc. 1991 Apr;66(4):387-90. doi: 10.1016/s0025-6196(12)60662-4.
9
[Alopecia mucinosa].
Actas Dermosifiliogr. 2006 Oct;97(8):514-7. doi: 10.1016/s0001-7310(06)73453-6.
10
Mycosis fungoides with follicular mucinosis displaying aggressive tumor-stage transformation : successful treatment using radiation therapy plus oral bexarotene combination therapy.
Am J Clin Dermatol. 2003;4(6):429-33. doi: 10.2165/00128071-200304060-00006.

引用本文的文献

1
Folliculosebaceous Cystic Hamartoma With Unusual Mucinosis: A Report of a Rare Case.伴有罕见黏液变性的毛囊皮脂腺囊性错构瘤:1例罕见病例报告
Cureus. 2025 May 9;17(5):e83792. doi: 10.7759/cureus.83792. eCollection 2025 May.
2
Use of Hydroxychloroquine in Hair Disorders.羟氯喹在毛发疾病中的应用。
Skin Appendage Disord. 2023 Dec;9(6):416-422. doi: 10.1159/000533583. Epub 2023 Sep 19.
3
An atypical case of eosinophilic pustular folliculitis with associated secondary follicular mucinosis treated with indomethacin.一例非典型嗜酸性脓疱性毛囊炎伴继发性毛囊黏蛋白病,采用吲哚美辛治疗。

本文引用的文献

1
Follicular mucinosis - case report.毛囊黏蛋白沉积症——病例报告。
An Bras Dermatol. 2014 Mar-Apr;89(2):337-9. doi: 10.1590/abd1806-4841.20142968.
2
Follicular mucinosis and mycosis-fungoides-like drug eruption due to leuprolide acetate: a case report and review.
J Cutan Pathol. 2012 Nov;39(11):1022-5. doi: 10.1111/j.1600-0560.2012.01980.x. Epub 2012 Aug 10.
3
Clinical and histopathologic spectrum of alopecia mucinosa/follicular mucinosis and its natural history in children.儿童多发性黏蛋白性脱发/滤泡性黏蛋白病的临床和组织病理学谱及其自然病史。
JAAD Case Rep. 2023 Jan 27;34:86-89. doi: 10.1016/j.jdcr.2022.12.022. eCollection 2023 Apr.
4
Case of follicular mucinosis showing brownish yellow and red dots via dermoscopy.通过皮肤镜检查显示棕黄色和红色斑点的毛囊黏蛋白病病例。
Clin Case Rep. 2022 May 16;10(5):e05815. doi: 10.1002/ccr3.5815. eCollection 2022 May.
J Am Acad Dermatol. 2012 Dec;67(6):1174-81. doi: 10.1016/j.jaad.2012.04.015. Epub 2012 May 10.
4
Follicular mucinosis: a clinicopathologic, histochemical, immunohistochemical and molecular study comparing the primary benign form and the mycosis fungoides-associated follicular mucinosis.
J Cutan Pathol. 2010 Jan;37(1):15-9. doi: 10.1111/j.1600-0560.2009.01338.x. Epub 2009 Jul 13.
5
Follicular mucinosis associated with mycosis fungoides.
Dermatol Online J. 2004 Nov 30;10(3):22.
6
Follicular mucinosis in a 4-year-old boy.
Int J Dermatol. 2004 Dec;43(12):950-2. doi: 10.1111/j.1365-4632.2004.01954.x.
7
Follicular mucinosis (alopecia mucinosa).
Arch Dermatol. 1962 Apr;85:490-8. doi: 10.1001/archderm.1962.01590040054007.
8
[Mucinosis follicularis].
Hautarzt. 1959 Jan;10:27-33.
9
Primary follicular mucinosis: long-term follow-up of patients younger than 40 years with and without clonal T-cell receptor gene rearrangement.
J Am Acad Dermatol. 2002 Dec;47(6):856-62. doi: 10.1067/mjd.2002.124604.
10
Follicular mucinosis: a critical reappraisal of clinicopathologic features and association with mycosis fungoides and Sézary syndrome.毛囊黏蛋白病:对临床病理特征及与蕈样肉芽肿和塞扎里综合征相关性的批判性重新评估
Arch Dermatol. 2002 Feb;138(2):182-9. doi: 10.1001/archderm.138.2.182.