Suppr超能文献

免疫功能正常宿主心脏曲霉菌瘤的罕见表现:病例报告及文献综述

A Rare Presentation of Cardiac Aspergilloma in an Immunocompetent Host: Case Report and Literature Review.

作者信息

Pervaiz Abdullah M, Bangash Salman A, Akhtar Raheel, Wahab Zain, Bangash Hyder

机构信息

Internal Medicine, University of Massachusetts Medical School - Baystate Medical Center, Springfield, USA.

Internal Medicine, Doctors Hospital / University of Texas Rio Grande Valley, Edinburg, USA.

出版信息

Cureus. 2019 May 30;11(5):e4784. doi: 10.7759/cureus.4784.

Abstract

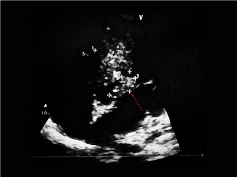
Cardiac aspergilloma is exceptionally rare with only a handful of cases reported and majority of them being in immunocompromised patients. Here, we present a case of cardiac aspergilloma involving the right and left ventricle in an immunocompetent patient that initially presented with acute limb ischemia. He was later found to have a cardiac mass with histopathological diagnosis confirming Aspergillus species. Despite aggressive medical and surgical interventions, the patient had an unfavorable outcome due to low suspicion of invasive fungal endocarditis given his immunocompetent status. Cardiac aspergilloma should remain in the differential diagnosis of immunocompetent patients as early clinical suspicion will result in early treatment and decreased mortality. Novel therapies are required to decrease mortality in the future from this fatal disease.

摘要

心脏曲霉菌瘤极为罕见,仅有少数病例报道,且大多数病例发生在免疫功能低下的患者中。在此,我们报告一例心脏曲霉菌瘤病例,该病例发生在一名免疫功能正常的患者身上,累及右心室和左心室,最初表现为急性肢体缺血。该患者后来被发现有心脏肿块,组织病理学诊断证实为曲霉菌属。尽管采取了积极的药物和手术干预措施,但由于对其免疫功能正常状态下的侵袭性真菌性心内膜炎怀疑度低,该患者预后不佳。心脏曲霉菌瘤应保留在免疫功能正常患者的鉴别诊断中,因为早期临床怀疑将导致早期治疗并降低死亡率。未来需要新的治疗方法来降低这种致命疾病的死亡率。

https://cdn.ncbi.nlm.nih.gov/pmc/blobs/5532/6666845/4f9552759415/cureus-0011-00000004784-i01.jpg

文献检索

告别复杂PubMed语法,用中文像聊天一样搜索,搜遍4000万医学文献。AI智能推荐,让科研检索更轻松。

立即免费搜索

文件翻译

保留排版,准确专业,支持PDF/Word/PPT等文件格式,支持 12+语言互译。

免费翻译文档

深度研究

AI帮你快速写综述,25分钟生成高质量综述,智能提取关键信息,辅助科研写作。

立即免费体验