• 文献检索
  • 文档翻译
  • 深度研究
  • 学术资讯
  • Suppr Zotero 插件Zotero 插件
  • 邀请有礼
  • 套餐&价格
  • 历史记录
应用&插件
Suppr Zotero 插件Zotero 插件浏览器插件Mac 客户端Windows 客户端微信小程序
定价
高级版会员购买积分包购买API积分包
服务
文献检索文档翻译深度研究API 文档MCP 服务
关于我们
关于 Suppr公司介绍联系我们用户协议隐私条款
关注我们

Suppr 超能文献

核心技术专利:CN118964589B侵权必究
粤ICP备2023148730 号-1Suppr @ 2026

文献检索

告别复杂PubMed语法,用中文像聊天一样搜索,搜遍4000万医学文献。AI智能推荐,让科研检索更轻松。

立即免费搜索

文件翻译

保留排版,准确专业,支持PDF/Word/PPT等文件格式,支持 12+语言互译。

免费翻译文档

深度研究

AI帮你快速写综述,25分钟生成高质量综述,智能提取关键信息,辅助科研写作。

立即免费体验

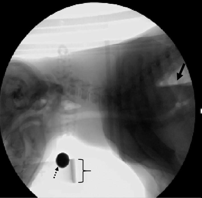
犬食管下括约肌失弛缓症样综合征的视频荧光透视吞咽研究特征。

Videofluoroscopic swallow study features of lower esophageal sphincter achalasia-like syndrome in dogs.

机构信息

Department of Veterinary Medicine and Surgery, College of Veterinary Medicine, University of Missouri, Columbia, Missouri.

Brames Animal Health, Littleton, Colorado.

出版信息

J Vet Intern Med. 2019 Sep;33(5):1954-1963. doi: 10.1111/jvim.15578. Epub 2019 Aug 5.

DOI:10.1111/jvim.15578
PMID:31381208
原文链接:https://pmc.ncbi.nlm.nih.gov/articles/PMC6766503/
Abstract

BACKGROUND

Megaesophagus (ME) carries a poor long-term prognosis in dogs. In people, lower esophageal sphincter (LES) disorders causing functional obstruction are rare causes of ME that may respond to targeted treatment. Functional LES disorders are reported rarely in dogs because of challenges in diagnostic methodologies.

HYPOTHESIS/OBJECTIVES: To identify dogs with videofluoroscopic swallow study (VFSS) features of LES achalasia-like syndrome (LES-AS). We hypothesized that dogs with LES-AS could be distinguished from normal dogs using standardized VFSS criteria.

ANIMALS

Dogs with LES-AS by VFSS (n = 19), healthy normal dogs (n = 20).

METHODS

Retrospective study. One-hundred thirty dogs presented to the University of Missouri Veterinary Health Center (MU-VHC) between April 2015 and December 2017 for a free-feeding VFSS; 20 healthy dogs were included as controls. Swallow studies were evaluated for failure of the LES to relax during pharyngeal swallow (LES-AS). Affected dogs subsequently were evaluated using standardized criteria to identify metrics important for identifying and characterizing dogs with LES-AS.

RESULTS

Nineteen dogs with LES-AS were identified out of 130 VFSS. Megaesophagus was present in 14 of 19 (73.7%) dogs with LES-AS. A baseline esophageal fluid-line and "bird beak" were present in 68.4% (95% confidence interval [CI], 47.5%-89.3%) and 63.2% (95% CI, 41.5%-84.8%) of affected dogs, respectively. The esophagus was graded as acontractile (8/19), hypomotile (8/19), or hypermotile (3/19).

CONCLUSIONS AND CLINICAL IMPORTANCE

Dogs with LES-AS may successfully be identified by VFSS using a free-feeding protocol. These data are of critical clinical importance because a subpopulation of dogs with functional LES obstruction may be candidates for targeted intervention.

摘要

背景

巨食管(ME)在犬中预后不良。在人类中,引起功能性梗阻的下食管括约肌(LES)紊乱是 ME 的罕见原因,可能对靶向治疗有反应。由于诊断方法学的挑战,犬中功能性 LES 紊乱的报道很少。

假设/目的:确定具有 LES 失弛缓症样综合征(LES-AS)的食管造影吞咽研究(VFSS)特征的犬。我们假设可以使用标准化的 VFSS 标准将具有 LES-AS 的犬与正常犬区分开来。

动物

通过 VFSS 确定为 LES-AS 的犬(n=19),健康正常犬(n=20)。

方法

回顾性研究。2015 年 4 月至 2017 年 12 月,130 只犬在密苏里大学兽医学院就诊(MU-VHC)进行自由喂养 VFSS;20 只健康犬作为对照。吞咽研究评估 LES 在咽部吞咽期间是否无法放松(LES-AS)。受影响的犬随后使用标准化标准进行评估,以确定识别和表征 LES-AS 犬的重要指标。

结果

在 130 次 VFSS 中确定了 19 只具有 LES-AS 的犬。19 只 LES-AS 犬中有 14 只(73.7%)患有巨食管。68.4%(95%置信区间[CI],47.5%-89.3%)和 63.2%(95% CI,41.5%-84.8%)的受影响犬存在基线食管液体线和“鸟嘴”。食管被分级为无收缩(8/19)、低动力(8/19)或高动力(3/19)。

结论和临床意义

LES-AS 犬可通过使用自由喂养方案的 VFSS 成功识别。这些数据具有重要的临床意义,因为功能性 LES 阻塞的犬亚群可能是靶向干预的候选者。

https://cdn.ncbi.nlm.nih.gov/pmc/blobs/5230/6766503/d6723958df87/JVIM-33-1954-g005.jpg
https://cdn.ncbi.nlm.nih.gov/pmc/blobs/5230/6766503/583bc33d9b54/JVIM-33-1954-g001.jpg
https://cdn.ncbi.nlm.nih.gov/pmc/blobs/5230/6766503/255cf4975a09/JVIM-33-1954-g002.jpg
https://cdn.ncbi.nlm.nih.gov/pmc/blobs/5230/6766503/6a0da5dfda2c/JVIM-33-1954-g003.jpg
https://cdn.ncbi.nlm.nih.gov/pmc/blobs/5230/6766503/afddc505bd96/JVIM-33-1954-g004.jpg
https://cdn.ncbi.nlm.nih.gov/pmc/blobs/5230/6766503/d6723958df87/JVIM-33-1954-g005.jpg
https://cdn.ncbi.nlm.nih.gov/pmc/blobs/5230/6766503/583bc33d9b54/JVIM-33-1954-g001.jpg
https://cdn.ncbi.nlm.nih.gov/pmc/blobs/5230/6766503/255cf4975a09/JVIM-33-1954-g002.jpg
https://cdn.ncbi.nlm.nih.gov/pmc/blobs/5230/6766503/6a0da5dfda2c/JVIM-33-1954-g003.jpg
https://cdn.ncbi.nlm.nih.gov/pmc/blobs/5230/6766503/afddc505bd96/JVIM-33-1954-g004.jpg
https://cdn.ncbi.nlm.nih.gov/pmc/blobs/5230/6766503/d6723958df87/JVIM-33-1954-g005.jpg

相似文献

1
Videofluoroscopic swallow study features of lower esophageal sphincter achalasia-like syndrome in dogs.犬食管下括约肌失弛缓症样综合征的视频荧光透视吞咽研究特征。
J Vet Intern Med. 2019 Sep;33(5):1954-1963. doi: 10.1111/jvim.15578. Epub 2019 Aug 5.
2
Mechanical dilation, botulinum toxin A injection, and surgical myotomy with fundoplication for treatment of lower esophageal sphincter achalasia-like syndrome in dogs.机械扩张、注射A型肉毒杆菌毒素以及行肌切开术加胃底折叠术治疗犬食管下括约肌失弛缓症样综合征
J Vet Intern Med. 2019 May;33(3):1423-1433. doi: 10.1111/jvim.15476. Epub 2019 Apr 9.
3
Aerodigestive disorders in dogs evaluated for cough using respiratory fluoroscopy and videofluoroscopic swallow studies.使用呼吸透视和透视吞咽研究评估咳嗽犬的气消化道疾病。
Vet J. 2019 Sep;251:105344. doi: 10.1016/j.tvjl.2019.105344. Epub 2019 Jul 27.
4
Standardization of a Videofluoroscopic Swallow Study Protocol to Investigate Dysphagia in Dogs.用于研究犬吞咽困难的视频荧光吞咽造影检查方案的标准化
J Vet Intern Med. 2017 Mar;31(2):383-393. doi: 10.1111/jvim.14676. Epub 2017 Feb 27.
5
Retrospective analysis of esophageal imaging features in brachycephalic versus non-brachycephalic dogs based on videofluoroscopic swallowing studies.基于透视吞咽研究的短头颅犬与非短头颅犬食管影像学特征的回顾性分析。
J Vet Intern Med. 2019 Jul;33(4):1740-1746. doi: 10.1111/jvim.15547. Epub 2019 Jun 19.
6
Diagnostic outcome of contrast videofluoroscopic swallowing studies in 216 dysphagic dogs.216只吞咽困难犬的造影电视荧光吞咽研究的诊断结果
Vet Radiol Ultrasound. 2017 Jul;58(4):373-380. doi: 10.1111/vru.12493. Epub 2017 Mar 23.
7
Videofluoroscopic swallow study abnormalities identify aerodigestive disorders in dogs with respiratory disease versus healthy controls.视频荧光吞咽研究异常可识别患有呼吸道疾病的犬与健康对照犬的气液消化紊乱。
J Vet Intern Med. 2023 May-Jun;37(3):1166-1178. doi: 10.1111/jvim.16685. Epub 2023 Mar 23.
8
Incidence, clinical signs, and videofluoroscopic swallow study abnormalities associated with airway penetration and aspiration in 100 dogs.100 例犬气道穿透和吸入相关的发生率、临床症状和视频荧光吞咽研究异常。
J Vet Intern Med. 2022 Nov;36(6):2149-2159. doi: 10.1111/jvim.16553. Epub 2022 Oct 19.
9
Quantitative videofluoroscopic evaluation of pharyngeal function in the dog.犬咽功能的定量视频荧光评估
Vet Radiol Ultrasound. 2000 Sep-Oct;41(5):409-12. doi: 10.1111/j.1740-8261.2000.tb01862.x.
10
Impaired sliding between the lower esophageal sphincter and crural diaphragm (esophageal hiatus) in patients with achalasia esophagus.贲门失弛缓症患者食管下括约肌和膈脚(食管裂孔)之间滑动功能受损。
Am J Physiol Gastrointest Liver Physiol. 2023 Oct 1;325(4):G368-G378. doi: 10.1152/ajpgi.00117.2023. Epub 2023 Aug 15.

引用本文的文献

1
Lower esophageal sphincter achalasia-like syndrome causing megaesophagus in a cat.猫下食管括约肌失弛缓症样综合征导致巨食管症
JFMS Open Rep. 2025 Jun 29;11(1):20551169251341055. doi: 10.1177/20551169251341055. eCollection 2025 Jan-Jun.
2
A One Health review of aerodigestive disease in dogs.关于犬 aerodigestive 疾病的 One Health 综述。
J Vet Intern Med. 2023 May-Jun;37(3):817-834. doi: 10.1111/jvim.16661. Epub 2023 Mar 28.
3
Videofluoroscopic swallow study abnormalities identify aerodigestive disorders in dogs with respiratory disease versus healthy controls.

本文引用的文献

1
Advances in the management of oesophageal motility disorders in the era of high-resolution manometry: a focus on achalasia syndromes.高分辨率测压时代食管动力障碍的管理进展:聚焦贲门失弛缓症综合征
Nat Rev Gastroenterol Hepatol. 2018 May;15(5):323. doi: 10.1038/nrgastro.2018.33. Epub 2018 Apr 6.
2
Treatments for achalasia in 2017: how to choose among them.2017年贲门失弛缓症的治疗方法:如何在其中进行选择。
Curr Opin Gastroenterol. 2017 Jul;33(4):270-276. doi: 10.1097/MOG.0000000000000365.
3
Diagnostic outcome of contrast videofluoroscopic swallowing studies in 216 dysphagic dogs.
视频荧光吞咽研究异常可识别患有呼吸道疾病的犬与健康对照犬的气液消化紊乱。
J Vet Intern Med. 2023 May-Jun;37(3):1166-1178. doi: 10.1111/jvim.16685. Epub 2023 Mar 23.
4
Extraesophageal reflux and reflux aspiration in dogs with respiratory diseases and in healthy dogs.食管外反流和反流吸入在患有呼吸道疾病的犬和健康犬中的情况。
J Vet Intern Med. 2023 Jan;37(1):268-276. doi: 10.1111/jvim.16622. Epub 2023 Jan 19.
5
Incidence, clinical signs, and videofluoroscopic swallow study abnormalities associated with airway penetration and aspiration in 100 dogs.100 例犬气道穿透和吸入相关的发生率、临床症状和视频荧光吞咽研究异常。
J Vet Intern Med. 2022 Nov;36(6):2149-2159. doi: 10.1111/jvim.16553. Epub 2022 Oct 19.
6
A Comparative Assessment of the Diagnosis of Swallowing Impairment and Gastroesophageal Reflux in Canines and Humans.犬类和人类吞咽障碍与胃食管反流诊断的比较评估
Front Vet Sci. 2022 Jun 9;9:889331. doi: 10.3389/fvets.2022.889331. eCollection 2022.
7
Use of a videofluoroscopic feeding evaluation to guide management of dogs with congenital idiopathic megaoesophagus.使用视频荧光镜检查喂养评估来指导先天性特发性巨食管犬的管理。
Vet Med Sci. 2022 Jul;8(4):1434-1442. doi: 10.1002/vms3.821. Epub 2022 Apr 27.
216只吞咽困难犬的造影电视荧光吞咽研究的诊断结果
Vet Radiol Ultrasound. 2017 Jul;58(4):373-380. doi: 10.1111/vru.12493. Epub 2017 Mar 23.
4
Standardization of a Videofluoroscopic Swallow Study Protocol to Investigate Dysphagia in Dogs.用于研究犬吞咽困难的视频荧光吞咽造影检查方案的标准化
J Vet Intern Med. 2017 Mar;31(2):383-393. doi: 10.1111/jvim.14676. Epub 2017 Feb 27.
5
Sildenafil improves clinical signs and radiographic features in dogs with congenital idiopathic megaoesophagus: a randomised controlled trial.西地那非改善先天性特发性巨食管犬的临床体征和影像学特征:一项随机对照试验。
Vet Rec. 2017 Apr 22;180(16):404. doi: 10.1136/vr.103832. Epub 2017 Feb 10.
6
Is Gastroesophageal Reflux Disease and Achalasia Coincident or Not?胃食管反流病与贲门失弛缓症是否并存?
J Neurogastroenterol Motil. 2017 Jan 30;23(1):5-8. doi: 10.5056/jnm16121.
7
New insights into the pathophysiology of achalasia and implications for future treatment.贲门失弛缓症病理生理学的新见解及其对未来治疗的启示。
World J Gastroenterol. 2016 Sep 21;22(35):7892-907. doi: 10.3748/wjg.v22.i35.7892.
8
High-resolution manometric evaluation of the effects of cisapride on the esophagus during administration of solid and liquid boluses in awake healthy dogs.在清醒健康犬经口给予固体和液体团块期间,西沙必利对食管影响的高分辨率测压评估
Am J Vet Res. 2016 Aug;77(8):818-27. doi: 10.2460/ajvr.77.8.818.
9
Myasthenia gravis and congenital myasthenic syndromes in dogs and cats: A history and mini-review.犬猫重症肌无力和先天性肌无力综合征:历史回顾与简要综述。
Neuromuscul Disord. 2016 Jun;26(6):331-4. doi: 10.1016/j.nmd.2016.03.002. Epub 2016 Mar 10.
10
Achalasia: new perspectives on an old disease.贲门失弛缓症:一种古老疾病的新视角。
Neurogastroenterol Motil. 2016 Jan;28(1):4-11. doi: 10.1111/nmo.12750.