Sorbonne Université, UMR CNRS MNHN 7208 Biologie des organismes et écosystèmes aquatiques (BOREA), Equipe Adaptation aux Milieux Extrêmes, Paris, France.
Department of Cytology and Evolutionary Biology, University of Greifswald, Zoological Institute and Museum, Greifswald, Germany.
Elife. 2019 Aug 6;8:e47550. doi: 10.7554/eLife.47550.
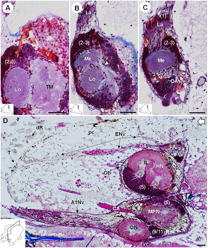
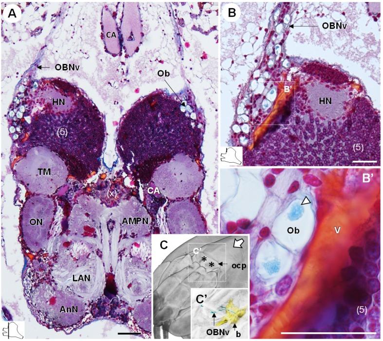
Alvinocaridid shrimps are emblematic representatives of the deep hydrothermal vent fauna at the Mid-Atlantic Ridge. They are adapted to a mostly aphotic habitat with extreme physicochemical conditions in the vicinity of the hydrothermal fluid emissions. Here, we investigated the brain architecture of the vent shrimp to understand possible adaptations of its nervous system to the hydrothermal sensory landscape. Its brain is modified from the crustacean brain ground pattern by featuring relatively small visual and olfactory neuropils that contrast with well-developed higher integrative centers, the hemiellipsoid bodies. We propose that these structures in vent shrimps may fulfill functions in addition to higher order sensory processing and suggest a role in place memory. Our study promotes vent shrimps as fascinating models to gain insights into sensory adaptations to peculiar environmental conditions, and the evolutionary transformation of specific brain areas in Crustacea.
Alvinocaridid 虾类是中大西洋脊深海热液喷口动物群的标志性代表。它们适应于无光的栖息地,周围的热液流体排放具有极端的物理化学条件。在这里,我们研究了喷口虾的大脑结构,以了解其神经系统可能对热液感觉景观的适应。它的大脑是由甲壳动物大脑的基本模式改造而来的,具有相对较小的视觉和嗅觉神经节,与发达的高级整合中心——半椭圆体形成对比。我们提出,这些在喷口虾中的结构可能除了进行高级感官处理之外还具有其他功能,并暗示在位置记忆方面的作用。我们的研究将喷口虾作为引人入胜的模型,以深入了解对特殊环境条件的感官适应,以及甲壳动物特定脑区的进化转变。