Suppr超能文献

开发基于高效AAV2/DJ的病毒载体以选择性下调大鼠中枢神经系统中神经元或星形胶质细胞靶蛋白的表达。

Development of Efficient AAV2/DJ-Based Viral Vectors to Selectively Downregulate the Expression of Neuronal or Astrocytic Target Proteins in the Rat Central Nervous System.

作者信息

Jollé Charlotte, Déglon Nicole, Pythoud Catherine, Bouzier-Sore Anne-Karine, Pellerin Luc

机构信息

Department of Physiology, Université de Lausanne, Lausanne, Switzerland.

Laboratory of Cellular and Molecular Neurotherapies (LCMN), Department of Clinical Neurosciences, Lausanne University Hospital, University of Lausanne, Lausanne, Switzerland.

出版信息

Front Mol Neurosci. 2019 Aug 20;12:201. doi: 10.3389/fnmol.2019.00201. eCollection 2019.

Abstract

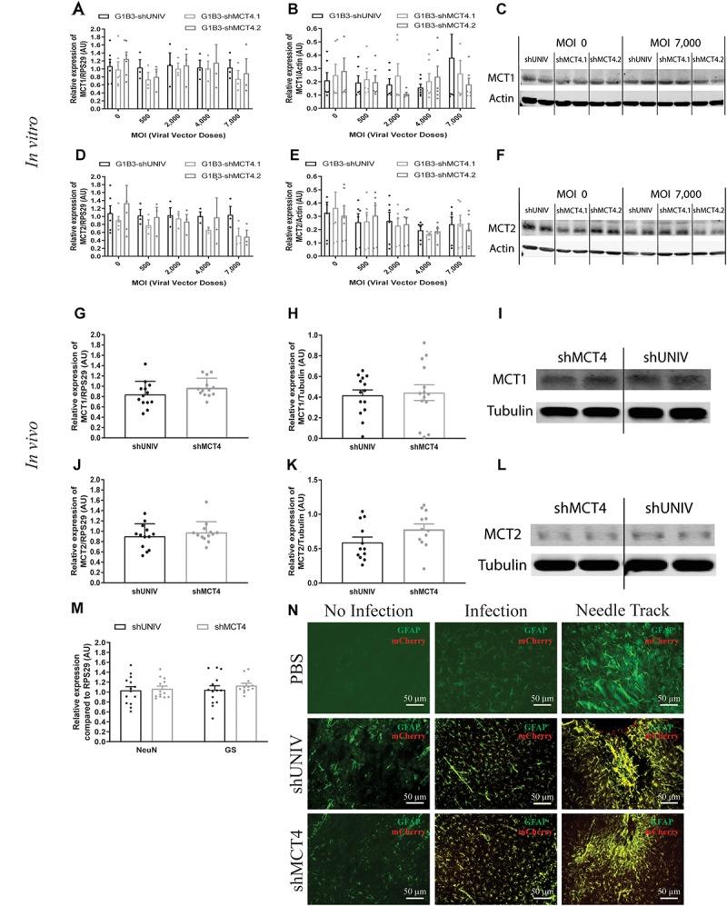
Viral vectors have become very popular to overexpress or downregulate proteins of interest in different cell types. They conveniently allow the precise targeting of well-defined tissue areas, which is particularly useful in complex organs like the brain. In theory, each vector should have its own cell specificity that can be obtained by using different strategies (e.g., using a cell-specific promoter). For the moment, there is few vectors that have been developed to alternatively target, using the same capsid, neurons and astrocytes in the central nervous system. There is even fewer examples of adeno-associated viral vectors able to efficiently transduce cells both and . The development of viral vectors allowing the cell-specific downregulation of a protein in cultured cells of the central nervous system as well as within a large brain area would be highly desirable to address several important questions in neurobiology. Here we report that the use of the AAV2/DJ viral vector associated to an hybrid CMV/chicken β-actin promoter (CBA) or to a modified form of the glial fibrillary acidic protein promoter (G1B3) allows a specific transduction of neurons or astrocytes in more than half of the barrel field within the rat somatosensory cortex. Moreover, the use of the miR30E-shRNA technology led to an efficient downregulation of two proteins of interest related to metabolism both and . Our results demonstrate that it is possible to downregulate the expression of different protein isoforms in a cell-specific manner using a common serotype. It is proposed that such an approach could be extended to other cell types and used to target several proteins of interest within the same brain area.

摘要

病毒载体已广泛用于在不同细胞类型中过表达或下调感兴趣的蛋白质。它们能够方便地精确靶向明确的组织区域,这在像大脑这样的复杂器官中尤为有用。理论上,每种载体都应有其自身的细胞特异性,可通过不同策略(如使用细胞特异性启动子)来实现。目前,很少有载体被开发出来能够利用相同的衣壳在中枢神经系统中选择性地靶向神经元和星形胶质细胞。能够有效转导中枢神经系统培养细胞以及在大的脑区中进行转导的腺相关病毒载体的例子更少。开发能够在中枢神经系统培养细胞以及在大的脑区中实现细胞特异性下调蛋白质的病毒载体,对于解决神经生物学中的几个重要问题将非常有帮助。在此我们报告,使用与杂交CMV/鸡β-肌动蛋白启动子(CBA)或胶质纤维酸性蛋白启动子的修饰形式(G1B3)相关联的AAV2/DJ病毒载体,能够在大鼠体感皮层超过一半的桶状区中特异性转导神经元或星形胶质细胞。此外,使用miR30E-shRNA技术能够有效下调与代谢相关的两种感兴趣的蛋白质。我们的结果表明,使用一种常见的血清型以细胞特异性方式下调不同蛋白质异构体的表达是可能的。有人提出,这种方法可以扩展到其他细胞类型,并用于在同一脑区内靶向多种感兴趣的蛋白质。

https://cdn.ncbi.nlm.nih.gov/pmc/blobs/2325/6710342/edc420598b7b/fnmol-12-00201-g001.jpg

文献AI研究员

20分钟写一篇综述,助力文献阅读效率提升50倍。

立即体验

用中文搜PubMed

大模型驱动的PubMed中文搜索引擎

马上搜索

文档翻译

学术文献翻译模型,支持多种主流文档格式。

立即体验