• 文献检索
  • 文档翻译
  • 深度研究
  • 学术资讯
  • Suppr Zotero 插件Zotero 插件
  • 邀请有礼
  • 套餐&价格
  • 历史记录
应用&插件
Suppr Zotero 插件Zotero 插件浏览器插件Mac 客户端Windows 客户端微信小程序
定价
高级版会员购买积分包购买API积分包
服务
文献检索文档翻译深度研究API 文档MCP 服务
关于我们
关于 Suppr公司介绍联系我们用户协议隐私条款
关注我们

Suppr 超能文献

核心技术专利:CN118964589B侵权必究
粤ICP备2023148730 号-1Suppr @ 2026

文献检索

告别复杂PubMed语法,用中文像聊天一样搜索,搜遍4000万医学文献。AI智能推荐,让科研检索更轻松。

立即免费搜索

文件翻译

保留排版,准确专业,支持PDF/Word/PPT等文件格式,支持 12+语言互译。

免费翻译文档

深度研究

AI帮你快速写综述,25分钟生成高质量综述,智能提取关键信息,辅助科研写作。

立即免费体验

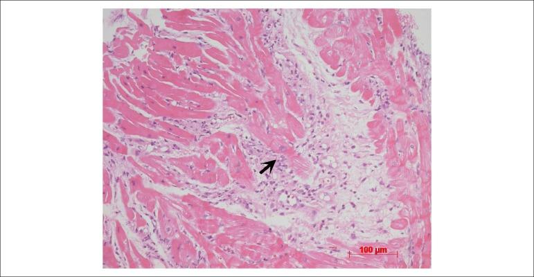
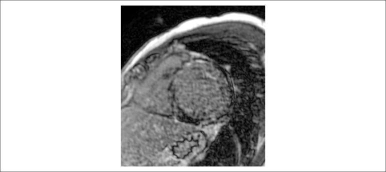
Case 4/2019 - 26-Year-Old Man with Congenital Chagas Disease and Heart Transplantation.

作者信息

Pinesi Henrique Trombini, Strabelli Tânia Mara Varejão, Aiello Vera Demarchi

机构信息

Instituto do Coração (InCor) - Hospital das Clínicas da Faculdade de Medicina da Universidade de São Paulo (HC-FMUSP), São Paulo, SP - Brazil.

出版信息

Arq Bras Cardiol. 2019 Sep 2;113(2):286-293. doi: 10.5935/abc.20190162.

DOI:10.5935/abc.20190162
PMID:31483025
原文链接:https://pmc.ncbi.nlm.nih.gov/articles/PMC6777885/
Abstract
摘要
https://cdn.ncbi.nlm.nih.gov/pmc/blobs/70c9/6777885/f5af54a95a40/abc-113-02-0286-g10.jpg
https://cdn.ncbi.nlm.nih.gov/pmc/blobs/70c9/6777885/5d1e14353d8d/abc-113-02-0286-g03.jpg
https://cdn.ncbi.nlm.nih.gov/pmc/blobs/70c9/6777885/71615be3bab7/abc-113-02-0286-g04.jpg
https://cdn.ncbi.nlm.nih.gov/pmc/blobs/70c9/6777885/2ce95247e2ed/abc-113-02-0286-g05.jpg
https://cdn.ncbi.nlm.nih.gov/pmc/blobs/70c9/6777885/4b4fc5438b76/abc-113-02-0286-g06.jpg
https://cdn.ncbi.nlm.nih.gov/pmc/blobs/70c9/6777885/6f8c81d78dc3/abc-113-02-0286-g07.jpg
https://cdn.ncbi.nlm.nih.gov/pmc/blobs/70c9/6777885/84425984c8db/abc-113-02-0286-g09.jpg
https://cdn.ncbi.nlm.nih.gov/pmc/blobs/70c9/6777885/f5af54a95a40/abc-113-02-0286-g10.jpg
https://cdn.ncbi.nlm.nih.gov/pmc/blobs/70c9/6777885/5d1e14353d8d/abc-113-02-0286-g03.jpg
https://cdn.ncbi.nlm.nih.gov/pmc/blobs/70c9/6777885/71615be3bab7/abc-113-02-0286-g04.jpg
https://cdn.ncbi.nlm.nih.gov/pmc/blobs/70c9/6777885/2ce95247e2ed/abc-113-02-0286-g05.jpg
https://cdn.ncbi.nlm.nih.gov/pmc/blobs/70c9/6777885/4b4fc5438b76/abc-113-02-0286-g06.jpg
https://cdn.ncbi.nlm.nih.gov/pmc/blobs/70c9/6777885/6f8c81d78dc3/abc-113-02-0286-g07.jpg
https://cdn.ncbi.nlm.nih.gov/pmc/blobs/70c9/6777885/84425984c8db/abc-113-02-0286-g09.jpg
https://cdn.ncbi.nlm.nih.gov/pmc/blobs/70c9/6777885/f5af54a95a40/abc-113-02-0286-g10.jpg

相似文献

1
Case 4/2019 - 26-Year-Old Man with Congenital Chagas Disease and Heart Transplantation.病例4/2019 - 一名患有先天性恰加斯病并接受心脏移植的26岁男性。
Arq Bras Cardiol. 2019 Sep 2;113(2):286-293. doi: 10.5935/abc.20190162.
2
Trypanosoma cruzi myocardial infection reactivation presenting as complete atrioventricular block in a Chagas' heart transplant recipient.克氏锥虫心肌感染再激活表现为恰加斯病心脏移植受者出现完全性房室传导阻滞
Cardiovasc Pathol. 2004 Nov-Dec;13(6):323-6. doi: 10.1016/j.carpath.2004.08.002.
3
Early diagnosis of recurrence of Trypanosoma cruzi infection by polymerase chain reaction after heart transplantation of a chronic Chagas' heart disease patient.慢性恰加斯心脏病患者心脏移植后通过聚合酶链反应早期诊断克氏锥虫感染复发
J Heart Lung Transplant. 2000 Nov;19(11):1114-7. doi: 10.1016/s1053-2498(00)00168-6.
4
Reactivation of Chagas disease among heart transplant recipients in the United States, 2012-2016.2012 - 2016年美国心脏移植受者中查加斯病的再激活情况。
Transpl Infect Dis. 2018 Dec;20(6):e12996. doi: 10.1111/tid.12996. Epub 2018 Oct 2.
5
[Erythema nodoso in reactivation of Chagas' disease after cardiac transplantation].[心脏移植后恰加斯病再激活出现结节性红斑]
Rev Soc Bras Med Trop. 2005 Jan-Feb;38(1):61-3. doi: 10.1590/s0037-86822005000100013. Epub 2005 Jan 18.
6
Trypanosoma cruzi persistence in the native heart is associated with high-grade myocarditis, but not with Chagas' disease reactivation after heart transplantation.克氏锥虫在原生心脏中的持续存在与重度心肌炎相关,但与心脏移植后恰加斯病的复发无关。
J Heart Lung Transplant. 2014 Jul;33(7):698-703. doi: 10.1016/j.healun.2014.01.920. Epub 2014 Feb 4.
7
[The characteristics of Trypanosoma cruzi strains isolated from patients who have undergone a heart transplant].
Rev Soc Bras Med Trop. 1995 Oct-Dec;28(4):351-6. doi: 10.1590/s0037-86821995000400008.
8
Using polymerase chain reaction in early diagnosis of re-activated Trypanosoma cruzi infection after heart transplantation.利用聚合酶链反应对心脏移植后再激活的克氏锥虫感染进行早期诊断。
J Heart Lung Transplant. 2004 Dec;23(12):1345-8. doi: 10.1016/j.healun.2003.09.027.
9
Heart Transplantation for Chagas Cardiomyopathy.恰加斯心肌病的心脏移植
J Heart Lung Transplant. 2017 Jun;36(6):597-603. doi: 10.1016/j.healun.2017.02.006. Epub 2017 Feb 3.
10
Heart transplantation in patients with Chagas' disease cardiomyopathy.恰加斯病心肌病患者的心脏移植
J Heart Transplant. 1987 Sep-Oct;6(5):307-12.

引用本文的文献

1
Chagas disease in immunocompromised patients.免疫功能低下患者的恰加斯病。
Clin Microbiol Rev. 2024 Jun 13;37(2):e0009923. doi: 10.1128/cmr.00099-23. Epub 2024 Mar 28.
2
Chagas Disease Maternal Seroprevalence and Maternal-Fetal Health Outcomes in a Parturition Cohort in Western El Salvador.萨尔瓦多西部一个分娩队列中的恰加斯病孕产妇血清阳性率及母婴健康结局
Trop Med Infect Dis. 2023 Apr 20;8(4):233. doi: 10.3390/tropicalmed8040233.
3
7-Aryl-7-deazapurine 3'-deoxyribonucleoside derivative as a novel lead for Chagas' disease therapy: and pharmacology.

本文引用的文献

1
[Not Available].[无可用内容]
Arq Bras Cardiol. 2018 Aug;111(2):230-289. doi: 10.5935/abc.20180153.
2
Challenges of immunosuppressive and antitrypanosomal drug therapy after heart transplantation in patients with chronic Chagas disease: A systematic review of clinical recommendations.慢性恰加斯病患者心脏移植后免疫抑制和抗锥虫药物治疗的挑战:临床建议的系统评价。
Transplant Rev (Orlando). 2018 Jul;32(3):157-167. doi: 10.1016/j.trre.2018.04.003. Epub 2018 Apr 17.
3
[Brazilian Consensus on Chagas Disease, 2015].[2015年巴西恰加斯病共识]
7-芳基-7-脱氮嘌呤3'-脱氧核糖核苷衍生物作为恰加斯病治疗的新型先导物:及药理学
JAC Antimicrob Resist. 2021 Nov 17;3(4):dlab168. doi: 10.1093/jacamr/dlab168. eCollection 2021 Dec.
Epidemiol Serv Saude. 2016 Jun;25(spe):7-86. doi: 10.5123/S1679-49742016000500002.
4
Trypanocide treatment of women infected with Trypanosoma cruzi and its effect on preventing congenital Chagas.对感染克氏锥虫的女性进行杀锥虫治疗及其对预防先天性恰加斯病的作用。
PLoS Negl Trop Dis. 2014 Nov 20;8(11):e3312. doi: 10.1371/journal.pntd.0003312. eCollection 2014 Nov.
5
Chagas' disease: pregnancy and congenital transmission.恰加斯病:妊娠与先天性传播
Biomed Res Int. 2014;2014:401864. doi: 10.1155/2014/401864. Epub 2014 May 15.
6
Distantiae transmission of Trypanosoma cruzi: a new epidemiological feature of acute Chagas disease in Brazil.克氏锥虫的远距离传播:巴西急性恰加斯病的一种新流行病学特征。
PLoS Negl Trop Dis. 2014 May 22;8(5):e2878. doi: 10.1371/journal.pntd.0002878. eCollection 2014 May.
7
Prevalence of Chagas disease in pregnant women and congenital transmission of Trypanosoma cruzi in Brazil: a systematic review and meta-analysis.巴西孕妇恰加斯病的患病率及克氏锥虫的先天性传播:一项系统评价与荟萃分析。
Trop Med Int Health. 2014 Aug;19(8):943-57. doi: 10.1111/tmi.12328. Epub 2014 May 10.
8
Prevalence of Chagas disease in Brazil: a systematic review and meta-analysis.巴西的恰加斯病流行情况:系统评价和荟萃分析。
Acta Trop. 2014 Feb;130:167-74. doi: 10.1016/j.actatropica.2013.10.002. Epub 2013 Oct 15.
9
I Latin American Guidelines for the diagnosis and treatment of Chagas' heart disease: executive summary.拉丁美洲恰加斯病心脏病诊断和治疗指南:执行摘要。
Arq Bras Cardiol. 2011 Jun;96(6):434-42. doi: 10.1590/s0066-782x2011000600002.
10
Current epidemiological trends for Chagas disease in Latin America and future challenges in epidemiology, surveillance and health policy.拉丁美洲恰加斯病的当前流行趋势及流行病学、监测和卫生政策方面的未来挑战。
Mem Inst Oswaldo Cruz. 2009 Jul;104 Suppl 1:17-30. doi: 10.1590/s0074-02762009000900005.