Suppr超能文献

使用电影磁共振成像评估不同胃动力状态下的腹部器官运动:空腹与餐后状态的比较。

Assessment of abdominal organ motion using cine magnetic resonance imaging in different gastric motilities: a comparison between fasting and postprandial states.

机构信息

Department of Radiology, University of Yamanashi, Institutional address: 1110 Shimokato, Chuo City, Yamanashi, Japan.

Department of Radiology, Fujiyoshida Municipal Hospital, Institutional address: 6530 Kamiyoshida, Fujiyoshida City Yamanashi, Japan.

出版信息

J Radiat Res. 2019 Nov 22;60(6):837-843. doi: 10.1093/jrr/rrz054.

Abstract

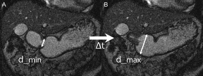
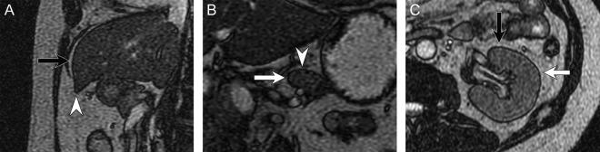
This study assessed abdominal organ motion induced by gastroduodenal motilities in volunteers during fasting and postprandial states, using cine magnetic resonance imaging (cine-MRI). Thirty-five volunteers underwent cine-MRI while holding their breath in the fasting and postprandial states. Gastric motility was quantified by the amplitude and velocity of antral peristaltic waves. Duodenal motility was evaluated as the change of duodenal diameter. Abdominal organ motion was measured in the liver, pancreas and kidneys. Motion was quantified by calculating maximal organ displacement in the left-right, antero-posterior and caudal-cranial directions. Median antral amplitude and velocity in the fasting and postprandial states were 7.7 and 15.1 mm (P < 0.01), and 1.3 and 2.5 mm/s (P < 0.01), respectively. Duodenal motility did not change. Median displacement for all organs ranged from 0.9 to 2.9 mm in the fasting state and from 1.0 to 2.9 mm in the postprandial state. Significant increases in abdominal organ displacement in the postprandial state were observed in the right lobe of the liver, pancreatic head and both kidneys. Differences in the median displacement of these organs between the two states were all <1 mm. Although the motion of several abdominal organs increased in the postprandial state, the difference between the two states was quite small. Thus, our study suggests that treatment planning and irradiation need not include strict management of gastric conditions, nor the addition of excess margins to compensate for differences in the intra-fractional abdominal organ motion under different gastric motilities in the fasting and postprandial states.

摘要

本研究采用电影磁共振成像(cine-MRI)评估空腹和餐后志愿者胃十二指肠运动引起的腹部器官运动。35 名志愿者在空腹和餐后状态下屏气进行 cine-MRI。通过测量胃窦蠕动的振幅和速度来量化胃动力。通过十二指肠直径的变化来评估十二指肠动力。测量肝脏、胰腺和肾脏的腹部器官运动。通过计算左右、前后和头尾方向的最大器官位移来量化运动。空腹和餐后状态下胃窦的平均振幅和速度分别为 7.7mm 和 15.1mm(P<0.01)和 1.3mm/s 和 2.5mm/s(P<0.01)。十二指肠动力没有变化。所有器官在空腹状态下的平均位移为 0.9 至 2.9mm,在餐后状态下为 1.0 至 2.9mm。在餐后状态下,肝脏右叶、胰头和双肾的腹部器官位移显著增加。两种状态下这些器官的平均位移差异均<1mm。尽管在餐后状态下几个腹部器官的运动增加,但两种状态之间的差异相当小。因此,我们的研究表明,在计划治疗和进行放疗时,不必严格管理胃的情况,也不必增加额外的边界来补偿空腹和餐后不同胃动力状态下的分次内腹部器官运动差异。

https://cdn.ncbi.nlm.nih.gov/pmc/blobs/4d7f/6873626/18cb1691a0a7/rrz054f01.jpg

文献AI研究员

20分钟写一篇综述,助力文献阅读效率提升50倍。

立即体验

用中文搜PubMed

大模型驱动的PubMed中文搜索引擎

马上搜索

文档翻译

学术文献翻译模型,支持多种主流文档格式。

立即体验