Université de Strasbourg, CNRS, Architecture et Réactivité de l'ARN, UPR9002, Strasbourg, France.
CIRI, Centre International de Recherche en Infectiologie, Inserm U1111, Université Lyon1, Ecole Normale Supérieure de Lyon, CNRS UMR5308, Lyon, France.
Nucleic Acids Res. 2019 Oct 10;47(18):9871-9887. doi: 10.1093/nar/gkz728.
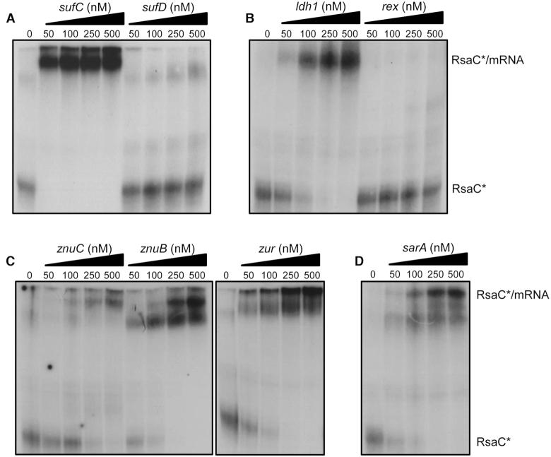
The human opportunistic pathogen Staphylococcus aureus produces numerous small regulatory RNAs (sRNAs) for which functions are still poorly understood. Here, we focused on an atypical and large sRNA called RsaC. Its length varies between different isolates due to the presence of repeated sequences at the 5' end while its 3' part is structurally independent and highly conserved. Using MS2-affinity purification coupled with RNA sequencing (MAPS) and quantitative differential proteomics, sodA mRNA was identified as a primary target of RsaC sRNA. SodA is a Mn-dependent superoxide dismutase involved in oxidative stress response. Remarkably, rsaC gene is co-transcribed with the major manganese ABC transporter MntABC and, consequently, RsaC is mainly produced in response to Mn starvation. This 3'UTR-derived sRNA is released from mntABC-RsaC precursor after cleavage by RNase III. The mature and stable form of RsaC inhibits the synthesis of the Mn-containing enzyme SodA synthesis and favors the oxidative stress response mediated by SodM, an alternative SOD enzyme using either Mn or Fe as co-factor. In addition, other putative targets of RsaC are involved in oxidative stress (ROS and NOS) and metal homeostasis (Fe and Zn). Consequently, RsaC may balance two interconnected defensive responses, i.e. oxidative stress and metal-dependent nutritional immunity.
人体机会性病原体金黄色葡萄球菌产生许多功能仍知之甚少的小型调控 RNA(sRNA)。在这里,我们专注于一种称为 RsaC 的非典型和大型 sRNA。由于 5' 端存在重复序列,其长度在不同的分离株之间有所不同,而其 3' 部分结构独立且高度保守。使用 MS2 亲和纯化结合 RNA 测序 (MAPS) 和定量差异蛋白质组学,鉴定 sodA mRNA 是 RsaC sRNA 的主要靶标。 sodA 是一种 Mn 依赖性超氧化物歧化酶,参与氧化应激反应。值得注意的是,rsaC 基因与主要锰 ABC 转运蛋白 MntABC 共转录,因此,RsaC 主要是在锰饥饿时产生的。这种 3'UTR 衍生的 sRNA 在 RNase III 切割后从 mntABC-RsaC 前体中释放出来。成熟且稳定的 RsaC 抑制含 Mn 酶 SodA 合成的合成,并有利于由 SodM 介导的氧化应激反应,SodM 是一种替代 SOD 酶,可使用 Mn 或 Fe 作为辅助因子。此外,RsaC 的其他假定靶标参与氧化应激(ROS 和 NOS)和金属稳态(Fe 和 Zn)。因此,RsaC 可能平衡两种相互关联的防御反应,即氧化应激和金属依赖性营养免疫。