Piao Mei Jing, Kang Kyoung Ah, Zhen Ao Xuan, Fernando Pincha Devage Sameera Madushan, Ahn Mee Jung, Koh Young Sang, Kang Hee Kyoung, Yi Joo Mi, Choi Yung Hyun, Hyun Jin Won
Jeju Research Center for Natural Medicine, Jeju National University School of Medicine, Jeju 63243, Korea.
Laboratory of Veterinary Anatomy, College of Veterinary Medicine, Jeju National University, Jeju 63243, Korea.
Antioxidants (Basel). 2019 Sep 9;8(9):383. doi: 10.3390/antiox8090383.
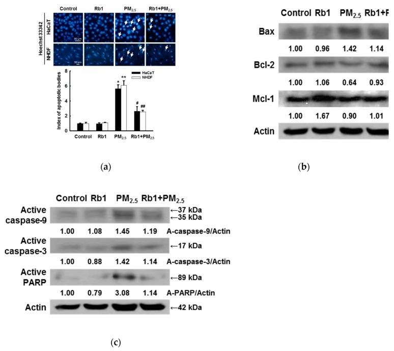
The prevalence of fine particulate matter-induced harm to the human body is increasing daily. The aim of this study was to elucidate the mechanism by which particulate matter 2.5 (PM) induces damage in human HaCaT keratinocytes and normal human dermal fibroblasts, and to evaluate the preventive capacity of the ginsenoside Rb1. PM induced oxidative stress by increasing the production of reactive oxygen species, leading to DNA damage, lipid peroxidation, and protein carbonylation; this effect was inhibited by ginsenoside Rb1. Through gene silencing of endoplasmic reticulum (ER) stress-related genes such as , , , and , and through the use of the ER stress inhibitor tauroursodeoxycholic acid (TUDCA), it was demonstrated that PM-induced ER stress also causes apoptosis and ultimately leads to cell death; however, this phenomenon was reversed by ginsenoside Rb1. We also found that TUDCA partially restored the production of ATP that was inhibited by PM, and its recovery ability was significantly higher than that of ginsenoside Rb1, indicating that the process of ER stress leading to cell damage may also occur via the mitochondrial pathway. We concluded that ER stress acts alone or via the mitochondrial pathway in the induction of cell damage by PM, and that ginsenoside Rb1 blocks this process. Ginsenoside Rb1 shows potential for use in skin care products to protect the skin against damage by fine particles.
细颗粒物对人体造成伤害的发生率日益增加。本研究的目的是阐明细颗粒物2.5(PM)诱导人HaCaT角质形成细胞和正常人皮肤成纤维细胞损伤的机制,并评估人参皂苷Rb1的预防能力。PM通过增加活性氧的产生诱导氧化应激,导致DNA损伤、脂质过氧化和蛋白质羰基化;人参皂苷Rb1可抑制这种作用。通过对内质网(ER)应激相关基因如 、 、 和 进行基因沉默,并使用ER应激抑制剂牛磺熊去氧胆酸(TUDCA),证明PM诱导的ER应激也会导致细胞凋亡并最终导致细胞死亡;然而,人参皂苷Rb1可逆转这一现象。我们还发现TUDCA部分恢复了被PM抑制的ATP生成,其恢复能力明显高于人参皂苷Rb1,表明ER应激导致细胞损伤的过程也可能通过线粒体途径发生。我们得出结论,ER应激单独或通过线粒体途径在PM诱导的细胞损伤中起作用,人参皂苷Rb1可阻断这一过程。人参皂苷Rb1在护肤品中具有保护皮肤免受细颗粒损伤的潜在应用价值。