• 文献检索
  • 文档翻译
  • 深度研究
  • 学术资讯
  • Suppr Zotero 插件Zotero 插件
  • 邀请有礼
  • 套餐&价格
  • 历史记录
应用&插件
Suppr Zotero 插件Zotero 插件浏览器插件Mac 客户端Windows 客户端微信小程序
定价
高级版会员购买积分包购买API积分包
服务
文献检索文档翻译深度研究API 文档MCP 服务
关于我们
关于 Suppr公司介绍联系我们用户协议隐私条款
关注我们

Suppr 超能文献

核心技术专利:CN118964589B侵权必究
粤ICP备2023148730 号-1Suppr @ 2026

文献检索

告别复杂PubMed语法,用中文像聊天一样搜索,搜遍4000万医学文献。AI智能推荐,让科研检索更轻松。

立即免费搜索

文件翻译

保留排版,准确专业,支持PDF/Word/PPT等文件格式,支持 12+语言互译。

免费翻译文档

深度研究

AI帮你快速写综述,25分钟生成高质量综述,智能提取关键信息,辅助科研写作。

立即免费体验

后天性真皮性斑状色素沉着的组织学评估

Histological Evaluation of Acquired Dermal Macular Hyperpigmentation.

作者信息

Sasidharanpillai Sarita, Govindan Aparna, Ajithkumar Kidangazhi Yathmana, Mahadevan Saranya T, Bindu Valiyaveettil, Khader Anza, Sathi Puthen Parambath

机构信息

Department of Dermatology and Venereology, Govt. Medical College, Kozhikode, Kerala, India.

Department of Pathology, Govt. Medical College, Kozhikode, Kerala, India.

出版信息

Indian Dermatol Online J. 2019 Aug 28;10(5):542-546. doi: 10.4103/idoj.IDOJ_426_18. eCollection 2019 Sep-Oct.

DOI:10.4103/idoj.IDOJ_426_18
PMID:31544073
原文链接:https://pmc.ncbi.nlm.nih.gov/articles/PMC6743398/
Abstract

CONTEXT

An umbrella term, acquired dermal macular hyperpigmentation (ADMH), has been proposed to denote conditions including ashy dermatosis, erythema dyschromicum perstans, lichen planus pigmentosus, and idiopathic macular eruptive pigmentation.

AIMS

To classify the patients manifesting ADMH on the basis of histology.

SETTINGS AND DESIGN

In this retrospective, cross-sectional study, histology specimens of patients of ADMH, who underwent skin biopsy in our institution from 1.1 2015 to 31.12.2017, were included after obtaining ethical clearance.

MATERIALS AND METHODS

The histology specimens of patients of ADMH were reviewed by the pathologist and classified. Clinical features of individual patient were collected from previous records and the data analyzed.

STATISTICAL ANALYSIS USED

Pearson's Chi-square test was used to determine significance of association between age of onset and duration of pigmentation with histology type.

RESULTS

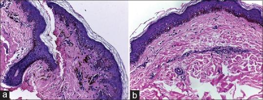
Three patterns of histology were identified in the study group (17 males and 13 females). Type 1: Basal cell degeneration and moderate to dense inflammation (12 patients, 40%), type 2: Significant pigment incontinence and sparse inflammation without basal cell degeneration, (12 patients, 40%), and type 3: sparse inflammation without basal cell degeneration or significant pigment incontinence (six patients, 20%). Statistically significant association was noted between age of onset of pigmentation and histology type ( value, 0.02).

LIMITATIONS

Main limitation was the small sample size.

CONCLUSIONS

Prospective studies evaluating the clinical progression and dermoscopy features and analyzing serial biopsies of ADMH patients may confirm whether the histology patterns observed represent different stages of same disease process or are different entities.

摘要

背景

有人提出用“获得性皮肤斑片状色素沉着(ADMH)”这一统称来指代包括灰皮病、持久性色素异常性红斑、色素性扁平苔藓和特发性斑疹性色素沉着在内的多种病症。

目的

根据组织学对表现为ADMH的患者进行分类。

设置与设计

在这项回顾性横断面研究中,纳入了2015年1月1日至2017年12月31日期间在本机构接受皮肤活检的ADMH患者的组织学标本,并获得了伦理许可。

材料与方法

病理学家对ADMH患者的组织学标本进行复查并分类。从既往记录中收集每位患者的临床特征并进行数据分析。

所用统计分析方法

采用Pearson卡方检验确定发病年龄和色素沉着持续时间与组织学类型之间关联的显著性。

结果

在研究组(17名男性和13名女性)中确定了三种组织学模式。模式1:基底细胞变性和中度至重度炎症(12例患者,40%),模式2:明显的色素失禁和稀疏炎症,无基底细胞变性(12例患者,40%),模式3:稀疏炎症,无基底细胞变性或明显色素失禁(6例患者,20%)。色素沉着发病年龄与组织学类型之间存在统计学显著关联(P值,0.02)。

局限性

主要局限性是样本量小。

结论

评估ADMH患者临床进展和皮肤镜特征并分析系列活检的前瞻性研究,可能会证实观察到的组织学模式是代表同一疾病过程的不同阶段还是不同的实体。

https://cdn.ncbi.nlm.nih.gov/pmc/blobs/0292/6743398/8cca630b372c/IDOJ-10-542-g004.jpg
https://cdn.ncbi.nlm.nih.gov/pmc/blobs/0292/6743398/86b4d98b9706/IDOJ-10-542-g001.jpg
https://cdn.ncbi.nlm.nih.gov/pmc/blobs/0292/6743398/60c64d34dd9b/IDOJ-10-542-g002.jpg
https://cdn.ncbi.nlm.nih.gov/pmc/blobs/0292/6743398/0f9895115c53/IDOJ-10-542-g003.jpg
https://cdn.ncbi.nlm.nih.gov/pmc/blobs/0292/6743398/8cca630b372c/IDOJ-10-542-g004.jpg
https://cdn.ncbi.nlm.nih.gov/pmc/blobs/0292/6743398/86b4d98b9706/IDOJ-10-542-g001.jpg
https://cdn.ncbi.nlm.nih.gov/pmc/blobs/0292/6743398/60c64d34dd9b/IDOJ-10-542-g002.jpg
https://cdn.ncbi.nlm.nih.gov/pmc/blobs/0292/6743398/0f9895115c53/IDOJ-10-542-g003.jpg
https://cdn.ncbi.nlm.nih.gov/pmc/blobs/0292/6743398/8cca630b372c/IDOJ-10-542-g004.jpg

相似文献

1
Histological Evaluation of Acquired Dermal Macular Hyperpigmentation.后天性真皮性斑状色素沉着的组织学评估
Indian Dermatol Online J. 2019 Aug 28;10(5):542-546. doi: 10.4103/idoj.IDOJ_426_18. eCollection 2019 Sep-Oct.
2
A Delphi consensus on the nomenclature and diagnosis of lichen planus pigmentosus and related entities.关于色素性扁平苔藓及相关疾病的命名和诊断的德尔菲共识。
Indian J Dermatol Venereol Leprol. 2023 Jan-Frebuary;89(1):41-46. doi: 10.25259/IJDVL_804_2021.
3
A retrospective clinico-pathological study comparing lichen planus pigmentosus with ashy dermatosis.一项比较色素性扁平苔藓与灰皮病的回顾性临床病理研究。
Australas J Dermatol. 2018 Nov;59(4):322-327. doi: 10.1111/ajd.12813. Epub 2018 Apr 10.
4
Acquired Dermal Macular Hyperpigmentation: An Update.获得性皮肤黄斑色素沉着:最新进展
Indian Dermatol Online J. 2021 Aug 2;12(5):663-673. doi: 10.4103/idoj.IDOJ_881_20. eCollection 2021 Sep-Oct.
5
Macular pigmentation of uncertain aetiology revisited: two case reports and a proposed algorithm for clinical classification.重新审视病因不明的黄斑色素沉着:两例病例报告及临床分类的拟议算法
Australas J Dermatol. 2017 Feb;58(1):45-49. doi: 10.1111/ajd.12428. Epub 2016 Feb 1.
6
Acquired dermal macular hyperpigmentation: an overview of the recent updates.获得性皮肤黄斑性色素沉着:最新进展概述。
Int J Dermatol. 2023 Dec;62(12):1447-1457. doi: 10.1111/ijd.16859. Epub 2023 Sep 28.
7
Acquired Macular Pigmentation of Unknown Etiology.获得性不明病因黄斑色素沉着
J Clin Aesthet Dermatol. 2019 Jan;12(1):38-46. Epub 2019 Jan 1.
8
Riehl Melanosis瑞尔黑变病
9
A global consensus statement on ashy dermatosis, erythema dyschromicum perstans, lichen planus pigmentosus, idiopathic eruptive macular pigmentation, and Riehl's melanosis.关于黑变病、色素性扁平苔藓、特发性突发性斑状色素沉着症、Riehl 黑变病的全球共识声明。
Int J Dermatol. 2019 Mar;58(3):263-272. doi: 10.1111/ijd.14189. Epub 2018 Sep 3.
10
Follicular Variant of Acquired Dermal Macular Hyperpigmentation: A Case Report.获得性皮肤黄斑色素沉着的滤泡样变体:一例报告
Cureus. 2023 Jan 24;15(1):e34133. doi: 10.7759/cureus.34133. eCollection 2023 Jan.

引用本文的文献

1
Follicular Variant of Acquired Dermal Macular Hyperpigmentation: A Case Report.获得性皮肤黄斑色素沉着的滤泡样变体:一例报告
Cureus. 2023 Jan 24;15(1):e34133. doi: 10.7759/cureus.34133. eCollection 2023 Jan.
2
A Case of Erythema Dyschromicum Perstans.一例持久性色素异常性红斑。
Dermatol Pract Concept. 2022 Apr 1;12(2):e2022106. doi: 10.5826/dpc.1202a106. eCollection 2022 May.
3
Acquired Dermal Macular Hyperpigmentation: An Update.获得性皮肤黄斑色素沉着:最新进展

本文引用的文献

1
A global consensus statement on ashy dermatosis, erythema dyschromicum perstans, lichen planus pigmentosus, idiopathic eruptive macular pigmentation, and Riehl's melanosis.关于黑变病、色素性扁平苔藓、特发性突发性斑状色素沉着症、Riehl 黑变病的全球共识声明。
Int J Dermatol. 2019 Mar;58(3):263-272. doi: 10.1111/ijd.14189. Epub 2018 Sep 3.
2
Pigmentary Disorders and Their Management-Analyzing Current Evidence: Conference Proceedings and Learning Points. Pigmentarycon 2017. November 10-12, Indore, India.色素沉着紊乱及其管理——分析当前证据:会议论文集及学习要点。色素沉着大会2017。11月10日至12日,印度印多尔
Indian Dermatol Online J. 2018 Mar-Apr;9(2):143-147. doi: 10.4103/idoj.IDOJ_359_17.
3
Indian Dermatol Online J. 2021 Aug 2;12(5):663-673. doi: 10.4103/idoj.IDOJ_881_20. eCollection 2021 Sep-Oct.
Idiopathic Eruptive Macular Pigmentation in an Indian Male.
一名印度男性的特发性发疹性斑状色素沉着症
Indian Dermatol Online J. 2018 Jan-Feb;9(1):64-65. doi: 10.4103/idoj.IDOJ_298_17.
4
Idiopathic Eruptive Macular Pigmentation in an Indian Male.一名印度男性的特发性发疹性斑状色素沉着症
Indian Dermatol Online J. 2017 Sep-Oct;8(5):367-370. doi: 10.4103/idoj.IDOJ_274_16.
5
Dermatoscopic evaluation and histopathological correlation of acquired dermal macular hyperpigmentation.获得性真皮性斑状色素沉着的皮肤镜评估与组织病理学相关性。
Int J Dermatol. 2017 Dec;56(12):1395-1399. doi: 10.1111/ijd.13782. Epub 2017 Oct 3.
6
Lichen Planus Pigmentosus: The Controversial Consensus.色素性扁平苔藓:有争议的共识。
Indian J Dermatol. 2016 Sep-Oct;61(5):482-6. doi: 10.4103/0019-5154.190108.
7
Idiopathic eruptive macular pigmentation: A critical review of published literature and suggestions for revision of criteria for diagnosis.
Indian J Dermatol Venereol Leprol. 2015 Nov-Dec;81(6):576-80. doi: 10.4103/0378-6323.168323.
8
Ashy dermatoses--a critical review of the literature and a proposed simplified clinical classification.色素沉着性皮肤病——文献综述及简化临床分类建议
Int J Dermatol. 2008 Jun;47(6):542-4. doi: 10.1111/j.1365-4632.2008.03625.x.
9
A study of 124 Indian patients with lichen planus pigmentosus.一项针对124例色素性扁平苔藓印度患者的研究。
Clin Exp Dermatol. 2003 Sep;28(5):481-5. doi: 10.1046/j.1365-2230.2003.01367.x.
10
Lichen planus pigmentosus.色素性扁平苔藓
Dermatologica. 1974;149(1):43-50. doi: 10.1159/000251470.