Suppr超能文献

两姐妹患斯维尔综合征的罕见病例,两人均成功妊娠。

A Rare Case of Swyer Syndrome in Two Sisters with Successful Pregnancy Outcome in Both.

作者信息

Gupta Anupam, Bajaj Ritika, Jindal Umesh N

机构信息

Department of Obstetrics and Gynecology, Jindal IVF and Sant Memorial Nursing Home, Chandigarh, India.

出版信息

J Hum Reprod Sci. 2019 Jul-Sep;12(3):267-269. doi: 10.4103/jhrs.JHRS_14_19.

Abstract

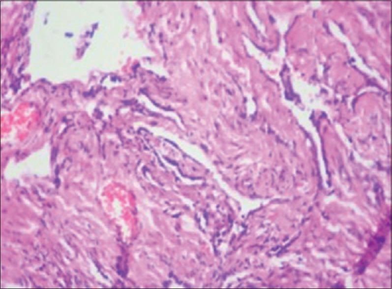
Swyer syndrome is a disorder of sex development characterized by gonadal dysgenesis in a phenotypic female with normally developed Mullerian structures but a 46XY karyotype resulting from failure of testicular development in the early embryogenesis. It can have X-linked, Y-linked, or autosomal inheritance. We had a case of two sisters who presented with primary amenorrhea and primary infertility. On investigation, both had hypergonadotropic hypogonadism, 46XY karyotype, and streak gonads. They conceived following fertilization (IVF) with ovum donation. Prophylactic gonadectomy has been done in one and advised in other due to the increased risk of gonadoblastoma which is as high as 15%-35%. Such patients should be counseled that despite hypoplastic uterus, successful pregnancy can be achieved through IVF and ovum donation.

摘要

斯维尔综合征是一种性发育障碍疾病,其特征为表型为女性,苗勒氏结构发育正常,但核型为46XY,这是由于胚胎早期睾丸发育失败所致。它可以有X连锁、Y连锁或常染色体遗传。我们有一个病例,是一对姐妹,她们表现为原发性闭经和原发性不孕。经检查,两人均为高促性腺激素性性腺功能减退、46XY核型和条索状性腺。她们在接受卵子捐赠的体外受精(IVF)后怀孕。其中一人已进行预防性性腺切除术,另一人因患性腺母细胞瘤的风险高达15%-35%,建议进行该手术。应向此类患者咨询,尽管子宫发育不全,但通过体外受精和卵子捐赠仍可成功怀孕。

https://cdn.ncbi.nlm.nih.gov/pmc/blobs/415e/6764226/279aed3fb982/JHRS-12-267-g001.jpg

文献AI研究员

20分钟写一篇综述,助力文献阅读效率提升50倍。

立即体验

用中文搜PubMed

大模型驱动的PubMed中文搜索引擎

马上搜索

文档翻译

学术文献翻译模型,支持多种主流文档格式。

立即体验