Suppr超能文献

抗霍乱弧菌外膜抗原的单克隆抗体。

Monoclonal antibodies to outer membrane antigens of Vibrio cholerae.

作者信息

Sciortino C V, Yang Z S, Finkelstein R A

出版信息

Infect Immun. 1985 Jul;49(1):122-31. doi: 10.1128/iai.49.1.122-131.1985.

Abstract

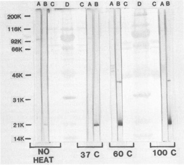
Hybridoma-derived monoclonal antibodies were prepared against outer membrane antigens of four strains of Vibrio cholerae that were cultivated under iron-limited conditions, and these antibodies were partially characterized. We established a library of 66 hybridomas which produced monoclonal antibodies defining 16 different V. cholerae antigens. Two antigens (molecular weights, 18,000 and 112,000) were heat modifiable, whereas the reacting epitope of a third antigen (40,000-dalton-18,000-dalton doublet) was completely destroyed when it was heated at 100 degrees C. The 112,000-dalton heat-modifiable protein was an iron-regulated outer membrane protein. This protein bound 59Fe in vitro when it was combined with the V. cholerae siderophore-iron complex 59Fe-vibriobactin; it was also found in in vivo grown V. cholerae, as were three other antigens. A total of 26 hybridomas produced antibody to V. cholerae lipopolysaccharide. Of these, 12 were cross-reactive with lipopolysaccharides of other gram-negative bacteria, including 2 which recognized lipid A. Several of these anti-lipopolysaccharide monoclonal antibodies appeared to be lipopolysaccharide region specific. Some membrane antigens were strain specific, whereas others were common to both O group 1 and non-O group 1 vibrios.

摘要

制备了针对在铁限制条件下培养的四株霍乱弧菌外膜抗原的杂交瘤衍生单克隆抗体,并对这些抗体进行了部分特性鉴定。我们建立了一个由66个杂交瘤组成的文库,这些杂交瘤产生的单克隆抗体可定义16种不同的霍乱弧菌抗原。两种抗原(分子量分别为18,000和112,000)可被热修饰,而第三种抗原(40,000道尔顿 - 18,000道尔顿双峰)的反应表位在100℃加热时会被完全破坏。112,000道尔顿的热修饰蛋白是一种铁调节外膜蛋白。当它与霍乱弧菌铁载体 - 铁复合物59Fe - 弧菌素结合时,能在体外结合59Fe;在体内生长的霍乱弧菌中也发现了这种蛋白,还有其他三种抗原。共有26个杂交瘤产生了针对霍乱弧菌脂多糖的抗体。其中,12个与其他革兰氏阴性菌的脂多糖有交叉反应,包括2个识别脂质A的。这些抗脂多糖单克隆抗体中有几种似乎具有脂多糖区域特异性。一些膜抗原是菌株特异性的,而其他的则是O1群和非O1群弧菌共有的。

https://cdn.ncbi.nlm.nih.gov/pmc/blobs/0b6a/262068/29c53abd0ec6/iai00112-0132-a.jpg

文献检索

告别复杂PubMed语法,用中文像聊天一样搜索,搜遍4000万医学文献。AI智能推荐,让科研检索更轻松。

立即免费搜索

文件翻译

保留排版,准确专业,支持PDF/Word/PPT等文件格式,支持 12+语言互译。

免费翻译文档

深度研究

AI帮你快速写综述,25分钟生成高质量综述,智能提取关键信息,辅助科研写作。

立即免费体验