Grupo de Investigación de fotoquímica y fotobiología, Universidad del Atlántico, Carrera 30 Número 8-49, Puerto Colombia 081008, Colombia.
Grupo de Investigación SIMERQO, Departamento de Química, Universidad del Valle, Calle 13 No. 100-00, Cali 76001, Colombia.
Biomolecules. 2019 Nov 1;9(11):684. doi: 10.3390/biom9110684.
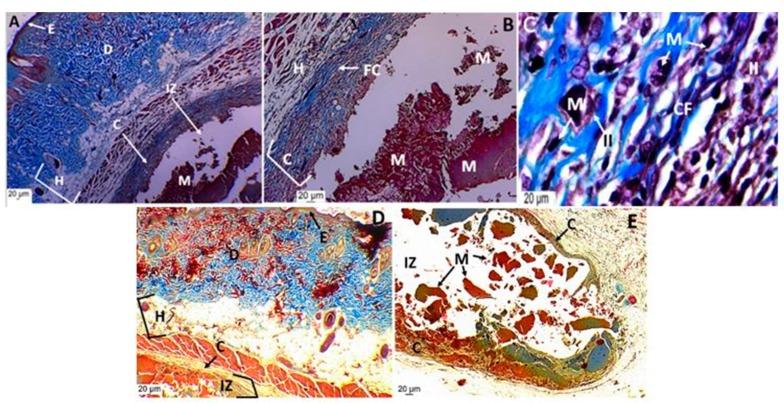
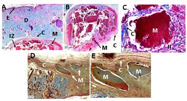
Recently, tissue engineering became a very important medical alternative in patients who need to regenerate damaged or lost tissues through the use of scaffolds that support cell adhesion and proliferation. Carbon nanomaterials (carbon nanotubes, fullerenes, multi-wall fullerenes, and graphene) became a very important alternative to reinforce the mechanical, thermal, and antimicrobial properties of several biopolymers. In this work, five different formulations of chitosan/poly(vinyl alcohol)/oxidized carbon nano-onions (CS/PVA/ox-CNO) were used to prepare biodegradable scaffolds with potential biomedical applications. Film characterization consisted of Fourier-transform infrared (FTIR) spectroscopy, thermogravimetric analysis (TGA), differential scanning calorimetry (DSC), tension strength, Young's modulus, X-ray diffraction spectroscopy (XRD), scanning electron microscopy (SEM), and energy-dispersive spectroscopy (EDS). The degradation in a simulated body fluid (FBS) demonstrated that all the formulations lost between 75% and 80% of their weight after 15 days of treatment, but the degradation decreased with the ox-CNO content. In vivo tests after 90 days of subdermal implantation of the nanocomposite films in Wistar rats' tissue demonstrated good biocompatibility without allergenic reactions or pus formation. There was a good correlation between FBS hydrolytic degradation and degradation in vivo for all the samples, since the ox-CNO content increased the stability of the material. All these results indicate the potential of the CS/PVA/ox-CNO nanocomposite films in tissue engineering, especially for long-term applications.
最近,组织工程成为一种非常重要的医学替代方法,适用于需要通过使用支持细胞粘附和增殖的支架来再生受损或丢失组织的患者。碳纳米材料(碳纳米管、富勒烯、多壁富勒烯和石墨烯)成为增强几种生物聚合物的机械、热和抗菌性能的非常重要的替代品。在这项工作中,使用了五种不同配方的壳聚糖/聚乙烯醇/氧化碳纳米洋葱(CS/PVA/ox-CNO)来制备具有潜在生物医学应用的可生物降解支架。薄膜特性包括傅里叶变换红外(FTIR)光谱、热重分析(TGA)、差示扫描量热法(DSC)、拉伸强度、杨氏模量、X 射线衍射光谱(XRD)、扫描电子显微镜(SEM)和能量色散光谱(EDS)。在模拟体液(FBS)中的降解表明,所有配方在 15 天的处理后都失去了 75%到 80%的重量,但随着 ox-CNO 含量的增加,降解减少。在 Wistar 大鼠组织中皮下植入纳米复合材料膜 90 天后的体内试验表明,该材料具有良好的生物相容性,没有过敏反应或脓液形成。所有样品的 FBS 水解降解与体内降解之间存在良好的相关性,因为 ox-CNO 含量增加了材料的稳定性。所有这些结果都表明 CS/PVA/ox-CNO 纳米复合材料膜在组织工程中的潜力,特别是在长期应用中。