Department of Orthopaedics, The First Affiliated Hospital of Soochow University, Suzhou 215006, China.
Oxid Med Cell Longev. 2019 Nov 6;2019:7189854. doi: 10.1155/2019/7189854. eCollection 2019.
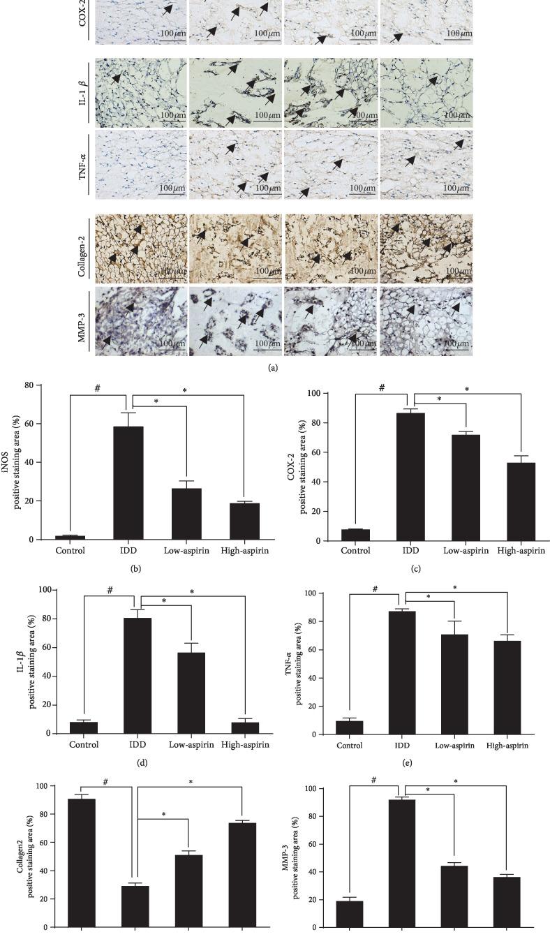
Intervertebral disc (IVD) degeneration (IDD) is a major cause of low back pain. The pathogenesis of IDD is associated with the disturbance of reactive oxygen species (ROS) equilibrium, inflammation, and matrix loss. Aspirin is a nonsteroidal anti-inflammatory drug that effectively inhibits inflammation and oxidative stress and has been widely used for the treatment of back pain. Therefore, we hypothesize that aspirin reverses the IDD process via antioxidative and anti-inflammatory effects on the AMPK signaling pathway. , aspirin diminished cellular oxygen free radicals (ROS, nitric oxide (NO)) and inflammatory cytokines (interleukin- (IL-) 1 and IL-6 and tumor necrosis factor alpha (TNF-)) induced by lipopolysaccharides (LPS) in nucleus pulposus cells (NPCs). We found that aspirin preserved the extracellular matrix (ECM) content of collagen type II (COL2) and aggrecan while inhibiting the expression of matrix-degenerating enzymes, including matrix metalloproteinase 3 and 13 (MMP-3 and MMP-13) and A disintegrin and metalloproteinase with thrombospondin motifs 4 and 5 (ADAMTS-4, ADAMTS-5). Aspirin significantly promoted the ratios of p-AMPK to AMPK and p-ACC to ACC expression in NPCs. Furthermore, pretreatment with the AMPK inhibitor compound C abrogated the antioxidant effects of aspirin. , an IDD model was established in Sprague-Dawley rats via percutaneous disc puncture with the 20-gauge needle on levels 8-9 and 9-10 of the coccygeal vertebrae. Imaging assessment showed that after aspirin treatment, improvements in disc height index (DHI) ranged from 1.22-fold to 1.54-fold and nucleus pulposus signal strength improved from 1.26-fold to 1.33-fold. Histological analysis showed that aspirin treatment prevented the loss of COL2 and decreased MMP-3 and MMP-13, inducible NO synthase (iNOS), cyclooxygenase-2 (COX-2), IL-1, and TNF- expression in the IVD tissues. These results suggest that treatment with aspirin could reverse the IDD process via the AMPK signaling pathway, which provides new insights into the potential clinical applications of aspirin, particularly for IDD treatment.
椎间盘(IVD)退变(IDD)是腰痛的主要原因。IDD 的发病机制与活性氧(ROS)平衡失调、炎症和基质丢失有关。阿司匹林是一种非甾体抗炎药,能有效抑制炎症和氧化应激,已广泛用于腰痛的治疗。因此,我们假设阿司匹林通过对 AMPK 信号通路的抗氧化和抗炎作用来逆转 IDD 过程。研究发现,阿司匹林可减少脂多糖(LPS)诱导的髓核细胞(NPC)中细胞氧自由基(ROS、一氧化氮(NO))和炎症细胞因子(白细胞介素-1 和白细胞介素-6 和肿瘤坏死因子-α(TNF-α))。我们发现,阿司匹林在抑制基质降解酶(包括基质金属蛋白酶 3 和 13(MMP-3 和 MMP-13)和 A 型血小板糖蛋白与血栓调节蛋白 4 和 5 (ADAMTS-4、ADAMTS-5))的同时,还能保留细胞外基质(ECM)中 II 型胶原(COL2)和聚集蛋白聚糖的含量。阿司匹林可显著促进 NPC 中 p-AMPK/AMPK 和 p-ACC/ACC 表达的比值。此外,AMPK 抑制剂化合物 C 的预处理可阻断阿司匹林的抗氧化作用。通过在尾骨椎骨 8-9 和 9-10 水平用 20 号针经皮椎间盘穿刺建立 IDD 模型。影像学评估显示,阿司匹林治疗后,椎间盘高度指数(DHI)改善范围为 1.22 倍至 1.54 倍,髓核信号强度改善范围为 1.26 倍至 1.33 倍。组织学分析表明,阿司匹林治疗可防止 COL2 丢失,并降低 IVD 组织中 MMP-3 和 MMP-13、诱导型一氧化氮合酶(iNOS)、环氧化酶-2(COX-2)、白细胞介素-1 和肿瘤坏死因子-α的表达。这些结果表明,阿司匹林治疗可通过 AMPK 信号通路逆转 IDD 过程,为阿司匹林的临床应用,特别是治疗 IDD 提供了新的思路。