Suppr超能文献

槐耳通过linc00339/miR-4656/CSNK2B信号通路抑制乳腺癌进展。

Huaier Suppresses Breast Cancer Progression via linc00339/miR-4656/CSNK2B Signaling Pathway.

作者信息

Wang Wei, Wang Xiaolong, Li Chen, Chen Tong, Zhang Ning, Liang Yiran, Li Yaming, Zhang Hanwen, Liu Ying, Song Xiaojin, Zhao Wenjing, Chen Bing, Wang Lijuan, Yang Qifeng

机构信息

Department of Breast Surgery, Qilu Hospital, Shandong University, Jinan, China.

Department of Thyroid and Breast Surgery, Jining No. 1 People's Hospital, Jining, China.

出版信息

Front Oncol. 2019 Nov 8;9:1195. doi: 10.3389/fonc.2019.01195. eCollection 2019.

Abstract

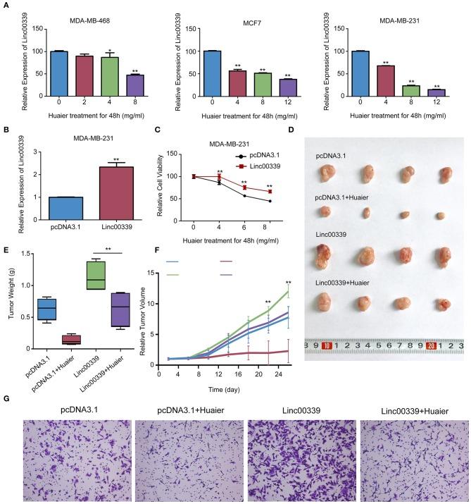
Huaier, as known as Murr, is a traditional Chinese medicine. Various studies have demonstrated that Huaier could inhibit cancer progression and improve the prognosis of patients. In the present study, we comprehensively screened the expression profiles of lncRNAs, miRNAs, and mRNAs in Huaier-treated breast cancer cells. Using bioinformatic analysis, hub genes were identified and functionally annotated. Weighted gene coexpression network analysis was applied to construct the molecular network influenced by Huaier. Linc00339 was then found to play a critical role in Huaier-mediated cancer suppression. To validate the effects of linc00339 and identify the downstream targets, we performed and experiments. Finally, we identified that Huaier could inhibit the proliferation of breast cancer cells through modulating linc00339/miR-4656/CSNK2B signaling pathway.

摘要

槐耳,又称桑黄,是一种传统中药。多项研究表明,槐耳可抑制癌症进展并改善患者预后。在本研究中,我们全面筛选了经槐耳处理的乳腺癌细胞中lncRNA、miRNA和mRNA的表达谱。通过生物信息学分析,鉴定出枢纽基因并进行了功能注释。应用加权基因共表达网络分析构建受槐耳影响的分子网络。随后发现Linc00339在槐耳介导的癌症抑制中起关键作用。为验证Linc00339的作用并鉴定下游靶点,我们进行了[此处原文缺失两个实验名称]实验。最后,我们确定槐耳可通过调节Linc00339/miR-4656/CSNK2B信号通路抑制乳腺癌细胞的增殖。

https://cdn.ncbi.nlm.nih.gov/pmc/blobs/1193/6857111/fc4fd7149179/fonc-09-01195-g0001.jpg

文献AI研究员

20分钟写一篇综述,助力文献阅读效率提升50倍。

立即体验

用中文搜PubMed

大模型驱动的PubMed中文搜索引擎

马上搜索

文档翻译

学术文献翻译模型,支持多种主流文档格式。

立即体验