• 文献检索
  • 文档翻译
  • 深度研究
  • 学术资讯
  • Suppr Zotero 插件Zotero 插件
  • 邀请有礼
  • 套餐&价格
  • 历史记录
应用&插件
Suppr Zotero 插件Zotero 插件浏览器插件Mac 客户端Windows 客户端微信小程序
定价
高级版会员购买积分包购买API积分包
服务
文献检索文档翻译深度研究API 文档MCP 服务
关于我们
关于 Suppr公司介绍联系我们用户协议隐私条款
关注我们

Suppr 超能文献

核心技术专利:CN118964589B侵权必究
粤ICP备2023148730 号-1Suppr @ 2026

文献检索

告别复杂PubMed语法,用中文像聊天一样搜索,搜遍4000万医学文献。AI智能推荐,让科研检索更轻松。

立即免费搜索

文件翻译

保留排版,准确专业,支持PDF/Word/PPT等文件格式,支持 12+语言互译。

免费翻译文档

深度研究

AI帮你快速写综述,25分钟生成高质量综述,智能提取关键信息,辅助科研写作。

立即免费体验

由短螺旋体感染引起的伴有门静脉积气的重症结肠炎。

Severe Colitis with Portal Venous Gas Caused by Brachyspira pilosicoli Infection.

作者信息

Chatani Motoharu, Kishita Megumi, Inatomi Osamu, Takahashi Kenichiro, Sugimoto Mitsushige, Sonoda Ayano, Kawahara Masahiro, Bamba Shigeki, Kito Katsuyuki, Kushima Ryoji, Andoh Akira

机构信息

Department of Medicine, Shiga University of Medical Science, Japan.

Division of Clinical Laboratory Medicine, Shiga University of Medical Science, Japan.

出版信息

Intern Med. 2019;58(23):3409-3413. doi: 10.2169/internalmedicine.3254-19. Epub 2019 Dec 1.

DOI:10.2169/internalmedicine.3254-19
PMID:31787630
原文链接:https://pmc.ncbi.nlm.nih.gov/articles/PMC6928490/
Abstract

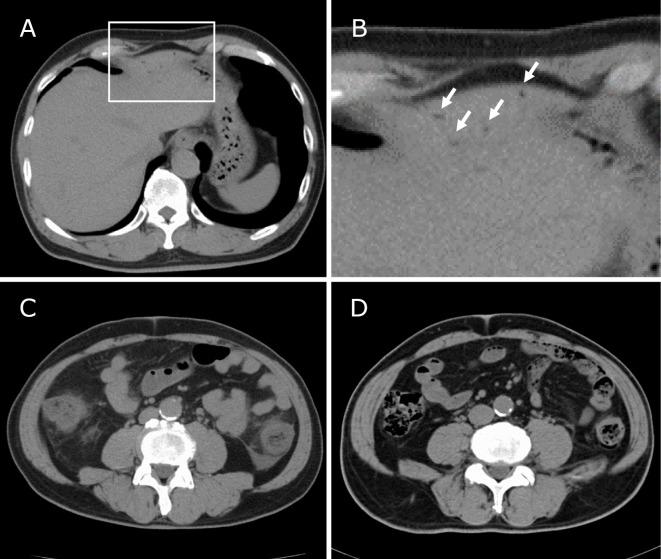
We herein report a case of Brachyspira pilosicoli-caused severe colitis presenting with portal venous gas. A 75-year-old man was admitted because of a fever, severe abdominal pain and bloody diarrhea. He was negative for anti-HIV antibodies. He had been in close contact with a dog earlier. Abdominal computed tomography detected severe wall-thickening and fat-stranding of the entire colon accompanied by portal venous gas. A smear examination of his stool showed many Gram-negative spiral rods, suggesting intestinal spirochetosis. A polymerase chain reaction assay using stool samples detected an amplified band specific for B. pilosicoli. He responded well to antimicrobial agents including metronidazole.

摘要

我们在此报告一例由柔毛短螺旋体引起的伴有门静脉积气的严重结肠炎病例。一名75岁男性因发热、严重腹痛和血性腹泻入院。他的抗HIV抗体检测为阴性。他此前曾与一只狗密切接触。腹部计算机断层扫描显示整个结肠严重壁增厚和脂肪浸润,并伴有门静脉积气。他的粪便涂片检查显示有许多革兰氏阴性螺旋杆菌,提示肠道螺旋体病。使用粪便样本进行的聚合酶链反应检测到一条对柔毛短螺旋体特异的扩增条带。他对抗菌药物包括甲硝唑反应良好。

https://cdn.ncbi.nlm.nih.gov/pmc/blobs/6d5d/6928490/9211ddc5daa2/1349-7235-58-3409-g003.jpg
https://cdn.ncbi.nlm.nih.gov/pmc/blobs/6d5d/6928490/5c5001f8cb0b/1349-7235-58-3409-g001.jpg
https://cdn.ncbi.nlm.nih.gov/pmc/blobs/6d5d/6928490/640a0c419fac/1349-7235-58-3409-g002.jpg
https://cdn.ncbi.nlm.nih.gov/pmc/blobs/6d5d/6928490/9211ddc5daa2/1349-7235-58-3409-g003.jpg
https://cdn.ncbi.nlm.nih.gov/pmc/blobs/6d5d/6928490/5c5001f8cb0b/1349-7235-58-3409-g001.jpg
https://cdn.ncbi.nlm.nih.gov/pmc/blobs/6d5d/6928490/640a0c419fac/1349-7235-58-3409-g002.jpg
https://cdn.ncbi.nlm.nih.gov/pmc/blobs/6d5d/6928490/9211ddc5daa2/1349-7235-58-3409-g003.jpg

相似文献

1
Severe Colitis with Portal Venous Gas Caused by Brachyspira pilosicoli Infection.由短螺旋体感染引起的伴有门静脉积气的重症结肠炎。
Intern Med. 2019;58(23):3409-3413. doi: 10.2169/internalmedicine.3254-19. Epub 2019 Dec 1.
2
Human intestinal spirochetosis mimicking ulcerative colitis.酷似溃疡性结肠炎的人类肠道螺旋体病。
Clin J Gastroenterol. 2018 Apr;11(2):145-149. doi: 10.1007/s12328-017-0807-3. Epub 2017 Dec 4.
3
Simultaneous isolation of two species, Brachyspira pilosicoli and Brachyspira aalborgi, from a patient with ulcerative colitis.从一名溃疡性结肠炎患者体内同时分离出两种菌株,即柔毛短螺旋体和奥尔堡短螺旋体。
J Vet Med Sci. 2018 Sep 13;80(9):1416-1419. doi: 10.1292/jvms.18-0220. Epub 2018 Aug 7.
4
Evaluation of recombinant Brachyspira pilosicoli oligopeptide-binding proteins as vaccine candidates in a mouse model of intestinal spirochaetosis.评价重组短螺旋体寡肽结合蛋白作为肠道螺旋体病小鼠模型疫苗候选物。
J Med Microbiol. 2010 Mar;59(Pt 3):353-359. doi: 10.1099/jmm.0.015842-0. Epub 2009 Dec 3.
5
Prevalence of Brachyspira pilosicoli and "Brachyspira canis" in dogs and their association with diarrhoea.猪痢疾蛇形螺旋体和“犬短螺旋体”在犬中的流行情况及其与腹泻的关系。
Vet Microbiol. 2010 Dec 15;146(3-4):356-60. doi: 10.1016/j.vetmic.2010.05.016. Epub 2010 May 12.
6
Brachyspira species blood stream infection.短螺旋体属血流感染
J Pak Med Assoc. 2009 Oct;59(10):723-4.
7
Colonisation of pet shop puppies with Brachyspira pilosicoli.宠物店幼犬被短螺旋体定植。
Vet Microbiol. 2003 May 19;93(2):167-74. doi: 10.1016/s0378-1135(03)00017-8.
8
Isolation and antimicrobial susceptibility of Brachy -spira species from feces of layer chickens in Germany.德国蛋鸡粪便中短螺旋体属细菌的分离及药敏试验
Tierarztl Prax Ausg G Grosstiere Nutztiere. 2018 Feb;46(1):29-34. doi: 10.15653/TPG-170168. Epub 2018 Feb 21.
9
Clinicopathologic study of intestinal spirochetosis in Japan with special reference to human immunodeficiency virus infection status and species types: analysis of 5265 consecutive colorectal biopsies.日本肠道螺旋体病的临床病理研究:特别关注人类免疫缺陷病毒感染状况及菌种类型——对5265例连续结直肠活检的分析
BMC Infect Dis. 2015 Jan 13;15:13. doi: 10.1186/s12879-014-0736-4.
10
Classification of Brachyspira spp. isolated from Swedish dogs.从瑞典犬类中分离出的短螺旋体属的分类。
Anim Health Res Rev. 2001 Jun;2(1):75-82.

引用本文的文献

1
Clinical and Pathologic Factors Associated With Colonic Spirochete (Brachyspira pilosicoli and Brachyspira aalborgi) Infection: A Comprehensive Systematic Review and Pooled Analysis.与结肠螺旋体(多毛螺旋体和阿氏螺旋体)感染相关的临床和病理因素:全面系统评价和汇总分析。
Am J Clin Pathol. 2023 Oct 3;160(4):335-340. doi: 10.1093/ajcp/aqad063.

本文引用的文献

1
Portal venous gas and pneumatosis intestinalis: ominous findings with an idiopathic aetiology.门静脉气体和肠壁积气:病因不明的不祥发现。
J Surg Case Rep. 2019 Feb 8;2019(2):rjy352. doi: 10.1093/jscr/rjy352. eCollection 2019 Feb.
2
The comparison of the intensity of human intestinal spirochetes between and infections.与感染之间人体肠道螺旋体强度的比较。 (原文中“between and ”表述不完整,可能影响准确理解,以上是按现有内容翻译)
J Clin Biochem Nutr. 2019 Jan;64(1):86-90. doi: 10.3164/jcbn.18-68. Epub 2018 Nov 28.
3
Human intestinal spirochetosis mimicking ulcerative colitis.
酷似溃疡性结肠炎的人类肠道螺旋体病。
Clin J Gastroenterol. 2018 Apr;11(2):145-149. doi: 10.1007/s12328-017-0807-3. Epub 2017 Dec 4.
4
Genes encoding ten newly designated OXA-63 group class D β-lactamases identified in strains of the pathogenic intestinal spirochaete Brachyspira pilosicoli.在致病性肠道螺旋体短螺旋体菌株中鉴定出的编码十种新命名的OXA-63组D类β-内酰胺酶的基因。
J Med Microbiol. 2015 Nov;64(11):1425-1435. doi: 10.1099/jmm.0.000162. Epub 2015 Aug 26.
5
Clinicopathologic study of intestinal spirochetosis in Japan with special reference to human immunodeficiency virus infection status and species types: analysis of 5265 consecutive colorectal biopsies.日本肠道螺旋体病的临床病理研究:特别关注人类免疫缺陷病毒感染状况及菌种类型——对5265例连续结直肠活检的分析
BMC Infect Dis. 2015 Jan 13;15:13. doi: 10.1186/s12879-014-0736-4.
6
Intestinal spirochetosis: an enigmatic disease.肠螺旋体病:一种神秘的疾病。
Dig Dis Sci. 2013 Jan;58(1):202-8. doi: 10.1007/s10620-012-2305-2. Epub 2012 Aug 1.
7
Human intestinal spirochaetosis in northern Japan.日本北部的人类肠道螺旋体病。
J Med Microbiol. 2010 Jul;59(Pt 7):791-796. doi: 10.1099/jmm.0.017376-0. Epub 2010 Apr 8.
8
Imprint cytology detects floating Brachyspira in human intestinal spirochetosis.印片细胞学检测到人类肠道螺旋体病中的漂浮短螺旋体。
Hum Pathol. 2010 Feb;41(2):249-54. doi: 10.1016/j.humpath.2009.07.020.
9
Brachyspira pilosicoli bloodstream infections: case report and review of the literature.豕短螺旋体血流感染:病例报告及文献综述
Ann Clin Microbiol Antimicrob. 2008 Sep 25;7:19. doi: 10.1186/1476-0711-7-19.
10
Human intestinal spirochetosis in Japan; its incidence, clinicopathologic features, and genotypic identification.日本的人体肠道螺旋体病;其发病率、临床病理特征及基因型鉴定。
Mod Pathol. 2008 Feb;21(2):76-84. doi: 10.1038/modpathol.3800987. Epub 2007 Dec 14.