• 文献检索
  • 文档翻译
  • 深度研究
  • 学术资讯
  • Suppr Zotero 插件Zotero 插件
  • 邀请有礼
  • 套餐&价格
  • 历史记录
应用&插件
Suppr Zotero 插件Zotero 插件浏览器插件Mac 客户端Windows 客户端微信小程序
定价
高级版会员购买积分包购买API积分包
服务
文献检索文档翻译深度研究API 文档MCP 服务
关于我们
关于 Suppr公司介绍联系我们用户协议隐私条款
关注我们

Suppr 超能文献

核心技术专利:CN118964589B侵权必究
粤ICP备2023148730 号-1Suppr @ 2026

文献检索

告别复杂PubMed语法,用中文像聊天一样搜索,搜遍4000万医学文献。AI智能推荐,让科研检索更轻松。

立即免费搜索

文件翻译

保留排版,准确专业,支持PDF/Word/PPT等文件格式,支持 12+语言互译。

免费翻译文档

深度研究

AI帮你快速写综述,25分钟生成高质量综述,智能提取关键信息,辅助科研写作。

立即免费体验

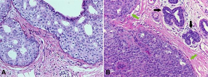
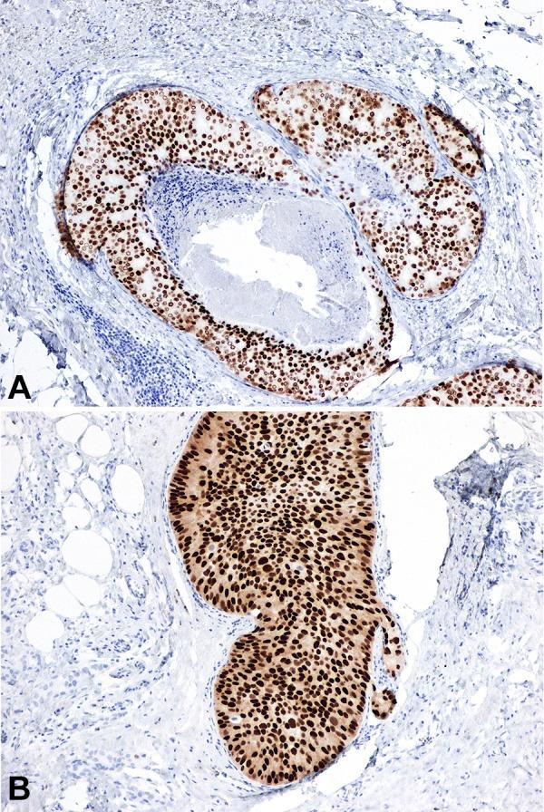
教学案例:导管原位癌(DCIS)。

Educational Case: Ductal Carcinoma In Situ (DCIS).

作者信息

Komforti Miglena K, Harmon Bryan E

机构信息

Department of Pathology, Montefiore Medical Center, Bronx, NY, USA.

出版信息

Acad Pathol. 2019 Nov 21;6:2374289519888727. doi: 10.1177/2374289519888727. eCollection 2019 Jan-Dec.

DOI:10.1177/2374289519888727
PMID:31799385
原文链接:https://pmc.ncbi.nlm.nih.gov/articles/PMC6873275/
Abstract

..

摘要

..

https://cdn.ncbi.nlm.nih.gov/pmc/blobs/c498/6873275/d18e54b88f94/10.1177_2374289519888727-fig6.jpg
https://cdn.ncbi.nlm.nih.gov/pmc/blobs/c498/6873275/909a8e32efe2/10.1177_2374289519888727-fig1.jpg
https://cdn.ncbi.nlm.nih.gov/pmc/blobs/c498/6873275/b1a9be183eee/10.1177_2374289519888727-fig2.jpg
https://cdn.ncbi.nlm.nih.gov/pmc/blobs/c498/6873275/771ddec8b4cc/10.1177_2374289519888727-fig3.jpg
https://cdn.ncbi.nlm.nih.gov/pmc/blobs/c498/6873275/b2da7565b783/10.1177_2374289519888727-fig4.jpg
https://cdn.ncbi.nlm.nih.gov/pmc/blobs/c498/6873275/2514174573c6/10.1177_2374289519888727-fig5.jpg
https://cdn.ncbi.nlm.nih.gov/pmc/blobs/c498/6873275/d18e54b88f94/10.1177_2374289519888727-fig6.jpg
https://cdn.ncbi.nlm.nih.gov/pmc/blobs/c498/6873275/909a8e32efe2/10.1177_2374289519888727-fig1.jpg
https://cdn.ncbi.nlm.nih.gov/pmc/blobs/c498/6873275/b1a9be183eee/10.1177_2374289519888727-fig2.jpg
https://cdn.ncbi.nlm.nih.gov/pmc/blobs/c498/6873275/771ddec8b4cc/10.1177_2374289519888727-fig3.jpg
https://cdn.ncbi.nlm.nih.gov/pmc/blobs/c498/6873275/b2da7565b783/10.1177_2374289519888727-fig4.jpg
https://cdn.ncbi.nlm.nih.gov/pmc/blobs/c498/6873275/2514174573c6/10.1177_2374289519888727-fig5.jpg
https://cdn.ncbi.nlm.nih.gov/pmc/blobs/c498/6873275/d18e54b88f94/10.1177_2374289519888727-fig6.jpg

相似文献

1
Educational Case: Ductal Carcinoma In Situ (DCIS).教学案例:导管原位癌(DCIS)。
Acad Pathol. 2019 Nov 21;6:2374289519888727. doi: 10.1177/2374289519888727. eCollection 2019 Jan-Dec.
2
Educational Case: Invasive Ductal Carcinoma of the Breast.教学病例:乳腺浸润性导管癌
Acad Pathol. 2020 Jan 21;7:2374289519897390. doi: 10.1177/2374289519897390. eCollection 2020 Jan-Dec.
3
Educational Case: Bladder Carcinoma In Situ.教学病例:原位膀胱癌
Acad Pathol. 2018 Aug 14;5:2374289517719858. doi: 10.1177/2374289517719858. eCollection 2018 Jan-Dec.
4
Educational Case: Renal Cell and Urothelial Carcinoma.教学案例:肾细胞癌和尿路上皮癌
Acad Pathol. 2020 Sep 21;7:2374289520956363. doi: 10.1177/2374289520956363. eCollection 2020 Jan-Dec.
5
Educational Case: Esophageal Carcinoma.教学案例:食管癌
Acad Pathol. 2020 Jan 22;7:2374289519897383. doi: 10.1177/2374289519897383. eCollection 2020 Jan-Dec.
6
Educational Case: Radiation-Induced Angiosarcoma of the Breast.教育案例:乳腺放射性血管肉瘤
Acad Pathol. 2021 Dec 14;8:23742895211060529. doi: 10.1177/23742895211060529. eCollection 2021 Jan-Dec.
7
Educational Case: Basal Cell Carcinoma.教育案例:基底细胞癌
Acad Pathol. 2021 Mar 8;8:2374289521998030. doi: 10.1177/2374289521998030. eCollection 2021 Jan-Dec.
8
Educational Case: Medullary Thyroid Carcinoma.教学病例:甲状腺髓样癌
Acad Pathol. 2018 Jun 11;5:2374289518770173. doi: 10.1177/2374289518770173. eCollection 2018 Jan-Dec.
9
Educational Case: Fibroadenoma of the Breast.教学案例:乳腺纤维瘤
Acad Pathol. 2018 Aug 24;5:2374289518790926. doi: 10.1177/2374289518790926. eCollection 2018 Jan-Dec.
10
Educational Case: Urothelial Carcinoma: An Overview of Pathologic Diagnosis.教育案例:尿路上皮癌:病理诊断概述
Acad Pathol. 2020 Sep 30;7:2374289520958172. doi: 10.1177/2374289520958172. eCollection 2020 Jan-Dec.

引用本文的文献

1
Evaluation of the intramammary distribution of breast lesions detected by MRI but not conventional second-look B-mode ultrasound using an MRI/ultrasound fusion technique.应用 MRI/超声融合技术评估 MRI 检出而常规二次 B 型超声未检出的乳腺病变的乳腺内分布。
BMC Med Imaging. 2024 Aug 1;24(1):200. doi: 10.1186/s12880-024-01369-3.

本文引用的文献

1
Pathology Competencies for Medical Education and Educational Cases.医学教育病理学能力与教育案例
Acad Pathol. 2017 Jul 24;4:2374289517715040. doi: 10.1177/2374289517715040. eCollection 2017 Jan-Dec.
2
Microcalcification on mammography: approaches to interpretation and biopsy.乳腺钼靶摄影中的微钙化:解读与活检方法
Br J Radiol. 2017 Jan;90(1069):20160594. doi: 10.1259/bjr.20160594. Epub 2016 Oct 17.
3
Ductal carcinoma in situ at core-needle biopsy: meta-analysis of underestimation and predictors of invasive breast cancer.
乳腺导管原位癌的核心针活检:低估的荟萃分析和浸润性乳腺癌的预测因素。
Radiology. 2011 Jul;260(1):119-28. doi: 10.1148/radiol.11102368. Epub 2011 Apr 14.
4
Imaging for the diagnosis and management of ductal carcinoma in situ.导管原位癌诊断与管理的影像学检查
J Natl Cancer Inst Monogr. 2010;2010(41):214-7. doi: 10.1093/jncimonographs/lgq037.
5
Ductal carcinoma in situ of the breast with close or focally involved margins following breast-conserving surgery: treatment with reexcision or radiotherapy with increased dosage.保乳手术后切缘接近或局灶受累的乳腺导管原位癌:再次切除或增加剂量放疗的治疗方法
Int J Radiat Oncol Biol Phys. 2009 Nov 15;75(4):1021-8. doi: 10.1016/j.ijrobp.2008.12.014. Epub 2009 Apr 20.
6
Role of primary tumor characteristics in predicting positive sentinel lymph nodes in patients with ductal carcinoma in situ or microinvasive breast cancer.原位导管癌或微浸润性乳腺癌患者中,原发肿瘤特征在预测前哨淋巴结阳性方面的作用。
Am J Surg. 2008 Jul;196(1):81-7. doi: 10.1016/j.amjsurg.2007.08.057. Epub 2008 Apr 23.
7
Sentinel node procedure is warranted in ductal carcinoma in situ with high risk of occult invasive carcinoma and microinvasive carcinoma treated by mastectomy.对于接受乳房切除术治疗的具有隐匿性浸润癌和微浸润癌高风险的导管原位癌,前哨淋巴结活检是必要的。
Breast J. 2008 Mar-Apr;14(2):135-40. doi: 10.1111/j.1524-4741.2007.00543.x.
8
Absolute risk reductions for local recurrence after postoperative radiotherapy after sector resection for ductal carcinoma in situ of the breast.乳腺导管原位癌区段切除术后放疗后局部复发的绝对风险降低率。
J Clin Oncol. 2008 Mar 10;26(8):1247-52. doi: 10.1200/JCO.2007.12.7969. Epub 2008 Feb 4.
9
Tamoxifen in ductal carcinoma in situ.他莫昔芬用于导管原位癌
Semin Oncol. 2006 Dec;33(6):647-9. doi: 10.1053/j.seminoncol.2006.08.019.
10
Tamoxifen--an update on current data and where it can now be used.他莫昔芬——当前数据的更新以及其目前的应用范围。
Breast Cancer Res Treat. 2002 Oct;75 Suppl 1:S7-12; discussion S33-5. doi: 10.1023/a:1020353530963.