Suppr超能文献

LB100 通过 AMPK/Sirt1 通路改善非酒精性脂肪性肝病。

LB100 ameliorates nonalcoholic fatty liver disease the AMPK/Sirt1 pathway.

机构信息

Department of Gastroenterology, The First Affiliated Hospital, College of Medicine, Zhejiang University, Hangzhou 310003, Zhejiang Province, China.

出版信息

World J Gastroenterol. 2019 Dec 7;25(45):6607-6618. doi: 10.3748/wjg.v25.i45.6607.

Abstract

BACKGROUND

It is well known that nonalcoholic fatty liver disease (NAFLD) is associated with insulin resistance (IR). LB100, a serine/threonine protein phosphatase 2A (PP2A) inhibitor, is closely related to IR. However, there is little data regarding its direct influence on NAFLD.

AIM

To elucidate the effect and underlying mechanism of LB100 in NAFLD.

METHODS

After 10 wk of high fat diet (HFD) feeding, male C57BL/6 mice were injected intraperitoneally with vehicle or LB100 for an additional 6 wk (three times a week). The L02 cell line was treated with LB100 and free fatty acids (FFAs) for 24 h. Hematoxylin and eosin and oil red O staining were performed for histological examination. Western blot analysis was used to detect the protein expression of Sirtuin 1 (Sirt1), total and phosphorylated AMP-activated protein kinase α (AMPKα), and the proteins involved in lipogenesis and fatty acid oxidation. The mRNA levels were determined by qPCR. Pharmacological inhibition of AMPK was performed to further examine the exact mechanism of LB100 in NAFLD.

RESULTS

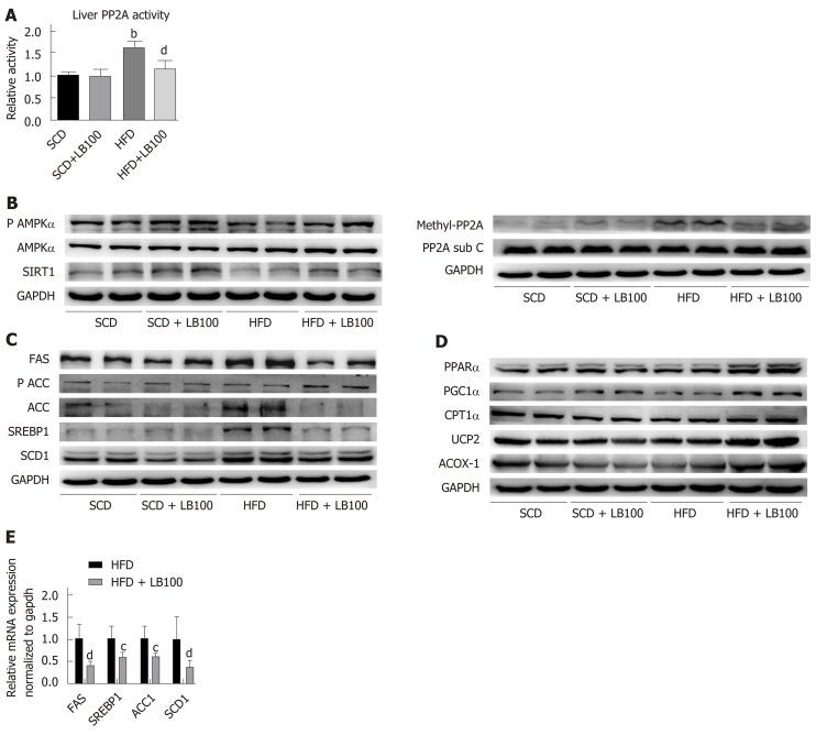
LB100 significantly ameliorated HFD-induced obesity, hepatic lipid accumulation and hepatic injury in mice. In addition, LB100 significantly downregulated the protein levels of acetyl-CoA carboxylase, sterol regulatory element-binding protein 1 and its lipogenesis target genes, including stearoyl-CoA desaturase-1 and fatty acid synthase, and upregulated the levels of proteins involved in fatty acid β-oxidation, such as peroxisome proliferator-activated receptor α (PPARα), peroxisome proliferator-activated receptor gamma coactivator-1α (PGC-1α), carnitine palmitoyltransferase 1α, acyl-CoA oxidase 1 and uncoupling protein 2, as well as the upstream mediators Sirt1 and AMPKα in the livers of HFD-fed mice. , LB100 alleviated FFA-induced lipid accumulation in L02 cells through the AMPK/Sirt1 signaling pathway. Further studies showed that the curative effect of LB100 on lipid accumulation was abolished by inhibiting AMPKα in L02 cells.

CONCLUSION

PP2A inhibition by LB100 significantly ameliorates hepatic steatosis by regulating hepatic lipogenesis and fatty acid oxidation the AMPK/Sirt1 pathway. LB100 may be a potential therapeutic agent for NAFLD.

摘要

背景

众所周知,非酒精性脂肪性肝病(NAFLD)与胰岛素抵抗(IR)有关。LB100 是一种丝氨酸/苏氨酸蛋白磷酸酶 2A(PP2A)抑制剂,与 IR 密切相关。然而,关于其对 NAFLD 的直接影响的数据很少。

目的

阐明 LB100 在 NAFLD 中的作用及其潜在机制。

方法

高脂饮食(HFD)喂养 10 周后,雄性 C57BL/6 小鼠每周三次腹腔内注射载体或 LB100 共 6 周。LB100 和游离脂肪酸(FFAs)处理 L02 细胞 24 小时。进行苏木精和伊红及油红 O 染色进行组织学检查。Western blot 分析用于检测 Sirtuin 1(Sirt1)、总和磷酸化 AMP 激活的蛋白激酶 α(AMPKα)以及参与脂肪生成和脂肪酸氧化的蛋白的蛋白表达。通过 qPCR 确定 mRNA 水平。进行 AMPK 的药理学抑制以进一步研究 LB100 在 NAFLD 中的确切机制。

结果

LB100 显著改善了 HFD 诱导的肥胖、肝脂质蓄积和肝损伤。此外,LB100 显著下调了乙酰辅酶 A 羧化酶、固醇调节元件结合蛋白 1 及其脂肪生成靶基因的蛋白水平,包括硬脂酰辅酶 A 去饱和酶 1 和脂肪酸合成酶,并上调了脂肪酸 β-氧化相关蛋白的水平,如过氧化物酶体增殖物激活受体 α(PPARα)、过氧化物酶体增殖物激活受体γ共激活剂 1α(PGC-1α)、肉碱棕榈酰转移酶 1α、酰基辅酶 A 氧化酶 1 和解偶联蛋白 2,以及 HFD 喂养小鼠肝脏中的上游介质 Sirt1 和 AMPKα。此外,LB100 通过 AMPK/Sirt1 信号通路减轻了 L02 细胞中 FFA 诱导的脂质积累。进一步的研究表明,在 L02 细胞中抑制 AMPKα 可消除 LB100 对脂质积累的治疗效果。

结论

LB100 通过调节肝脂肪生成和脂肪酸氧化,通过抑制 PP2A 显著改善肝脂肪变性 AMPK/Sirt1 通路。LB100 可能是治疗 NAFLD 的一种潜在治疗剂。

https://cdn.ncbi.nlm.nih.gov/pmc/blobs/d16b/6906208/6b32be5517cd/WJG-25-6607-g001.jpg

文献检索

告别复杂PubMed语法,用中文像聊天一样搜索,搜遍4000万医学文献。AI智能推荐,让科研检索更轻松。

立即免费搜索

文件翻译

保留排版,准确专业,支持PDF/Word/PPT等文件格式,支持 12+语言互译。

免费翻译文档

深度研究

AI帮你快速写综述,25分钟生成高质量综述,智能提取关键信息,辅助科研写作。

立即免费体验