Suppr超能文献

外膜成纤维细胞衍生的细胞外囊泡中的MiR155 - 5p通过抑制血管紧张素转换酶表达来抑制血管平滑肌细胞增殖。

MiR155-5p in adventitial fibroblasts-derived extracellular vesicles inhibits vascular smooth muscle cell proliferation via suppressing angiotensin-converting enzyme expression.

作者信息

Ren Xing-Sheng, Tong Ying, Qiu Yun, Ye Chao, Wu Nan, Xiong Xiao-Qing, Wang Jue-Jin, Han Ying, Zhou Ye-Bo, Zhang Feng, Sun Hai-Jian, Gao Xing-Ya, Chen Qi, Li Yue-Hua, Kang Yu-Ming, Zhu Guo-Qing

机构信息

Key Laboratory of Targeted Intervention of Cardiovascular Disease, Collaborative Innovation Center of Translational Medicine for Cardiovascular Disease, and Department of Physiology, Nanjing Medical University, Nanjing, Jiangsu, China.

Department of Pathophysiology, Nanjing Medical University, Nanjing, Jiangsu, China.

出版信息

J Extracell Vesicles. 2019 Dec 2;9(1):1698795. doi: 10.1080/20013078.2019.1698795. eCollection 2020.

Abstract

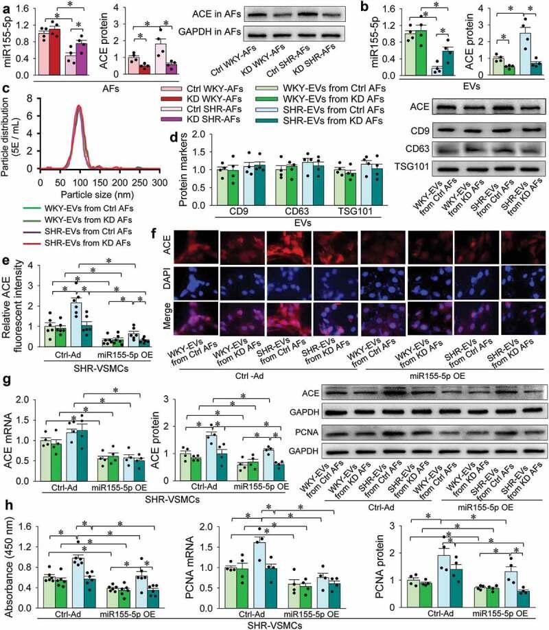
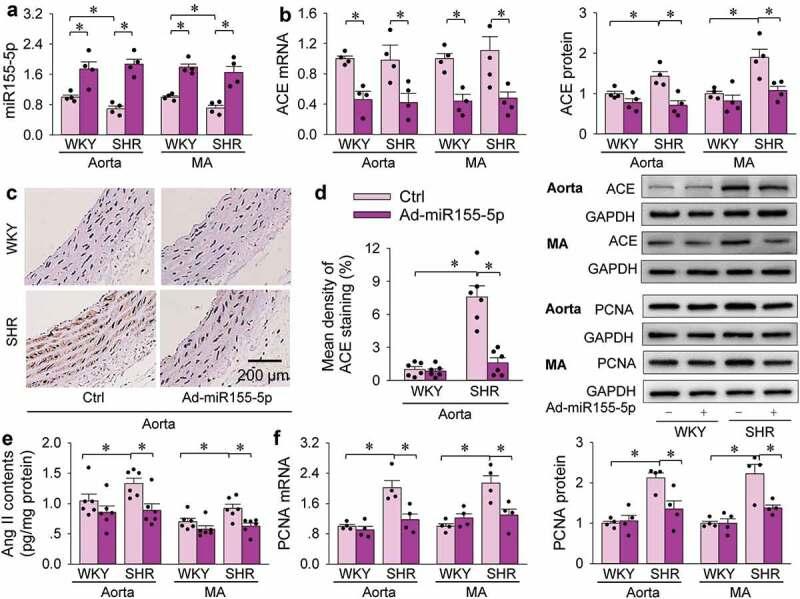
Proliferation of vascular smooth muscle cells (VSMCs) plays crucial roles in vascular remodelling and stiffening in hypertension. Vascular adventitial fibroblasts are a key regulator of vascular wall function and structure. This study is designed to investigate the roles of adventitial fibroblasts-derived extracellular vesicles (EVs) in VSMC proliferation and vascular remodelling in normotensive Wistar-Kyoto rat (WKY) and spontaneously hypertensive rat (SHR), an animal model of human essential hypertension. EVs were isolated from aortic adventitial fibroblasts of WKY (WKY-EVs) and SHR (SHR-EVs). Compared with WKY-EVs, miR155-5p content was reduced, while angiotensin-converting enzyme (ACE) content was increased in SHR-EVs. WKY-EVs inhibited VSMC proliferation of SHR, which was prevented by miR155-5p inhibitor. SHR-EVs promoted VSMC proliferation of both strains, which was enhanced by miR155-5p inhibitor, but abolished by captopril or losartan. Dual luciferase reporter assay showed that ACE was a target gene of miR155-5p. MiR155-5p mimic or overexpression inhibited VSMC proliferation and ACE upregulation of SHR. WKY-EVs reduced ACE mRNA and protein expressions while SHR-EVs only increased ACE protein level in VSMCs of both strains. However, the SHR-EVs-derived from the ACE knockdown-treated adventitial fibroblasts lost the roles in promoting VSMC proliferation and ACE upregulation. Systemic miR155-5p overexpression reduced vascular ACE, angiotensin II and proliferating cell nuclear antigen levels, and attenuated hypertension and vascular remodelling in SHR. Repetitive intravenous injection of SHR-EVs increased blood pressure and vascular ACE contents, and promoted vascular remodelling in both strains, while WKY-EVs reduced vascular ACE contents and attenuated hypertension and vascular remodelling in SHR. We concluded that WKY-EVs-mediated miR155-5p transfer attenuates VSMC proliferation and vascular remodelling in SHR via suppressing ACE expression, while SHR-EVs-mediated ACE transfer promotes VSMC proliferation and vascular remodelling.

摘要

血管平滑肌细胞(VSMC)的增殖在高血压引起的血管重塑和硬化过程中起着关键作用。血管外膜成纤维细胞是血管壁功能和结构的关键调节因子。本研究旨在探讨正常血压的Wistar-Kyoto大鼠(WKY)和自发性高血压大鼠(SHR,人类原发性高血压动物模型)中外膜成纤维细胞衍生的细胞外囊泡(EVs)在VSMC增殖和血管重塑中的作用。从WKY(WKY-EVs)和SHR(SHR-EVs)的主动脉外膜成纤维细胞中分离出EVs。与WKY-EVs相比,SHR-EVs中miR155-5p含量降低,而血管紧张素转换酶(ACE)含量增加。WKY-EVs抑制SHR的VSMC增殖,而miR155-5p抑制剂可阻止这种抑制作用。SHR-EVs促进两种品系的VSMC增殖,miR155-5p抑制剂可增强这种促进作用,但卡托普利或氯沙坦可消除这种作用。双荧光素酶报告基因检测表明ACE是miR155-5p的靶基因。miR155-5p模拟物或过表达可抑制SHR的VSMC增殖和ACE上调。WKY-EVs降低ACE mRNA和蛋白表达,而SHR-EVs仅增加两种品系VSMC中的ACE蛋白水平。然而,源自ACE敲低处理的外膜成纤维细胞的SHR-EVs失去了促进VSMC增殖和ACE上调的作用。全身性miR155-5p过表达降低了血管ACE、血管紧张素II和增殖细胞核抗原水平,并减轻了SHR的高血压和血管重塑。重复静脉注射SHR-EVs可升高血压和血管ACE含量,并促进两种品系的血管重塑,而WKY-EVs可降低血管ACE含量,并减轻SHR的高血压和血管重塑。我们得出结论,WKY-EVs介导的miR155-5p转移通过抑制ACE表达减弱SHR的VSMC增殖和血管重塑,而SHR-EVs介导的ACE转移促进VSMC增殖和血管重塑。

https://cdn.ncbi.nlm.nih.gov/pmc/blobs/b54d/6896498/b1bd0e86431f/ZJEV_A_1698795_F0001_OC.jpg

文献检索

告别复杂PubMed语法,用中文像聊天一样搜索,搜遍4000万医学文献。AI智能推荐,让科研检索更轻松。

立即免费搜索

文件翻译

保留排版,准确专业,支持PDF/Word/PPT等文件格式,支持 12+语言互译。

免费翻译文档

深度研究

AI帮你快速写综述,25分钟生成高质量综述,智能提取关键信息,辅助科研写作。

立即免费体验