Laboratory for Neurodegenerative Diseases and Personalized Medicine, Department of Cell Research and Immunology, The George S. Wise Faculty for Life Sciences, Sagol School of Neurosciences, Tel Aviv University, Ramat Aviv 69978, Israel.
GIGA-Stem Cells and GIGA-Neurosciences, Interdisciplinary Cluster for Applied Genoproteomics (GIGA-R), University of Liège, CHU Sart Tilman, Liège 4000, Belgium.
Sci Adv. 2019 Dec 18;5(12):eaax2705. doi: 10.1126/sciadv.aax2705. eCollection 2019 Dec.
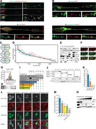
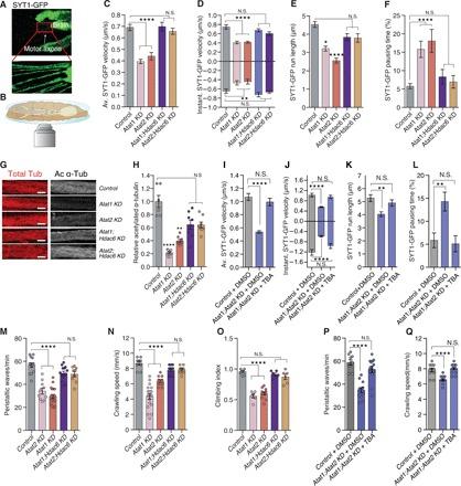
Microtubules are polymerized dimers of α- and β-tubulin that underlie a broad range of cellular activities. Acetylation of α-tubulin by the acetyltransferase ATAT1 modulates microtubule dynamics and functions in neurons. However, it remains unclear how this enzyme acetylates microtubules over long distances in axons. Here, we show that loss of ATAT1 impairs axonal transport in neurons in vivo, and cell-free motility assays confirm a requirement of α-tubulin acetylation for proper bidirectional vesicular transport. Moreover, we demonstrate that the main cellular pool of ATAT1 is transported at the cytosolic side of neuronal vesicles that are moving along axons. Together, our data suggest that axonal transport of ATAT1-enriched vesicles is the predominant driver of α-tubulin acetylation in axons.
微管是由α-和β-微管蛋白组成的聚合二聚体,为多种细胞活动提供基础。乙酰转移酶 ATAT1 对 α-微管蛋白的乙酰化修饰调节神经元中的微管动态和功能。然而,目前尚不清楚这种酶如何在轴突中长距离乙酰化微管。在这里,我们发现 ATAT1 的缺失会损害体内神经元中的轴突运输,并且无细胞运动分析证实了 α-微管蛋白乙酰化对于适当的双向囊泡运输是必需的。此外,我们证明了 ATAT1 的主要细胞池在沿着轴突移动的神经元囊泡的细胞质侧被转运。总之,我们的数据表明富含 ATAT1 的囊泡的轴突运输是轴突中 α-微管蛋白乙酰化的主要驱动因素。