• 文献检索
  • 文档翻译
  • 深度研究
  • 学术资讯
  • Suppr Zotero 插件Zotero 插件
  • 邀请有礼
  • 套餐&价格
  • 历史记录
应用&插件
Suppr Zotero 插件Zotero 插件浏览器插件Mac 客户端Windows 客户端微信小程序
定价
高级版会员购买积分包购买API积分包
服务
文献检索文档翻译深度研究API 文档MCP 服务
关于我们
关于 Suppr公司介绍联系我们用户协议隐私条款
关注我们

Suppr 超能文献

核心技术专利:CN118964589B侵权必究
粤ICP备2023148730 号-1Suppr @ 2026

文献检索

告别复杂PubMed语法,用中文像聊天一样搜索,搜遍4000万医学文献。AI智能推荐,让科研检索更轻松。

立即免费搜索

文件翻译

保留排版,准确专业,支持PDF/Word/PPT等文件格式,支持 12+语言互译。

免费翻译文档

深度研究

AI帮你快速写综述,25分钟生成高质量综述,智能提取关键信息,辅助科研写作。

立即免费体验

m⁶A RNA修饰的表观遗传阅读器的致癌作用:YTHDF1在默克尔细胞癌中的作用

Oncogenic Role of an Epigenetic Reader of mA RNA Modification: YTHDF1 in Merkel Cell Carcinoma.

作者信息

Orouji Elias, Peitsch Wiebke K, Orouji Azadeh, Houben Roland, Utikal Jochen

机构信息

Skin Cancer Unit, German Cancer Research Center (DKFZ), Im Neuenheimer Feld 280, 69120 Heidelberg, Germany.

Department of Dermatology, Venereology and Allergology, University Medical Center Mannheim, Ruprecht-Karl University of Heidelberg, Theodor-Kutzer-Ufer 1-3, 68167 Mannheim, Germany.

出版信息

Cancers (Basel). 2020 Jan 14;12(1):202. doi: 10.3390/cancers12010202.

DOI:10.3390/cancers12010202
PMID:31947544
原文链接:https://pmc.ncbi.nlm.nih.gov/articles/PMC7016651/
Abstract

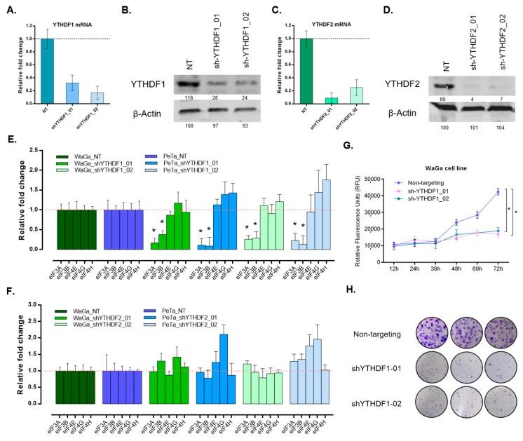
Merkel cell carcinoma is a deadly skin cancer, which in the majority of cases is caused by the Merkel cell polyomavirus (MCPyV). The viral small T antigen is regarded as the dominant oncoprotein expressed in the tumor cells. We used genomic screening of copy number aberrations along with transcriptomic analysis to investigate regions with amplification that harbor differentially expressed genes. We identified YTHDF1, a protein that is a reader of N-methyladenosine (mA) RNA modifications, to have high copy gains and to be highly expressed in Merkel cell carcinoma. Importantly, we identified the presence of mA on small T antigen mRNA suggesting a relation between YTHDF1 amplification and MCPyV gene expression. Interestingly, knockdown of YTHDF1 in Merkel cell carcinoma (MCC) cell lines negatively affected the translation initiation factor eIF3 and reduced proliferation and clonogenic capacity in vitro. Furthermore, analysis of survival data revealed worse overall survival in YTHDF1 MCC patients compared to YTHDF1 patients. Our findings indicate a novel oncogenic role of YTHDF1 through mA machinery in the tumorigenesis of MCC.

摘要

默克尔细胞癌是一种致命的皮肤癌,在大多数情况下由默克尔细胞多瘤病毒(MCPyV)引起。病毒小T抗原被认为是肿瘤细胞中表达的主要致癌蛋白。我们使用拷贝数变异的基因组筛选以及转录组分析来研究含有差异表达基因的扩增区域。我们鉴定出YTHDF1,一种作为N-甲基腺苷(mA)RNA修饰识别蛋白的蛋白质,在默克尔细胞癌中具有高拷贝增益且高表达。重要的是,我们在小T抗原mRNA上鉴定出了mA 的存在,这表明YTHDF1扩增与MCPyV基因表达之间存在关联。有趣的是,在默克尔细胞癌(MCC)细胞系中敲低YTHDF1会对翻译起始因子eIF3产生负面影响,并降低体外增殖和克隆形成能力。此外,生存数据分析显示,与YTHDF1阴性的患者相比,YTHDF1阳性的MCC患者总生存期更差。我们的研究结果表明,YTHDF1通过mA机制在MCC的肿瘤发生中具有新的致癌作用。

https://cdn.ncbi.nlm.nih.gov/pmc/blobs/bd82/7016651/0c93166f4124/cancers-12-00202-g005.jpg
https://cdn.ncbi.nlm.nih.gov/pmc/blobs/bd82/7016651/4718d58a53af/cancers-12-00202-g001a.jpg
https://cdn.ncbi.nlm.nih.gov/pmc/blobs/bd82/7016651/526655b1f260/cancers-12-00202-g002a.jpg
https://cdn.ncbi.nlm.nih.gov/pmc/blobs/bd82/7016651/923ace65ebf7/cancers-12-00202-g003.jpg
https://cdn.ncbi.nlm.nih.gov/pmc/blobs/bd82/7016651/e86a236e41ca/cancers-12-00202-g004.jpg
https://cdn.ncbi.nlm.nih.gov/pmc/blobs/bd82/7016651/0c93166f4124/cancers-12-00202-g005.jpg
https://cdn.ncbi.nlm.nih.gov/pmc/blobs/bd82/7016651/4718d58a53af/cancers-12-00202-g001a.jpg
https://cdn.ncbi.nlm.nih.gov/pmc/blobs/bd82/7016651/526655b1f260/cancers-12-00202-g002a.jpg
https://cdn.ncbi.nlm.nih.gov/pmc/blobs/bd82/7016651/923ace65ebf7/cancers-12-00202-g003.jpg
https://cdn.ncbi.nlm.nih.gov/pmc/blobs/bd82/7016651/e86a236e41ca/cancers-12-00202-g004.jpg
https://cdn.ncbi.nlm.nih.gov/pmc/blobs/bd82/7016651/0c93166f4124/cancers-12-00202-g005.jpg

相似文献

1
Oncogenic Role of an Epigenetic Reader of mA RNA Modification: YTHDF1 in Merkel Cell Carcinoma.m⁶A RNA修饰的表观遗传阅读器的致癌作用:YTHDF1在默克尔细胞癌中的作用
Cancers (Basel). 2020 Jan 14;12(1):202. doi: 10.3390/cancers12010202.
2
Merkel cell polyomavirus and non-Merkel cell carcinomas: guilty or circumstantial evidence? Merkel 细胞多瘤病毒与非 Merkel 细胞癌:确凿证据还是间接证据?
APMIS. 2020 Feb;128(2):104-120. doi: 10.1111/apm.13019. Epub 2020 Jan 28.
3
Characterization of six Merkel cell polyomavirus-positive Merkel cell carcinoma cell lines: Integration pattern suggest that large T antigen truncating events occur before or during integration.鉴定六株 Merkel 细胞多瘤病毒阳性 Merkel 细胞癌细胞系:整合模式表明,大 T 抗原截断事件发生在整合之前或整合过程中。
Int J Cancer. 2019 Aug 15;145(4):1020-1032. doi: 10.1002/ijc.32280. Epub 2019 Apr 4.
4
Detection of Merkel cell polyomavirus (MCPyV) in Merkel cell carcinoma cell lines: cell morphology and growth phenotype do not reflect presence of the virus.检测 Merkel 细胞多瘤病毒 (MCPyV) 在 Merkel 细胞癌细胞系中的存在:细胞形态和生长表型不能反映病毒的存在。
Int J Cancer. 2010 May 1;126(9):2133-42. doi: 10.1002/ijc.24877.
5
The m6A reader YTHDF1 promotes ovarian cancer progression via augmenting EIF3C translation.m6A 阅读器 YTHDF1 通过增强 EIF3C 翻译促进卵巢癌进展。
Nucleic Acids Res. 2020 Apr 17;48(7):3816-3831. doi: 10.1093/nar/gkaa048.
6
RB1 is the crucial target of the Merkel cell polyomavirus Large T antigen in Merkel cell carcinoma cells.RB1是默克尔细胞多瘤病毒大T抗原在默克尔细胞癌细胞中的关键靶点。
Oncotarget. 2016 May 31;7(22):32956-68. doi: 10.18632/oncotarget.8793.
7
N6-Methyladenosine Reader YTHDF1 Promotes ARHGEF2 Translation and RhoA Signaling in Colorectal Cancer.N6-甲基腺苷阅读器YTHDF1促进结直肠癌中的ARHGEF2翻译和RhoA信号传导。
Gastroenterology. 2022 Apr;162(4):1183-1196. doi: 10.1053/j.gastro.2021.12.269. Epub 2021 Dec 28.
8
YTHDF1 Regulates Tumorigenicity and Cancer Stem Cell-Like Activity in Human Colorectal Carcinoma.YTHDF1调节人类结直肠癌的致瘤性和癌症干细胞样活性。
Front Oncol. 2019 May 3;9:332. doi: 10.3389/fonc.2019.00332. eCollection 2019.
9
Merkel cell polyomavirus infection, large T antigen, retinoblastoma protein and outcome in Merkel cell carcinoma.默克尔细胞多瘤病毒感染、大 T 抗原、视网膜母细胞瘤蛋白与默克尔细胞癌的转归。
Clin Cancer Res. 2011 Jul 15;17(14):4806-13. doi: 10.1158/1078-0432.CCR-10-3363. Epub 2011 Jun 3.
10
Serine 220 phosphorylation of the Merkel cell polyomavirus large T antigen crucially supports growth of Merkel cell carcinoma cells.默克尔细胞多瘤病毒大T抗原的丝氨酸220磷酸化对默克尔细胞癌细胞的生长至关重要。
Int J Cancer. 2016 Mar 1;138(5):1153-62. doi: 10.1002/ijc.29862. Epub 2015 Oct 5.

引用本文的文献

1
RNA mA modification: a key regulator in normal and malignant processes.RNA mA修饰:正常和恶性过程中的关键调节因子。
Cell Investig. 2025 Jun;1(2). doi: 10.1016/j.clnves.2025.100023. Epub 2025 Jun 6.
2
Unlocking the potential: m6A-RNA methylation in severe epidermolysis bullosa simplex.挖掘潜能:单纯性大疱性表皮松解症中的m6A-RNA甲基化
Biosci Rep. 2025 Jul 22;45(7):BSR20253141. doi: 10.1042/BSR20253141.
3
Epigenetic regulation in oogenesis and fetal development: insights into m6A modifications.卵子发生和胎儿发育中的表观遗传调控:对m6A修饰的见解

本文引用的文献

1
YTHDF1 links hypoxia adaptation and non-small cell lung cancer progression.YTHDF1 连接缺氧适应与非小细胞肺癌进展。
Nat Commun. 2019 Oct 25;10(1):4892. doi: 10.1038/s41467-019-12801-6.
2
Histone methyltransferase SETDB1 contributes to melanoma tumorigenesis and serves as a new potential therapeutic target.组蛋白甲基转移酶 SETDB1 促进黑色素瘤肿瘤发生,可作为新的潜在治疗靶点。
Int J Cancer. 2019 Dec 15;145(12):3462-3477. doi: 10.1002/ijc.32432. Epub 2019 Jun 9.
3
Addition of m6A to SV40 late mRNAs enhances viral structural gene expression and replication.
Front Immunol. 2025 Apr 28;16:1516473. doi: 10.3389/fimmu.2025.1516473. eCollection 2025.
4
Targeting mA RNA Modification in Tumor Therapeutics.肿瘤治疗中针对 mA RNA 修饰
Curr Oncol. 2025 Mar 11;32(3):159. doi: 10.3390/curroncol32030159.
5
YTHDF1 gene inhibits epilepsy progression by epigenetic activation of PTEN gene.YTHDF1基因通过对PTEN基因进行表观遗传激活来抑制癫痫进展。
Heliyon. 2024 Oct 17;10(20):e39481. doi: 10.1016/j.heliyon.2024.e39481. eCollection 2024 Oct 30.
6
Modulation of host N6-methyladenosine modification by gut microbiota in colorectal cancer.肠道微生物群调控结直肠癌中的宿主 N6-甲基腺苷修饰。
World J Gastroenterol. 2024 Oct 14;30(38):4175-4193. doi: 10.3748/wjg.v30.i38.4175.
7
Reading the mA-encoded epitranscriptomic information in development and diseases.解读发育和疾病中由毫安编码的表观转录组信息。
Cell Biosci. 2024 Sep 28;14(1):124. doi: 10.1186/s13578-024-01293-7.
8
RNA modifications in cellular metabolism: implications for metabolism-targeted therapy and immunotherapy.细胞代谢中的 RNA 修饰:对代谢靶向治疗和免疫治疗的影响。
Signal Transduct Target Ther. 2024 Mar 27;9(1):70. doi: 10.1038/s41392-024-01777-5.
9
Role of N6-methyladenosine methylation in glioma: recent insights and future directions.N6-甲基腺苷甲基化在神经胶质瘤中的作用:最新见解与未来方向。
Cell Mol Biol Lett. 2023 Dec 11;28(1):103. doi: 10.1186/s11658-023-00514-0.
10
IGF2BP2 Drives Cell Cycle Progression in Triple-Negative Breast Cancer by Recruiting EIF4A1 to Promote the m6A-Modified CDK6 Translation Initiation Process.IGF2BP2 通过招募 EIF4A1 促进 m6A 修饰的 CDK6 翻译起始过程来驱动三阴性乳腺癌中的细胞周期进程。
Adv Sci (Weinh). 2024 Jan;11(1):e2305142. doi: 10.1002/advs.202305142. Epub 2023 Nov 20.
SV40 晚期 mRNA 上 m6A 的添加增强了病毒结构基因的表达和复制。
PLoS Pathog. 2018 Feb 15;14(2):e1006919. doi: 10.1371/journal.ppat.1006919. eCollection 2018 Feb.
4
Merkel Cell Polyomavirus Small T Antigen Initiates Merkel Cell Carcinoma-like Tumor Development in Mice.默克尔细胞多瘤病毒小T抗原引发小鼠默克尔细胞癌样肿瘤发展
Cancer Res. 2017 Jun 15;77(12):3151-3157. doi: 10.1158/0008-5472.CAN-17-0035. Epub 2017 May 16.
5
mA Demethylase ALKBH5 Maintains Tumorigenicity of Glioblastoma Stem-like Cells by Sustaining FOXM1 Expression and Cell Proliferation Program.mA 去甲基化酶 ALKBH5 通过维持 FOXM1 表达和细胞增殖程序来维持胶质母细胞瘤干细胞样细胞的致瘤性。
Cancer Cell. 2017 Apr 10;31(4):591-606.e6. doi: 10.1016/j.ccell.2017.02.013. Epub 2017 Mar 23.
6
FTO Plays an Oncogenic Role in Acute Myeloid Leukemia as a N-Methyladenosine RNA Demethylase.FTO作为一种N-甲基腺苷RNA去甲基化酶在急性髓系白血病中发挥致癌作用。
Cancer Cell. 2017 Jan 9;31(1):127-141. doi: 10.1016/j.ccell.2016.11.017. Epub 2016 Dec 22.
7
Merkel cell carcinoma: Epidemiology, prognosis, therapy and unmet medical needs.默克尔细胞癌:流行病学、预后、治疗和未满足的医疗需求。
Eur J Cancer. 2017 Jan;71:53-69. doi: 10.1016/j.ejca.2016.10.022. Epub 2016 Dec 14.
8
N6-Methyladenosine in Flaviviridae Viral RNA Genomes Regulates Infection.黄病毒科病毒RNA基因组中的N6-甲基腺苷调节感染。
Cell Host Microbe. 2016 Nov 9;20(5):654-665. doi: 10.1016/j.chom.2016.09.015. Epub 2016 Oct 20.
9
SRAMP: prediction of mammalian N6-methyladenosine (m6A) sites based on sequence-derived features.SRAMP:基于序列衍生特征预测哺乳动物N6-甲基腺苷(m6A)位点。
Nucleic Acids Res. 2016 Jun 2;44(10):e91. doi: 10.1093/nar/gkw104. Epub 2016 Feb 20.
10
MAP kinase pathway gene copy alterations in NRAS/BRAF wild-type advanced melanoma.NRAS/BRAF野生型晚期黑色素瘤中MAP激酶途径基因拷贝改变
Int J Cancer. 2016 May 1;138(9):2257-62. doi: 10.1002/ijc.29970. Epub 2016 Jan 11.