Suppr超能文献

一名孕妇的晚期甲状腺滤泡癌

Advanced Thyroid Follicular Carcinoma in a Pregnant Woman.

作者信息

Pinheiro Victor Rocha, Miamoto Bruno Minoru, Rocha Júlia Thalita Queiróz, Soares Carlos Segundo Paiva, Tagliarini José Vicente, de Araujo Costa Roberto Antônio, da Silva Mazeto Glaucia Maria F, Marques Mariangela Esther Alencar, Oliveira Cristiano Claudino

机构信息

Student of Medicine, Botucatu School of Medicine, São Paulo State University (FMB UNESP), Botucatu, São Paulo, Brazil.

Pathologist and Postgraduate Student, Botucatu School of Medicine, São Paulo State University (FMB UNESP), Botucatu, São Paulo, Brazil.

出版信息

Case Rep Pathol. 2019 Dec 28;2019:3064624. doi: 10.1155/2019/3064624. eCollection 2019.

Abstract

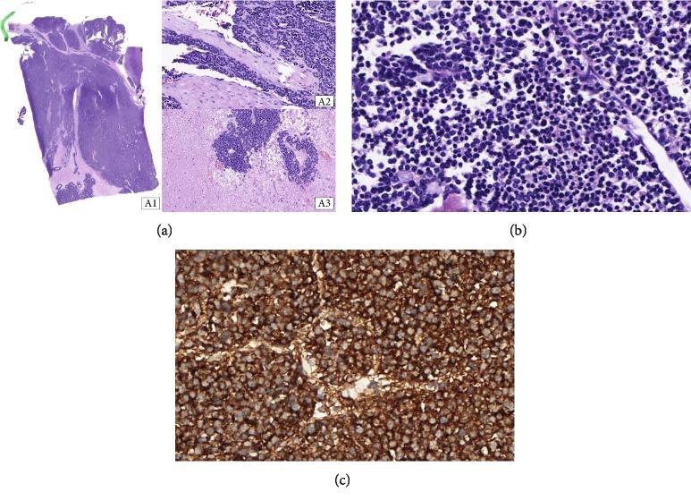
The diagnostic and therapeutic approach for pregnant women with thyroid nodules can present a challenge, especially concerning surgical procedures. In the context of malignant diagnosis, by fine needle aspiration (FNA), during pregnancy, the uncertainty lies in performing surgery. This article reports the case of a 41-year-old pregnant woman in her first gestation, who sought medical care complaining of right shoulder pain. Imaging workup depicted the destruction of the humeral head and involvement of the surrounding soft tissue. She was 20 weeks pregnant. The histological report favored the diagnosis of malignancy and the thyroid as the primary site. At 30 weeks of gestation, the patient underwent a cesarean section, a total thyroidectomy, and total resection of the metastasis. The child was born healthy, but one year after the diagnosis, the patient died. Bone and soft tissue metastasis of thyroid neoplasms are not very common and indicate poor prognosis.

摘要

甲状腺结节孕妇的诊断和治疗方法可能具有挑战性,尤其是在手术程序方面。在恶性诊断的情况下,通过细针穿刺活检(FNA),在怀孕期间,手术的不确定性在于进行手术。本文报告了一名41岁初孕孕妇的病例,她因右肩疼痛就医。影像学检查显示肱骨头破坏及周围软组织受累。她怀孕20周。组织学报告支持恶性诊断,甲状腺为原发部位。妊娠30周时,患者接受了剖宫产、全甲状腺切除术和转移灶全切术。孩子健康出生,但诊断一年后患者死亡。甲状腺肿瘤的骨和软组织转移并不常见,提示预后不良。

https://cdn.ncbi.nlm.nih.gov/pmc/blobs/4485/6949678/ecfc7dff9215/CRIPA2019-3064624.001.jpg

文献AI研究员

20分钟写一篇综述,助力文献阅读效率提升50倍。

立即体验

用中文搜PubMed

大模型驱动的PubMed中文搜索引擎

马上搜索

文档翻译

学术文献翻译模型,支持多种主流文档格式。

立即体验