Suppr超能文献

相似文献

1
Multiple sclerosis as differential diagnosis of radionecrosis for post-irradiation brain lesions: A case report.
Clin Transl Radiat Oncol. 2020 Jan 9;21:44-48. doi: 10.1016/j.ctro.2020.01.001. eCollection 2020 Mar.
2
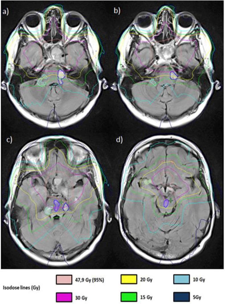
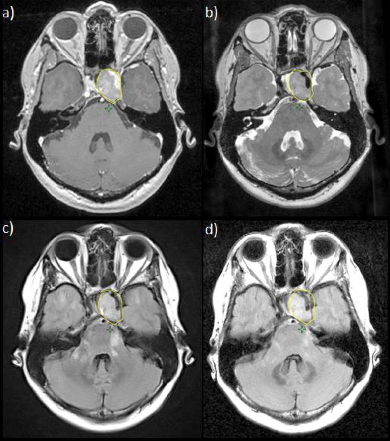
Radiotherapy for the treatment of pituitary adenomas: A dosimetric comparison of three planning techniques.
Rep Pract Oncol Radiother. 2020 Jul-Aug;25(4):586-593. doi: 10.1016/j.rpor.2020.04.020. Epub 2020 May 19.
6
Intensity-modulated radiotherapy for soft tissue sarcoma of the thigh.
Int J Radiat Oncol Biol Phys. 2004 Jul 1;59(3):752-9. doi: 10.1016/j.ijrobp.2003.11.037.

引用本文的文献

1
Aggressive intracranial meningioma associated with multiple sclerosis: A case report and literature review.
Med Int (Lond). 2025 May 21;5(4):44. doi: 10.3892/mi.2025.243. eCollection 2025 Jul-Aug.

本文引用的文献

1
Impact of the McDonald Criteria 2017 on Early Diagnosis of Relapsing-Remitting Multiple Sclerosis.
Front Neurol. 2019 Mar 15;10:188. doi: 10.3389/fneur.2019.00188. eCollection 2019.
2
Identifying risk factors for L'Hermitte's sign after IMRT for head and neck cancer.
Radiat Oncol. 2018 May 4;13(1):84. doi: 10.1186/s13014-018-1015-0.
3
Diagnosis of multiple sclerosis: 2017 revisions of the McDonald criteria.
Lancet Neurol. 2018 Feb;17(2):162-173. doi: 10.1016/S1474-4422(17)30470-2. Epub 2017 Dec 21.
4
CARE guidelines for case reports: explanation and elaboration document.
J Clin Epidemiol. 2017 Sep;89:218-235. doi: 10.1016/j.jclinepi.2017.04.026. Epub 2017 May 18.
5
Neurological deficit following stereotactic radiosurgery for trigeminal neuralgia.
J Clin Neurosci. 2016 Dec;34:229-231. doi: 10.1016/j.jocn.2016.09.029. Epub 2016 Oct 17.
6
Acute demyelination following radiotherapy for glioma: a cautionary tale.
Pract Neurol. 2017 Jan;17(1):35-38. doi: 10.1136/practneurol-2016-001432. Epub 2016 Sep 9.
7
8
Lhermitte sign after chemo-IMRT of head-and-neck cancer: incidence, doses, and potential mechanisms.
Int J Radiat Oncol Biol Phys. 2012 Aug 1;83(5):1528-33. doi: 10.1016/j.ijrobp.2011.10.052. Epub 2012 Jan 26.
9
Multiple sclerosis, brain radiotherapy, and risk of neurotoxicity: the Mayo Clinic experience.
Int J Radiat Oncol Biol Phys. 2006 Nov 15;66(4):1178-86. doi: 10.1016/j.ijrobp.2006.06.014. Epub 2006 Sep 11.
10
Complications of radiation therapy on the brain and spinal cord.
Semin Neurol. 2004 Dec;24(4):405-17. doi: 10.1055/s-2004-861535.

文献AI研究员

20分钟写一篇综述,助力文献阅读效率提升50倍。

立即体验

用中文搜PubMed

大模型驱动的PubMed中文搜索引擎

马上搜索

文档翻译

学术文献翻译模型,支持多种主流文档格式。

立即体验