• 文献检索
  • 文档翻译
  • 深度研究
  • 学术资讯
  • Suppr Zotero 插件Zotero 插件
  • 邀请有礼
  • 套餐&价格
  • 历史记录
应用&插件
Suppr Zotero 插件Zotero 插件浏览器插件Mac 客户端Windows 客户端微信小程序
定价
高级版会员购买积分包购买API积分包
服务
文献检索文档翻译深度研究API 文档MCP 服务
关于我们
关于 Suppr公司介绍联系我们用户协议隐私条款
关注我们

Suppr 超能文献

核心技术专利:CN118964589B侵权必究
粤ICP备2023148730 号-1Suppr @ 2026

文献检索

告别复杂PubMed语法,用中文像聊天一样搜索,搜遍4000万医学文献。AI智能推荐,让科研检索更轻松。

立即免费搜索

文件翻译

保留排版,准确专业,支持PDF/Word/PPT等文件格式,支持 12+语言互译。

免费翻译文档

深度研究

AI帮你快速写综述,25分钟生成高质量综述,智能提取关键信息,辅助科研写作。

立即免费体验

累及整个脑室系统的原发性中枢神经系统淋巴瘤

Primary Central Nervous System Lymphoma Involving Entire Ventricular System.

作者信息

Kumar Hemant, Sharma Achal, Sharma Vinod, Singhvi Shashi

机构信息

Department of Neurosurgery, S.M.S. Medical College, Jaipur, Rajasthan, India.

Department of Pathology, Patho Care and Research Centre, S.M.S. Medical College, Jaipur, Rajasthan, India.

出版信息

Asian J Neurosurg. 2020 Feb 25;15(1):126-127. doi: 10.4103/ajns.AJNS_94_16. eCollection 2020 Jan-Mar.

DOI:10.4103/ajns.AJNS_94_16
PMID:32181185
原文链接:https://pmc.ncbi.nlm.nih.gov/articles/PMC7057909/
Abstract

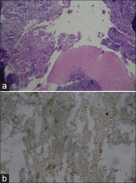
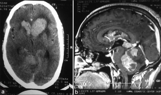
Primary central nervous system lymphoma (PCNSL) is a rare tumor that accounts for <1%-4% of primary CNS tumor. PCNSLs are class of non-Hodgkin's lymphomas which are primarily of diffuse large B-cell origin (90%), with remaining being T-cell lymphoma (10%). Author report a rare case of PCNSL presenting as an intracranial mass involving the entire ventricular system, in an immunocompetent 36-year-old male with severe headache, decreased vision, and unsteady gait. The diagnosis was obtained by histopathological and subsequent immunohistochemistry.

摘要

原发性中枢神经系统淋巴瘤(PCNSL)是一种罕见肿瘤,占原发性中枢神经系统肿瘤的不到1%-4%。PCNSL是非霍奇金淋巴瘤的一种,主要起源于弥漫性大B细胞(90%),其余为T细胞淋巴瘤(10%)。作者报告了一例罕见的PCNSL病例,表现为颅内肿块累及整个脑室系统,患者为一名36岁免疫功能正常男性,有严重头痛、视力下降和步态不稳症状。通过组织病理学及后续免疫组化检查得以确诊。

https://cdn.ncbi.nlm.nih.gov/pmc/blobs/e3a3/7057909/2824fedb1c5a/AJNS-15-126-g002.jpg
https://cdn.ncbi.nlm.nih.gov/pmc/blobs/e3a3/7057909/89ecc29fe21a/AJNS-15-126-g001.jpg
https://cdn.ncbi.nlm.nih.gov/pmc/blobs/e3a3/7057909/2824fedb1c5a/AJNS-15-126-g002.jpg
https://cdn.ncbi.nlm.nih.gov/pmc/blobs/e3a3/7057909/89ecc29fe21a/AJNS-15-126-g001.jpg
https://cdn.ncbi.nlm.nih.gov/pmc/blobs/e3a3/7057909/2824fedb1c5a/AJNS-15-126-g002.jpg

相似文献

1
Primary Central Nervous System Lymphoma Involving Entire Ventricular System.累及整个脑室系统的原发性中枢神经系统淋巴瘤
Asian J Neurosurg. 2020 Feb 25;15(1):126-127. doi: 10.4103/ajns.AJNS_94_16. eCollection 2020 Jan-Mar.
2
Primary solitary lymphoma of the fourth ventricle.第四脑室原发性孤立性淋巴瘤
Int J Surg Case Rep. 2015;14:23-5. doi: 10.1016/j.ijscr.2015.07.006. Epub 2015 Jul 15.
3
A Rare Presentation of Primary Central Nervous System Lymphoma in an Immunocompetent Patient.免疫功能正常患者原发性中枢神经系统淋巴瘤的罕见表现
Cureus. 2022 Apr 5;14(4):e23858. doi: 10.7759/cureus.23858. eCollection 2022 Apr.
4
Atypical presentation of primary central nervous system non-Hodgkin lymphoma in immunocompetent young adults.免疫功能正常的年轻成年人原发性中枢神经系统非霍奇金淋巴瘤的非典型表现。
World Neurosurg. 2013 Mar-Apr;79(3-4):593.e9-13. doi: 10.1016/j.wneu.2012.07.026. Epub 2012 Aug 7.
5
A case of intraventricular primary central nervous system lymphoma.
J Radiol Case Rep. 2014 Mar 1;8(3):1-7. doi: 10.3941/jrcr.v8i3.1361. eCollection 2014 Mar.
6
Primary central nervous system lymphomas: Indian experience, and review of literature.原发性中枢神经系统淋巴瘤:印度的经验及文献综述。
Indian J Cancer. 2008 Jul-Sep;45(3):112-8. doi: 10.4103/0019-509x.44067.
7
Clinicopathological correlates of primary central nervous system lymphoma: experience from a tertiary care center in South India.原发性中枢神经系统淋巴瘤的临床病理相关性:来自印度南部一家三级医疗中心的经验。
Neurol India. 2015 Jan-Feb;63(1):77-82. doi: 10.4103/0028-3886.152658.
8
Central nervous system lymphomas: a histologic and immunophenotypic analysis.中枢神经系统淋巴瘤:组织学与免疫表型分析
J Pak Med Assoc. 2000 May;50(5):141-4.
9
Array-based profiling of the lymphoma cell DNA methylome does not unequivocally distinguish primary lymphomas of the central nervous system from non-CNS diffuse large B-cell lymphomas.基于阵列的淋巴瘤细胞 DNA 甲基化组分析不能明确区分中枢神经系统原发性淋巴瘤和非中枢神经系统弥漫性大 B 细胞淋巴瘤。
Genes Chromosomes Cancer. 2019 Jan;58(1):66-69. doi: 10.1002/gcc.22687. Epub 2018 Nov 29.
10
A rare case of primary anaplastic large cell lymphoma of the central nervous system.一例罕见的原发性中枢神经系统间变性大细胞淋巴瘤。
J Cancer Res Ther. 2015 Oct-Dec;11(4):943-5. doi: 10.4103/0973-1482.162115.

引用本文的文献

1
Primary CNS Lymphoma Masquerading as Ventriculitis.伪装成脑室炎的原发性中枢神经系统淋巴瘤
Ann Indian Acad Neurol. 2022 Nov-Dec;25(6):1206-1208. doi: 10.4103/aian.aian_625_22. Epub 2022 Nov 17.
2
Efficacy of endoscopic management of primary central nervous system lymphoma: a multicentric study and literature review.内镜治疗原发性中枢神经系统淋巴瘤的疗效:一项多中心研究和文献复习。
J Neurooncol. 2022 Sep;159(2):457-468. doi: 10.1007/s11060-022-04081-w. Epub 2022 Jul 12.
3
Reply to the Letter "Could the Possibility of Secondary Central Nervous System Lymphoma Be Ruled Out in This Patient?".

本文引用的文献

1
Endoscopic biopsy of a B-cell lymphoma involving the entire ventricular system: A case report.一例累及整个脑室系统的B细胞淋巴瘤的内镜活检:病例报告
Exp Ther Med. 2016 Jan;11(1):325-327. doi: 10.3892/etm.2015.2861. Epub 2015 Nov 12.
2
A rare case of vomiting: fourth ventricular B-cell lymphoma.呕吐罕见病例:第四脑室B细胞淋巴瘤。
J Neurooncol. 2009 Jun;93(2):261-2. doi: 10.1007/s11060-008-9765-4. Epub 2008 Dec 18.
3
Primary lymphoma of the central nervous system: epidemiology, pathology and current approaches to diagnosis, prognosis and treatment.
对信件《该患者能否排除继发性中枢神经系统淋巴瘤的可能性?》的回复
Intern Med. 2021 Oct 1;60(19):3193. doi: 10.2169/internalmedicine.7327-21. Epub 2021 Apr 12.
中枢神经系统原发性淋巴瘤:流行病学、病理学及当前的诊断、预后和治疗方法
Leuk Lymphoma. 2008;49 Suppl 1(0 1):43-51. doi: 10.1080/10428190802311441.
4
Primary high-grade B-cell lymphoma of the choroid plexus.脉络丛原发性高级别B细胞淋巴瘤
Clin Neurol Neurosurg. 2008 Jan;110(1):75-9. doi: 10.1016/j.clineuro.2007.08.019. Epub 2007 Oct 24.
5
Primary choroid plexus T-cell lymphoma and multiple aneurysms in the CNS.
Leuk Lymphoma. 2006 Aug;47(8):1680-2. doi: 10.1080/10428190600612503.
6
An endoscopically proven ventriculitis-type, cyst-like intraventricular primary lymphoma of the central nervous system.
Acta Neurochir (Wien). 2006 Sep;148(9):981-4. doi: 10.1007/s00701-006-0797-2. Epub 2006 Jun 23.
7
Extranodal marginal zone B-cell lymphoma mimicking meningioma in lateral ventricle: a case report and possible pathogenesis.侧脑室中模仿脑膜瘤的结外边缘区B细胞淋巴瘤:一例报告及可能的发病机制
J Neurooncol. 2006 Oct;80(1):63-7. doi: 10.1007/s11060-006-9153-x. Epub 2006 Apr 21.
8
Extranodal marginal zone B-cell lymphoma of mucosa-associated lymphoid tissue arising in the lateral ventricle.发生于侧脑室的黏膜相关淋巴组织结外边缘区B细胞淋巴瘤。
Leuk Lymphoma. 2005 Oct;46(10):1423-7. doi: 10.1080/10428190500205895.
9
MRI features of primary central nervous system lymphomas at presentation.原发性中枢神经系统淋巴瘤初诊时的MRI特征。
Neurology. 2001 Aug 14;57(3):393-6. doi: 10.1212/wnl.57.3.393.
10
Primary isolated lymphoma of the fourth ventricle: case report.第四脑室原发性孤立性淋巴瘤:病例报告
J Neurooncol. 2001 Jan;51(2):129-31. doi: 10.1023/a:1010790325692.