Suppr超能文献

一名乳腺癌患者体内磁共振波谱检测到甘氨酸水平升高:病例报告及文献综述

Elevated glycine detected on in vivo magnetic resonance spectroscopy in a breast cancer patient: case report and literature review.

作者信息

Bitencourt Almir G V, Pinker Katja, Thakur Sunitha

机构信息

Department of Radiology, Breast Imaging Service, Memorial Sloan Kettering Cancer Center, New York, NY, USA.

出版信息

BJR Case Rep. 2020 Feb 12;6(1):20190090. doi: 10.1259/bjrcr.20190090. eCollection 2020 Mar.

Abstract

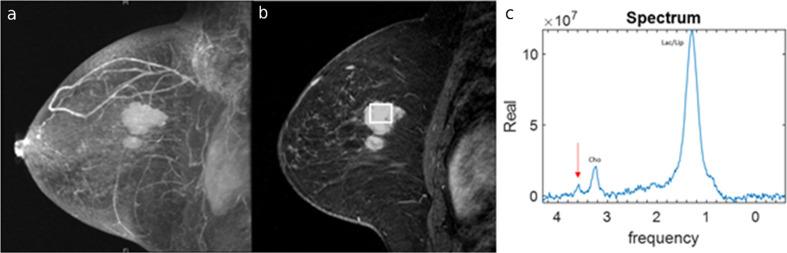
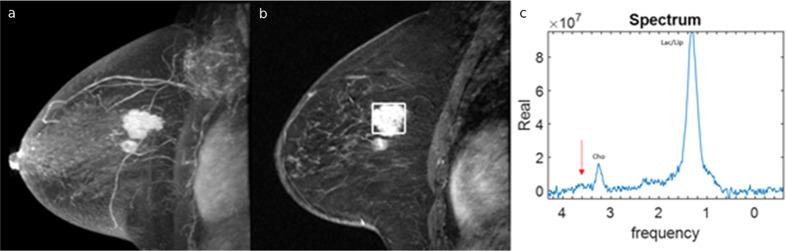
Magnetic resonance spectroscopy (MRS) is a promising non-invasive diagnostic method that can detect and quantify endogenous tissue metabolites. High glycine levels obtained from breast MRS have been associated with poor prognosis; however, glycine evaluation has not been reported regarding MRS. We report our finding in a breast cancer patient in whom pre-treatment but not post-treatment MRS showed elevated glycine and discuss the implications of this finding.

摘要

磁共振波谱(MRS)是一种很有前景的非侵入性诊断方法,它可以检测和定量内源性组织代谢物。乳腺MRS检测到的高甘氨酸水平与预后不良有关;然而,关于MRS的甘氨酸评估尚未见报道。我们报告了一名乳腺癌患者的发现,该患者治疗前而非治疗后的MRS显示甘氨酸水平升高,并讨论了这一发现的意义。

https://cdn.ncbi.nlm.nih.gov/pmc/blobs/bdbe/7068099/95765bbf1081/bjrcr.20190090.g001.jpg

文献检索

告别复杂PubMed语法,用中文像聊天一样搜索,搜遍4000万医学文献。AI智能推荐,让科研检索更轻松。

立即免费搜索

文件翻译

保留排版,准确专业,支持PDF/Word/PPT等文件格式,支持 12+语言互译。

免费翻译文档

深度研究

AI帮你快速写综述,25分钟生成高质量综述,智能提取关键信息,辅助科研写作。

立即免费体验