• 文献检索
  • 文档翻译
  • 深度研究
  • 学术资讯
  • Suppr Zotero 插件Zotero 插件
  • 邀请有礼
  • 套餐&价格
  • 历史记录
应用&插件
Suppr Zotero 插件Zotero 插件浏览器插件Mac 客户端Windows 客户端微信小程序
定价
高级版会员购买积分包购买API积分包
服务
文献检索文档翻译深度研究API 文档MCP 服务
关于我们
关于 Suppr公司介绍联系我们用户协议隐私条款
关注我们

Suppr 超能文献

核心技术专利:CN118964589B侵权必究
粤ICP备2023148730 号-1Suppr @ 2026

文献检索

告别复杂PubMed语法,用中文像聊天一样搜索,搜遍4000万医学文献。AI智能推荐,让科研检索更轻松。

立即免费搜索

文件翻译

保留排版,准确专业,支持PDF/Word/PPT等文件格式,支持 12+语言互译。

免费翻译文档

深度研究

AI帮你快速写综述,25分钟生成高质量综述,智能提取关键信息,辅助科研写作。

立即免费体验

锂可促进雪旺细胞增殖并抑制其迁移。

Lithium promotes proliferation and suppresses migration of Schwann cells.

作者信息

Gu Xiao-Kun, Li Xin-Rui, Lu Mei-Ling, Xu Hui

机构信息

Key Laboratory of Neuroregeneration of Jiangsu and Ministry of Education, Co-Innovation Center of Neuroregeneration, Nantong University; Department of Hand Surgery, Affiliated Hospital of Nantong University, Nantong, Jiangsu Province, China.

State Key Laboratory of Natural Medicines, School of Life Science and Technology, China Pharmaceutical University, Nanjing, Jiangsu Province, China.

出版信息

Neural Regen Res. 2020 Oct;15(10):1955-1961. doi: 10.4103/1673-5374.280324.

DOI:10.4103/1673-5374.280324
PMID:32246645
原文链接:https://pmc.ncbi.nlm.nih.gov/articles/PMC7513976/
Abstract

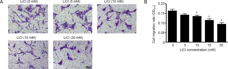
Schwann cell proliferation, migration and remyelination of regenerating axons contribute to regeneration after peripheral nervous system injury. Lithium promotes remyelination by Schwann cells and improves peripheral nerve regeneration. However, whether lithium modulates other phenotypes of Schwann cells, especially their proliferation and migration remains elusive. In the current study, primary Schwann cells from rat sciatic nerve stumps were cultured and exposed to 0, 5, 10, 15, or 30 mM lithium chloride (LiCl) for 24 hours. The effects of LiCl on Schwann cell proliferation and migration were examined using the Cell Counting Kit-8, 5-ethynyl-2'-deoxyuridine, Transwell and wound healing assays. Cell Counting Kit-8 and 5-ethynyl-2'-deoxyuridine assays showed that 5, 10, 15, and 30 mM LiCl significantly increased the viability and proliferation rate of Schwann cells. Transwell-based migration assays and wound healing assays showed that 10, 15, and 30 mM LiCl suppressed the migratory ability of Schwann cells. Furthermore, the effects of LiCl on the proliferation and migration phenotypes of Schwann cells were mostly dose-dependent. These data indicate that lithium treatment significantly promotes the proliferation and inhibits the migratory ability of Schwann cells. This conclusion will inform strategies to promote the repair and regeneration of peripheral nerves. All of the animal experiments in this study were ethically approved by the Administration Committee of Experimental Animal Center of Nantong University, China (approval No. 20170320-017) on March 2, 2017.

摘要

施万细胞的增殖、迁移以及再生轴突的髓鞘再生有助于周围神经系统损伤后的修复。锂可促进施万细胞的髓鞘再生并改善周围神经再生。然而,锂是否会调节施万细胞的其他表型,尤其是其增殖和迁移能力,仍不清楚。在本研究中,培养大鼠坐骨神经残端的原代施万细胞,并将其暴露于0、5、10、15或30 mM的氯化锂(LiCl)中24小时。使用细胞计数试剂盒-8、5-乙炔基-2'-脱氧尿苷、Transwell和伤口愈合试验检测LiCl对施万细胞增殖和迁移的影响。细胞计数试剂盒-8和5-乙炔基-2'-脱氧尿苷试验表明,5、10、15和30 mM的LiCl显著提高了施万细胞的活力和增殖率。基于Transwell的迁移试验和伤口愈合试验表明,10、15和30 mM的LiCl抑制了施万细胞的迁移能力。此外,LiCl对施万细胞增殖和迁移表型的影响大多呈剂量依赖性。这些数据表明,锂处理可显著促进施万细胞的增殖并抑制其迁移能力。这一结论将为促进周围神经修复和再生的策略提供依据。本研究中的所有动物实验均于2017年3月2日获得中国南通大学实验动物中心管理委员会的伦理批准(批准号:20170320-017)。

https://cdn.ncbi.nlm.nih.gov/pmc/blobs/0277/7513976/1625f09ceeef/NRR-15-1955-g006.jpg
https://cdn.ncbi.nlm.nih.gov/pmc/blobs/0277/7513976/7f23ff82dd21/NRR-15-1955-g002.jpg
https://cdn.ncbi.nlm.nih.gov/pmc/blobs/0277/7513976/5bfaef5cfb53/NRR-15-1955-g003.jpg
https://cdn.ncbi.nlm.nih.gov/pmc/blobs/0277/7513976/6937db4364e5/NRR-15-1955-g004.jpg
https://cdn.ncbi.nlm.nih.gov/pmc/blobs/0277/7513976/75dc94925d40/NRR-15-1955-g005.jpg
https://cdn.ncbi.nlm.nih.gov/pmc/blobs/0277/7513976/1625f09ceeef/NRR-15-1955-g006.jpg
https://cdn.ncbi.nlm.nih.gov/pmc/blobs/0277/7513976/7f23ff82dd21/NRR-15-1955-g002.jpg
https://cdn.ncbi.nlm.nih.gov/pmc/blobs/0277/7513976/5bfaef5cfb53/NRR-15-1955-g003.jpg
https://cdn.ncbi.nlm.nih.gov/pmc/blobs/0277/7513976/6937db4364e5/NRR-15-1955-g004.jpg
https://cdn.ncbi.nlm.nih.gov/pmc/blobs/0277/7513976/75dc94925d40/NRR-15-1955-g005.jpg
https://cdn.ncbi.nlm.nih.gov/pmc/blobs/0277/7513976/1625f09ceeef/NRR-15-1955-g006.jpg

相似文献

1
Lithium promotes proliferation and suppresses migration of Schwann cells.锂可促进雪旺细胞增殖并抑制其迁移。
Neural Regen Res. 2020 Oct;15(10):1955-1961. doi: 10.4103/1673-5374.280324.
2
Novel miRNA, miR-sc14, promotes Schwann cell proliferation and migration.新型微小RNA,即miR-sc14,可促进雪旺细胞的增殖和迁移。
Neural Regen Res. 2019 Sep;14(9):1651-1656. doi: 10.4103/1673-5374.255996.
3
Regulation of Schwann cell proliferation and migration via miR-195-5p-induced Crebl2 downregulation upon peripheral nerve damage.外周神经损伤时,通过miR-195-5p诱导Crebl2下调对雪旺细胞增殖和迁移的调控。
Front Cell Neurosci. 2023 Jul 3;17:1173086. doi: 10.3389/fncel.2023.1173086. eCollection 2023.
4
Silencing Celsr2 inhibits the proliferation and migration of Schwann cells through suppressing the Wnt/β-catenin signaling pathway.沉默 Celsr2 通过抑制 Wnt/β-连环蛋白信号通路抑制许旺细胞的增殖和迁移。
Biochem Biophys Res Commun. 2020 Dec 17;533(4):623-630. doi: 10.1016/j.bbrc.2020.09.015. Epub 2020 Sep 25.
5
Increased levels of miR-3099 induced by peripheral nerve injury promote Schwann cell proliferation and migration.外周神经损伤诱导的miR-3099水平升高促进雪旺细胞增殖和迁移。
Neural Regen Res. 2019 Mar;14(3):525-531. doi: 10.4103/1673-5374.245478.
6
Folic acid contributes to peripheral nerve injury repair by promoting Schwann cell proliferation, migration, and secretion of nerve growth factor.叶酸通过促进施万细胞增殖、迁移及神经生长因子分泌,有助于周围神经损伤的修复。
Neural Regen Res. 2019 Jan;14(1):132-139. doi: 10.4103/1673-5374.243718.
7
Migrating Schwann cells direct axon regeneration within the peripheral nerve bridge.施万细胞迁移指导周围神经桥内的轴突再生。
Glia. 2021 Feb;69(2):235-254. doi: 10.1002/glia.23892. Epub 2020 Jul 22.
8
Ginkgetin promotes proliferation and migration of Schwann cells via PIGF/p38 MAPK signaling pathway.银杏萜内酯通过 PIGF/p38MAPK 信号通路促进许旺细胞的增殖和迁移。
Tissue Cell. 2022 Dec;79:101967. doi: 10.1016/j.tice.2022.101967. Epub 2022 Oct 31.
9
miR-328a-3p modulates the proliferative and migratory abilities of Schwann cells in peripheral nerves.miR-328a-3p 调节周围神经施万细胞的增殖和迁移能力。
Neurosci Lett. 2022 Nov 20;791:136893. doi: 10.1016/j.neulet.2022.136893. Epub 2022 Sep 30.
10
Claudin-15 overexpression inhibits proliferation and promotes apoptosis of Schwann cells .Claudin-15过表达抑制雪旺细胞增殖并促进其凋亡。
Neural Regen Res. 2020 Jan;15(1):169-177. doi: 10.4103/1673-5374.264463.

引用本文的文献

1
Metal-Based Regenerative Strategies for Peripheral Nerve Injuries: From Biodegradable Ion Source to Stable Conductive Implants.用于周围神经损伤的金属基再生策略:从可生物降解离子源到稳定的导电植入物。
Biomater Res. 2025 Jul 22;29:0219. doi: 10.34133/bmr.0219. eCollection 2025.
2
Influence of Magnesium Degradation on Schwannoma Cell Responses to Nerve Injury Using an In Vitro Injury Model.使用体外损伤模型研究镁降解对雪旺瘤细胞对神经损伤反应的影响。
J Funct Biomater. 2024 Mar 31;15(4):88. doi: 10.3390/jfb15040088.
3
The Protective Effect of Lithium Against Rotenone may be Evolutionarily Conserved: Evidence from Eisenia fetida, a Primitive Animal with a Ganglionic Brain.

本文引用的文献

1
The dynamic changes of main cell types in the microenvironment of sciatic nerves following sciatic nerve injury and the influence of let-7 on their distribution.坐骨神经损伤后坐骨神经微环境中主要细胞类型的动态变化以及let-7对其分布的影响。
RSC Adv. 2018 Dec 10;8(72):41181-41191. doi: 10.1039/c8ra08298g. eCollection 2018 Dec 7.
2
Matrix metalloproteinase 7 promoted Schwann cell migration and myelination after rat sciatic nerve injury.基质金属蛋白酶 7 促进大鼠坐骨神经损伤后雪旺细胞的迁移和髓鞘形成。
Mol Brain. 2019 Dec 2;12(1):101. doi: 10.1186/s13041-019-0516-6.
3
A Review for Lithium: Pharmacokinetics, Drug Design, and Toxicity.
锂对鱼藤酮的保护作用可能在进化上是保守的:来自具神经节大脑的原始动物赤子爱胜蚓的证据。
Neurochem Res. 2023 Dec;48(12):3538-3559. doi: 10.1007/s11064-023-04001-y. Epub 2023 Aug 1.
4
Li-Doped Bioactive Ceramics: Promising Biomaterials for Tissue Engineering and Regenerative Medicine.锂掺杂生物活性陶瓷:用于组织工程和再生医学的有前景的生物材料。
J Funct Biomater. 2022 Sep 24;13(4):162. doi: 10.3390/jfb13040162.
5
Antimicrobial and Anti-Inflammatory Activities of MAF-1-Derived Antimicrobial Peptide Mt6 and Its D-Enantiomer D-Mt6 against Acinetobacter baumannii by Targeting Cell Membranes and Lipopolysaccharide Interaction.MAF-1 衍生抗菌肽 Mt6 及其 D-对映体 D-Mt6 通过靶向细胞膜和脂多糖相互作用对鲍曼不动杆菌的抗菌和抗炎活性。
Microbiol Spectr. 2022 Oct 26;10(5):e0131222. doi: 10.1128/spectrum.01312-22. Epub 2022 Oct 3.
6
Silencing the enhancer of zeste homologue 2, , represses axon regeneration of dorsal root ganglion neurons.沉默zeste同源物2(EZH2)可抑制背根神经节神经元的轴突再生。
Neural Regen Res. 2022 Jul;17(7):1518-1525. doi: 10.4103/1673-5374.330623.
7
Lithium promotes recovery after spinal cord injury.锂可促进脊髓损伤后的恢复。
Neural Regen Res. 2022 Jun;17(6):1324-1333. doi: 10.4103/1673-5374.327348.
8
Can lithium enhance the extent of axon regeneration and neurological recovery following peripheral nerve trauma?锂能否增强周围神经损伤后轴突再生的程度和神经功能恢复?
Neural Regen Res. 2022 May;17(5):948-952. doi: 10.4103/1673-5374.324830.
9
Ascorbic acid accelerates Wallerian degeneration after peripheral nerve injury.维生素C可加速周围神经损伤后的华勒氏变性。
Neural Regen Res. 2021 Jun;16(6):1078-1085. doi: 10.4103/1673-5374.300459.
10
Neural tube defects: role of lithium carbonate exposure in embryonic neural development in a murine model.神经管缺陷:碳酸锂暴露对小鼠胚胎神经发育的作用。
Pediatr Res. 2021 Jul;90(1):82-92. doi: 10.1038/s41390-020-01244-1. Epub 2020 Nov 10.
锂:药代动力学、药物设计和毒性综述。
CNS Neurol Disord Drug Targets. 2019;18(10):769-778. doi: 10.2174/1871527318666191114095249.
4
Dysregulated Transcription Factor TFAP2A After Peripheral Nerve Injury Modulated Schwann Cell Phenotype.外周神经损伤后失调的转录因子 TFAP2A 调节施万细胞表型。
Neurochem Res. 2019 Dec;44(12):2776-2785. doi: 10.1007/s11064-019-02898-y. Epub 2019 Oct 25.
5
Novel miRNA, miR-sc14, promotes Schwann cell proliferation and migration.新型微小RNA,即miR-sc14,可促进雪旺细胞的增殖和迁移。
Neural Regen Res. 2019 Sep;14(9):1651-1656. doi: 10.4103/1673-5374.255996.
6
The Success and Failure of the Schwann Cell Response to Nerve Injury.施万细胞对神经损伤反应的成功与失败
Front Cell Neurosci. 2019 Feb 11;13:33. doi: 10.3389/fncel.2019.00033. eCollection 2019.
7
Tau modulates Schwann cell proliferation, migration and differentiation following peripheral nerve injury.tau 蛋白在外周神经损伤后调节许旺细胞的增殖、迁移和分化。
J Cell Sci. 2019 Mar 18;132(6):jcs222059. doi: 10.1242/jcs.222059.
8
Repair Schwann cell update: Adaptive reprogramming, EMT, and stemness in regenerating nerves.修复雪旺细胞更新:再生神经中的适应性重编程、上皮间质转化和干性。
Glia. 2019 Mar;67(3):421-437. doi: 10.1002/glia.23532. Epub 2019 Jan 11.
9
Lithium promotes recovery of neurological function after spinal cord injury by inducing autophagy.锂通过诱导自噬促进脊髓损伤后神经功能的恢复。
Neural Regen Res. 2018 Dec;13(12):2191-2199. doi: 10.4103/1673-5374.241473.
10
Molecular Mechanisms of Lithium Action: Switching the Light on Multiple Targets for Dementia Using Animal Models.锂作用的分子机制:利用动物模型揭示痴呆症的多个靶点
Front Mol Neurosci. 2018 Aug 28;11:297. doi: 10.3389/fnmol.2018.00297. eCollection 2018.