Suppr超能文献

缺氧预处理的人尿液来源的干细胞负载的小肠黏膜下层增强创面愈合潜能。

Hypoxic preconditioning of human urine-derived stem cell-laden small intestinal submucosa enhances wound healing potential.

机构信息

Laboratory of Stem Cell and Tissue Engineering, Orthopaedic Research Institute, State Key Laboratory of Biotherapy and Cancer Center, West China Hospital, Sichuan University and Collaborative Innovation Center of Biotherapy, No.1 Ke-Yuan-Si-Lu, Gao-Peng-Da-Dao, Chengdu, 610041, Sichuan, China.

Department of Orthopaedics, West China Hospital, Sichuan University, Chengdu, 610041, China.

出版信息

Stem Cell Res Ther. 2020 Apr 6;11(1):150. doi: 10.1186/s13287-020-01662-2.

Abstract

BACKGROUND

Urine-derived stem cells (USCs) are a valuable stem cell source for tissue engineering because they can be harvested non-invasively. Small intestine submucosa (SIS) has been used as scaffolds for soft tissue repair in the clinic. However, the feasibility and efficacy of a combination of USCs and SIS for skin wound healing has not been reported. In this study, we created a tissue-engineered skin graft, termed the SIS+USC composite, and hypothesized that hypoxic preconditioning would improve its wound healing potential.

METHODS

USCs were seeded on SIS membranes to fabricate the SIS+USC composites, which were then cultured in normoxia (21% O) or preconditioned in hypoxia (1% O) for 24 h, respectively. The viability and morphology of USCs, the expression of genes related to wound angiogenesis and reepithelialization, and the secretion of growth factors were determined in vitro. The wound healing ability of the SIS+USC composites was evaluated in a mouse full-thickness skin wound model.

RESULTS

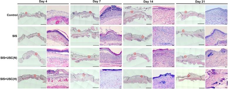
USCs showed good cell viability and morphology in both normoxia and hypoxic preconditioning groups. In vitro, hypoxic preconditioning enhanced not only the expression of genes related to wound angiogenesis (VEGF and Ang-2) and reepithelialization (bFGF and EGF) but also the secretion of growth factors (VEGF, EGF, and bFGF). In vivo, hypoxic preconditioning significantly improved the wound healing potential of the SIS+USC composites. It enhanced wound angiogenesis at the early stage of wound healing, promoted reepithelialization, and improved the deposition and remodeling of collagen fibers at the late stage of wound healing.

CONCLUSIONS

Taken together, this study shows that hypoxic preconditioning provides an easy and efficient strategy to enhance the wound healing potential of the SIS+USC composite.

摘要

背景

尿液来源的干细胞(USCs)是组织工程中一种有价值的干细胞来源,因为它们可以非侵入性地采集。小肠黏膜下层(SIS)已被用于临床软组织修复的支架。然而,将 USCs 与 SIS 结合用于皮肤伤口愈合的可行性和疗效尚未报道。在这项研究中,我们创建了一种组织工程皮肤移植物,称为 SIS+USC 复合材料,并假设低氧预处理将提高其伤口愈合潜力。

方法

将 USCs 接种在 SIS 膜上,以制备 SIS+USC 复合材料,然后分别在常氧(21%O)或低氧(1%O)下培养 24 小时。体外测定 USCs 的活力和形态、与伤口血管生成和再上皮化相关的基因表达以及生长因子的分泌。在小鼠全层皮肤伤口模型中评估 SIS+USC 复合材料的伤口愈合能力。

结果

USCs 在常氧和低氧预处理组中均表现出良好的细胞活力和形态。体外,低氧预处理不仅增强了与伤口血管生成(VEGF 和 Ang-2)和再上皮化(bFGF 和 EGF)相关的基因表达,而且还增强了生长因子(VEGF、EGF 和 bFGF)的分泌。体内,低氧预处理显著提高了 SIS+USC 复合材料的伤口愈合潜力。它在伤口愈合的早期阶段增强了伤口血管生成,促进了再上皮化,并改善了伤口愈合晚期胶原纤维的沉积和重塑。

结论

综上所述,这项研究表明,低氧预处理为增强 SIS+USC 复合材料的伤口愈合潜力提供了一种简单有效的策略。

https://cdn.ncbi.nlm.nih.gov/pmc/blobs/4815/7137341/5a119b48eb22/13287_2020_1662_Fig1_HTML.jpg

文献检索

告别复杂PubMed语法,用中文像聊天一样搜索,搜遍4000万医学文献。AI智能推荐,让科研检索更轻松。

立即免费搜索

文件翻译

保留排版,准确专业,支持PDF/Word/PPT等文件格式,支持 12+语言互译。

免费翻译文档

深度研究

AI帮你快速写综述,25分钟生成高质量综述,智能提取关键信息,辅助科研写作。

立即免费体验