Suppr超能文献

初次治疗29年后卵巢浆液性癌发生纵隔转移。

Mediastinal metastasis from ovarian serous carcinoma 29 years after initial treatment.

作者信息

Inoue Eri, Yotsumoto Takuma, Inoue Yuta, Fukami Takeshi, Kitani Masashi, Hirano Yuta, Nagase Maki, Morio Yoshiteru

机构信息

Center for Pulmonary Diseases, Department of Respiratory Medicine, National Hospital Organization Tokyo National Hospital, 3-1-1 Takeoka, Kiyose-shi, Tokyo, 204-8585, Japan.

Center for Pulmonary Diseases, Department of Thoracic Surgery, National Hospital Organization Tokyo National Hospital, 3-1-1 Takeoka, Kiyose-shi, Tokyo, 204-8585, Japan.

出版信息

Respir Med Case Rep. 2020 Jan 22;29:101003. doi: 10.1016/j.rmcr.2020.101003. eCollection 2020.

Abstract

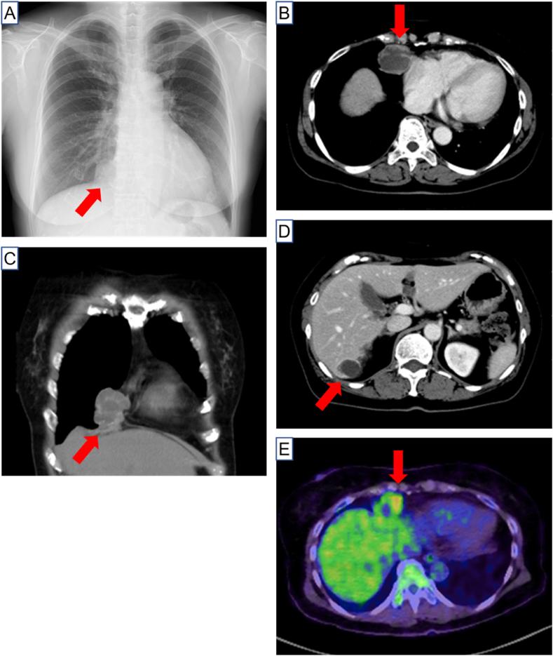
Ovarian cancer is a critically lethal gynecologic malignancy. More than 80% of patients with ovarian cancer have relapses within 5 years after initial treatment. However, recurrence from ovarian cancer more than 20 years later is extremely rare. We report a case of a 67-year-old female with mediastinal metastasis from ovarian cancer 29 years after initial gynecologic surgery and chemotherapy.

摘要

卵巢癌是一种极具致命性的妇科恶性肿瘤。超过80%的卵巢癌患者在初始治疗后5年内复发。然而,20多年后卵巢癌复发极为罕见。我们报告一例67岁女性患者,在初次妇科手术和化疗29年后出现卵巢癌纵隔转移。

https://cdn.ncbi.nlm.nih.gov/pmc/blobs/db24/7118409/d4e8b195c7d6/gr1.jpg

文献AI研究员

20分钟写一篇综述,助力文献阅读效率提升50倍。

立即体验

用中文搜PubMed

大模型驱动的PubMed中文搜索引擎

马上搜索

文档翻译

学术文献翻译模型,支持多种主流文档格式。

立即体验