• 文献检索
  • 文档翻译
  • 深度研究
  • 学术资讯
  • Suppr Zotero 插件Zotero 插件
  • 邀请有礼
  • 套餐&价格
  • 历史记录
应用&插件
Suppr Zotero 插件Zotero 插件浏览器插件Mac 客户端Windows 客户端微信小程序
定价
高级版会员购买积分包购买API积分包
服务
文献检索文档翻译深度研究API 文档MCP 服务
关于我们
关于 Suppr公司介绍联系我们用户协议隐私条款
关注我们

Suppr 超能文献

核心技术专利:CN118964589B侵权必究
粤ICP备2023148730 号-1Suppr @ 2026

文献检索

告别复杂PubMed语法,用中文像聊天一样搜索,搜遍4000万医学文献。AI智能推荐,让科研检索更轻松。

立即免费搜索

文件翻译

保留排版,准确专业,支持PDF/Word/PPT等文件格式,支持 12+语言互译。

免费翻译文档

深度研究

AI帮你快速写综述,25分钟生成高质量综述,智能提取关键信息,辅助科研写作。

立即免费体验

评估“环征”和“核心征”作为临床孤立综合征和早期多发性硬化症疾病活动及进展的磁共振成像标志物。

Evaluation of the 'ring sign' and the 'core sign' as a magnetic resonance imaging marker of disease activity and progression in clinically isolated syndrome and early multiple sclerosis.

作者信息

Blindenbacher Nelly, Brunner Eveline, Asseyer Susanna, Scheel Michael, Siebert Nadja, Rasche Ludwig, Bellmann-Strobl Judith, Brandt Alexander, Ruprecht Klemens, Meier Dominik, Wuerfel Jens, Paul Friedemann, Sinnecker Tim

机构信息

qbig, Department of Biomedical Engineering, University of Basel, Switzerland.

Neurocure Clinical Research Center, Charité-Universitätsmedizin Berlin, Germany.

出版信息

Mult Scler J Exp Transl Clin. 2020 Mar 30;6(1):2055217320915480. doi: 10.1177/2055217320915480. eCollection 2020 Jan-Mar.

DOI:10.1177/2055217320915480
PMID:32284875
原文链接:https://pmc.ncbi.nlm.nih.gov/articles/PMC7132556/
Abstract

BACKGROUND

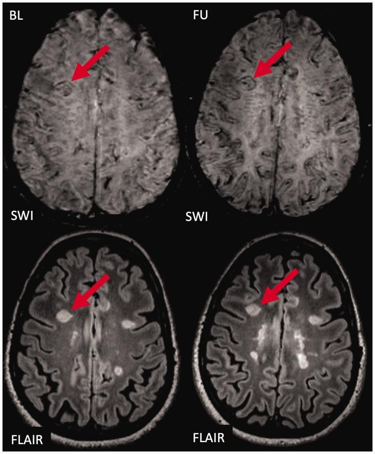
Brain lesions with a hypointense ring or core were described in multiple sclerosis on susceptibility weighted imaging.

OBJECTIVE

The purpose of this study was to study the evolution and prognostic relevance of susceptibility weighted imaging hypointense lesions in clinically isolated syndrome and early multiple sclerosis.

METHODS

Sixty-six early multiple sclerosis and clinically isolated syndrome patients were followed over a median period of 2.9 years (range 1.6-4.6 years) and underwent 3T magnetic resonance imaging including 3D susceptibility weighted imaging and T2-weighted fluid-attenuated inversion recovery. We assessed the presence of susceptibility weighted imaging hypointense core or ring lesions, and Expanded Disability Status Scale at baseline and follow-up.

RESULTS

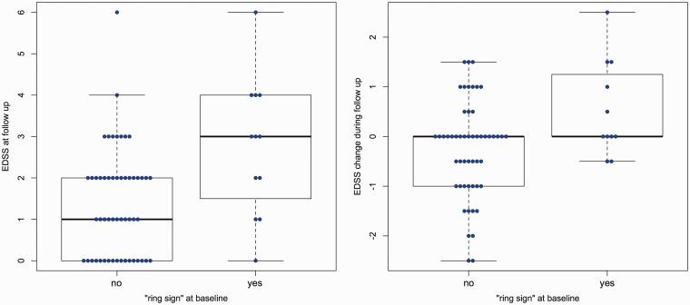
Of 611 lesions at baseline, 64 (10.5%) had a susceptibility weighted imaging hypointense core, and 28 (4.6%) had a susceptibility weighted imaging hypointense ring. Hypointense ring lesions were larger ( < 0.001) and more T1w hypointense ( = 0.002) than others. During follow-up, hypointense core lesions became susceptibility weighted imaging isointense (52 lesions, 81%); few developed into hypointense ring lesions (two lesions, 3%). Hypointense ring lesions did not shrink on T2-weighted fluid-attenuated inversion recovery images ( = 0.077, trend towards more enlargement compared to others), while hypointense core lesions more often shrunk in comparison to lesions without a hypointense core ( = 0.002). The number of susceptibility weighted imaging hypointense ring lesions at baseline correlated with Expanded Disability Status Scale progression at follow-up ( = 0.021, R = 0.289).

CONCLUSION

In our cohort of patients with clinically isolated syndrome or early multiple sclerosis, susceptibility weighted imaging hypointense ring lesions were only rarely detectable, but did not shrink and were associated with future disability progression.

摘要

背景

在多系统硬化症的磁敏感加权成像中发现了具有低信号环或核心的脑病变。

目的

本研究旨在探讨临床孤立综合征和早期多系统硬化症中磁敏感加权成像低信号病变的演变及其与预后的相关性。

方法

对66例早期多系统硬化症和临床孤立综合征患者进行了为期2.9年(范围1.6 - 4.6年)的随访,并接受了3T磁共振成像检查,包括三维磁敏感加权成像和T2加权液体衰减反转恢复序列成像。我们评估了磁敏感加权成像低信号核心或环病变的存在情况,以及基线和随访时的扩展残疾状态量表。

结果

在基线时的611个病变中,64个(10.5%)有磁敏感加权成像低信号核心,28个(4.6%)有磁敏感加权成像低信号环。低信号环病变比其他病变更大(<0.001)且T1加权像上低信号更明显(=0.002)。在随访期间,低信号核心病变在磁敏感加权成像上变为等信号(52个病变,81%);少数发展为低信号环病变(2个病变,3%)。低信号环病变在T2加权液体衰减反转恢复序列图像上没有缩小(=0.077,与其他病变相比有增大趋势),而低信号核心病变与无低信号核心的病变相比更常缩小(=0.002)。基线时磁敏感加权成像低信号环病变的数量与随访时扩展残疾状态量表的进展相关(=0.021,R = 0.

https://cdn.ncbi.nlm.nih.gov/pmc/blobs/1cf5/7132556/45481426919c/10.1177_2055217320915480-fig5.jpg
https://cdn.ncbi.nlm.nih.gov/pmc/blobs/1cf5/7132556/d1e8b11d6b09/10.1177_2055217320915480-fig1.jpg
https://cdn.ncbi.nlm.nih.gov/pmc/blobs/1cf5/7132556/d85c52af3732/10.1177_2055217320915480-fig2.jpg
https://cdn.ncbi.nlm.nih.gov/pmc/blobs/1cf5/7132556/952f1fcf73de/10.1177_2055217320915480-fig3.jpg
https://cdn.ncbi.nlm.nih.gov/pmc/blobs/1cf5/7132556/2dc4fb2edda4/10.1177_2055217320915480-fig4.jpg
https://cdn.ncbi.nlm.nih.gov/pmc/blobs/1cf5/7132556/45481426919c/10.1177_2055217320915480-fig5.jpg
https://cdn.ncbi.nlm.nih.gov/pmc/blobs/1cf5/7132556/d1e8b11d6b09/10.1177_2055217320915480-fig1.jpg
https://cdn.ncbi.nlm.nih.gov/pmc/blobs/1cf5/7132556/d85c52af3732/10.1177_2055217320915480-fig2.jpg
https://cdn.ncbi.nlm.nih.gov/pmc/blobs/1cf5/7132556/952f1fcf73de/10.1177_2055217320915480-fig3.jpg
https://cdn.ncbi.nlm.nih.gov/pmc/blobs/1cf5/7132556/2dc4fb2edda4/10.1177_2055217320915480-fig4.jpg
https://cdn.ncbi.nlm.nih.gov/pmc/blobs/1cf5/7132556/45481426919c/10.1177_2055217320915480-fig5.jpg

相似文献

1
Evaluation of the 'ring sign' and the 'core sign' as a magnetic resonance imaging marker of disease activity and progression in clinically isolated syndrome and early multiple sclerosis.评估“环征”和“核心征”作为临床孤立综合征和早期多发性硬化症疾病活动及进展的磁共振成像标志物。
Mult Scler J Exp Transl Clin. 2020 Mar 30;6(1):2055217320915480. doi: 10.1177/2055217320915480. eCollection 2020 Jan-Mar.
2
Degree of microstructural changes within T1-SE versus T1-GE hypointense lesions in multiple sclerosis: relevance for the definition of "black holes".多发性硬化症 T1-SE 与 T1-GE 低信号病灶内微观结构变化程度:对“黑洞”定义的相关性。
Eur Radiol. 2020 Jul;30(7):3843-3851. doi: 10.1007/s00330-020-06761-5. Epub 2020 Mar 11.
3
Patterns of lesion development in multiple sclerosis: longitudinal observations with T1-weighted spin-echo and magnetization transfer MR.多发性硬化症中病变发展的模式:T1加权自旋回波和磁化传递磁共振成像的纵向观察
AJNR Am J Neuroradiol. 1998 Apr;19(4):675-83.
4
Infratentorial hypointense lesion volume on T1-weighted magnetic resonance imaging correlates with disability in patients with chronic cerebellar ataxia due to multiple sclerosis.在因多发性硬化导致慢性小脑共济失调的患者中,T1加权磁共振成像上幕下低信号病变体积与残疾相关。
J Neurol Sci. 2001 Jun 15;187(1-2):35-9. doi: 10.1016/s0022-510x(01)00519-6.
5
Chronic white matter lesion activity predicts clinical progression in primary progressive multiple sclerosis.慢性白质病变活动可预测原发性进行性多发性硬化症的临床进展。
Brain. 2019 Sep 1;142(9):2787-2799. doi: 10.1093/brain/awz212.
6
Evaluation of the Central Vein Sign as a Diagnostic Imaging Biomarker in Multiple Sclerosis.中央静脉征作为多发性硬化症诊断影像学生物标志物的评估。
JAMA Neurol. 2019 Dec 1;76(12):1446-1456. doi: 10.1001/jamaneurol.2019.2478.
7
Multiple sclerosis: prevalence of the 'central vein' sign in white matter lesions on gadolinium-enhanced susceptibility-weighted images.多发性硬化症:钆增强磁敏感加权成像上脑白质病变的“中央静脉”征的患病率。
Neuroradiol J. 2021 Oct;34(5):470-475. doi: 10.1177/19714009211008750. Epub 2021 Apr 19.
8
Multiple sclerosis: High prevalence of the 'central vein' sign in white matter lesions on susceptibility-weighted images.多发性硬化症:磁敏感加权成像上白质病变中“中央静脉”征的高发生率。
Neuroradiol J. 2018 Aug;31(4):356-361. doi: 10.1177/1971400918763577. Epub 2018 Mar 22.
9
The role of magnetic resonance techniques in understanding and managing multiple sclerosis.磁共振技术在理解和管理多发性硬化症中的作用。
Brain. 1998 Jan;121 ( Pt 1):3-24. doi: 10.1093/brain/121.1.3.
10
Cervical Cord T1-weighted Hypointense Lesions at MR Imaging in Multiple Sclerosis: Relationship to Cord Atrophy and Disability.磁共振成像多发性硬化症脊髓 T1 加权低信号病变:与脊髓萎缩和残疾的关系。
Radiology. 2018 Jul;288(1):234-244. doi: 10.1148/radiol.2018172311. Epub 2018 Apr 17.

引用本文的文献

1
Associations between chronic active lesions and clinical outcomes in multiple sclerosis: A systematic literature review.多发性硬化症中慢性活动性病变与临床结局的关联:一项系统文献综述。
J Manag Care Spec Pharm. 2025 Jul;31(7):694-721. doi: 10.18553/jmcp.2025.24294. Epub 2025 May 13.
2
Clinical integration of brain and cord MRI features improves differential diagnosis of multiple sclerosis.脑和脊髓MRI特征的临床整合改善了多发性硬化的鉴别诊断。
J Neurol. 2025 May 11;272(6):388. doi: 10.1007/s00415-025-13124-x.
3
Paramagnetic rim lesion formation is predicted by the initial gadolinium-enhancing lesion diameter.

本文引用的文献

1
Assessment of lesions on magnetic resonance imaging in multiple sclerosis: practical guidelines.多发性硬化症磁共振成像病变评估:实用指南。
Brain. 2019 Jul 1;142(7):1858-1875. doi: 10.1093/brain/awz144.
2
Quantitative susceptibility mapping identifies inflammation in a subset of chronic multiple sclerosis lesions.定量磁化率映射可识别慢性多发性硬化症病变亚群中的炎症。
Brain. 2019 Jan 1;142(1):133-145. doi: 10.1093/brain/awy296.
3
Longitudinal study of multiple sclerosis lesions using ultra-high field (7T) multiparametric MR imaging.
顺磁性边缘病变的形成可通过初始钆增强病变直径来预测。
Mult Scler. 2025 Mar;31(3):263-277. doi: 10.1177/13524585241310764. Epub 2025 Jan 17.
4
Soma and neurite density abnormalities of paramagnetic rim lesions and core-sign lesions in multiple sclerosis.多发性硬化症中顺磁性边缘病变和核心信号病变的胞体与神经突密度异常
J Neurol. 2025 Jan 15;272(2):145. doi: 10.1007/s00415-025-12887-7.
5
Chronic active lesions in multiple sclerosis: classification, terminology, and clinical significance.多发性硬化症中的慢性活动性病变:分类、术语及临床意义
Ther Adv Neurol Disord. 2024 Dec 19;17:17562864241306684. doi: 10.1177/17562864241306684. eCollection 2024.
6
A future of AI-driven personalized care for people with multiple sclerosis.人工智能驱动的多发性硬化症患者个性化护理的未来。
Front Immunol. 2024 Aug 19;15:1446748. doi: 10.3389/fimmu.2024.1446748. eCollection 2024.
7
New Imaging Markers in Multiple Sclerosis and Related Disorders: Smoldering Inflammation and the Central Vein Sign.多发性硬化及相关疾病中的新型成像标志物:隐匿性炎症与中央静脉征
Neuroimaging Clin N Am. 2024 Aug;34(3):359-373. doi: 10.1016/j.nic.2024.03.004. Epub 2024 Apr 23.
8
Paramagnetic rim lesions predict greater long-term relapse rates and clinical progression over 10 years.顺磁环病变预示着在 10 年内更大的长期复发率和临床进展。
Mult Scler. 2024 Apr;30(4-5):535-545. doi: 10.1177/13524585241229956. Epub 2024 Feb 17.
9
Imaging chronic active lesions in multiple sclerosis: a consensus statement.多发性硬化症慢性活动性病变的影像学:共识声明。
Brain. 2024 Sep 3;147(9):2913-2933. doi: 10.1093/brain/awae013.
10
Paramagnetic rim lesions and the central vein sign: Characterizing multiple sclerosis imaging markers.顺磁性边缘病变与中央静脉征:多发性硬化成像标志物的特征分析
J Neuroimaging. 2024 Jan-Feb;34(1):86-94. doi: 10.1111/jon.13173. Epub 2023 Nov 29.
利用超高场(7T)多参数磁共振成像对多发性硬化病变进行纵向研究。
PLoS One. 2018 Sep 13;13(9):e0202918. doi: 10.1371/journal.pone.0202918. eCollection 2018.
4
Significance and Detection of Iron-Laden Microglia in White Matter Multiple Sclerosis Lesions.铁负荷小胶质细胞在脑白质多发性硬化病变中的意义与检测
Front Immunol. 2018 Feb 19;9:255. doi: 10.3389/fimmu.2018.00255. eCollection 2018.
5
Susceptibility-sensitive MRI of multiple sclerosis lesions and the impact of normal-appearing white matter changes.多发性硬化病变的敏感性磁共振成像及正常表现白质改变的影响。
NMR Biomed. 2017 Aug;30(8). doi: 10.1002/nbm.3727. Epub 2017 May 4.
6
Heterogeneity of Cortical Lesion Susceptibility Mapping in Multiple Sclerosis.多发性硬化症中皮质病变易感性图谱的异质性
AJNR Am J Neuroradiol. 2017 Jun;38(6):1087-1095. doi: 10.3174/ajnr.A5150. Epub 2017 Apr 13.
7
Pathogenic implications of distinct patterns of iron and zinc in chronic MS lesions.慢性多发性硬化症病变中铁和锌的不同模式的致病意义。
Acta Neuropathol. 2017 Jul;134(1):45-64. doi: 10.1007/s00401-017-1696-8. Epub 2017 Mar 22.
8
Slow expansion of multiple sclerosis iron rim lesions: pathology and 7 T magnetic resonance imaging.多发性硬化症铁环病变的缓慢扩展:病理学与7T磁共振成像
Acta Neuropathol. 2017 Jan;133(1):25-42. doi: 10.1007/s00401-016-1636-z. Epub 2016 Oct 27.
9
MRI phase changes in multiple sclerosis vs neuromyelitis optica lesions at 7T.7T 下多发性硬化症与视神经脊髓炎病变的 MRI 相位变化。
Neurol Neuroimmunol Neuroinflamm. 2016 Jul 22;3(4):e259. doi: 10.1212/NXI.0000000000000259. eCollection 2016 Aug.
10
Magnetic Susceptibility from Quantitative Susceptibility Mapping Can Differentiate New Enhancing from Nonenhancing Multiple Sclerosis Lesions without Gadolinium Injection.基于定量磁化率成像的磁化率可在不注射钆的情况下区分新发强化与非强化多发性硬化病变。
AJNR Am J Neuroradiol. 2016 Oct;37(10):1794-1799. doi: 10.3174/ajnr.A4856. Epub 2016 Jun 30.