Suppr超能文献

新型钛涂层聚醚醚酮颈椎椎间融合器的随访

Follow-up of a new titaniumcoated polyetheretherketone cage for the cervical spine.

作者信息

Arregui Ricardo, Aso José, Martínez Quiñones José-Vicente, Sebastián Cristina, Consolini Fabián, Aso Vizan Alberto

机构信息

Department of Neurosurgery and Neurology, Hospital MAZ, Zaragoza.

Department of Radiology, Hospital MAZ, Zaragoza.

出版信息

Orthop Rev (Pavia). 2020 Apr 28;12(1):8359. doi: 10.4081/or.2020.8359. eCollection 2020 Apr 22.

Abstract

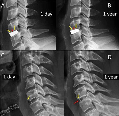
Poly-ether-ether-ketone (PEEK) cages have lower modulus of elasticity when compared with Titanium (TTN) cages. This suggests that PEEK-cages could show a lower rate of subsidence after anterior cervical discectomy-fusion (ACDF) and might lead to a lower loss of correction. We investigated the one to five year-results of standalone PEEK-TTN-porous coated cages in a patient cohort from 2014 to 2017. The patients underwent single-level ACDF for disc herniation and degenerative discopathy. Clinical and radiological outcome were assessed in 50 eligible patients after a mean of 27 months. Results: Solid arthrodesis was found in 84%. Neck disability index (NDI), and visual analogue scale (VAS) of neck and arm show comparable results to the literature. Conclusions: Clinical and radiological outcomes of ACDF with PEEK-body-cages with a porous coated surface show good bony integration. The modulus of elasticity, design, shape, size, cage surface architecture, as well as bone density, endplate preparation, radical microdiscectomy and distraction during surgery should be considered as important factors influencing the clinical results. One main advantage, over titanium cages, is the absence of MRI artifacts, allowing an excellent postoperative follow-up.

摘要

与钛(TTN)椎间融合器相比,聚醚醚酮(PEEK)椎间融合器的弹性模量更低。这表明,在颈椎前路椎间盘切除融合术(ACDF)后,PEEK椎间融合器可能显示出更低的下沉率,并可能导致更低的矫正丢失率。我们调查了2014年至2017年一组患者中独立使用的PEEK-TTN多孔涂层椎间融合器1至5年的结果。这些患者因椎间盘突出症和退行性椎间盘病接受了单节段ACDF。对50例符合条件的患者在平均27个月后进行了临床和影像学评估。结果:84%实现了坚固的椎间融合。颈部残疾指数(NDI)以及颈部和手臂的视觉模拟量表(VAS)结果与文献报道相当。结论:采用多孔涂层表面的PEEK椎间融合器进行ACDF的临床和影像学结果显示出良好的骨融合。弹性模量、设计、形状、尺寸、椎间融合器表面结构,以及骨密度、终板准备、彻底的显微椎间盘切除术和手术中的牵引应被视为影响临床结果的重要因素。与钛椎间融合器相比,一个主要优点是不存在MRI伪影,便于进行出色的术后随访。

https://cdn.ncbi.nlm.nih.gov/pmc/blobs/5368/7206362/05dce31cb365/or-12-1-8359-g001.jpg

文献检索

告别复杂PubMed语法,用中文像聊天一样搜索,搜遍4000万医学文献。AI智能推荐,让科研检索更轻松。

立即免费搜索

文件翻译

保留排版,准确专业,支持PDF/Word/PPT等文件格式,支持 12+语言互译。

免费翻译文档

深度研究

AI帮你快速写综述,25分钟生成高质量综述,智能提取关键信息,辅助科研写作。

立即免费体验